Cleve

Sister Mary Joseph Sign

Sister Mary Joseph Sign

In the vast landscape of medical diagnostics and physical examinations, certain clinical indicators serve as silent, albeit significant, witnesses to underlying pathologies. Among these, the Sister Mary Joseph sign remains a quintessential example of how a simple visual observation can lead to a profound diagnostic breakthrough. This clinical finding—the presence of a palpable nodule at the umbilicus—acts as an urgent red flag, often signaling the advanced stages of an intra-abdominal or pelvic malignancy. Understanding the history, clinical presentation, and diagnostic implications of this sign is essential for medical professionals and students alike, as it represents a critical bridge between physical inspection and complex oncological staging.

Historical Context and Origins

The history behind the Sister Mary Joseph sign is as fascinating as the medical mystery it solves. The sign is named after Sister Mary Joseph (born Julia Dempsey), a surgical assistant to Dr. William J. Mayo at the Mayo Clinic in the early 20th century. During her tenure, she observed that patients presenting with a hard, irregular mass at the umbilicus often had poor prognoses, frequently due to metastatic cancer of the digestive tract or reproductive organs.

Dr. Hamilton Bailey later immortalized the observation in his textbook, formally naming it the Sister Mary Joseph nodule in 1949. Her keen eye for detail and bedside diligence highlight the importance of physical examination—a skill that remains the bedrock of clinical medicine even in an era dominated by advanced imaging technology.

Key historical milestones include:

  • 1928: Dr. William Mayo describes the phenomenon based on Sister Mary Joseph’s clinical observations.
  • 1949: Hamilton Bailey coined the term "Sister Mary Joseph nodule" in his renowned book Demonstrations of Physical Signs in Clinical Surgery.
  • Modern Era: Continued recognition of the sign as a prognostic marker for metastatic disease.

Clinical Presentation and Pathophysiology

The Sister Mary Joseph sign typically manifests as a firm, indurated, or ulcerated nodule at the umbilical region. While it may sometimes be misidentified as a hernia or an umbilical granuloma, its clinical significance is far more ominous. Pathophysiologically, the nodule represents metastatic spread of an internal malignancy to the umbilicus. This spread can occur through various pathways, including:

  • Lymphatic spread: Through the lymphatic channels accompanying the urachus or the round ligament of the liver.
  • Hematogenous spread: Via the portal venous system or the systemic circulation.
  • Direct peritoneal extension: Through the falciform ligament or along the fibrous remains of the umbilical structures.
  • Iatrogenic seeding: Occasionally, through laparoscopic or surgical site ports, though this is less common for the classic sign.

⚠️ Note: Because the umbilicus is a site where several embryonic structures meet, it acts as a "crossroads" for lymphatic and venous drainage, making it a common repository for metastatic cells from various abdominal viscera.

Common Primary Sites of Metastasis

When a physician encounters a Sister Mary Joseph sign, the next logical step is to locate the primary source of the cancer. Statistical data indicates that cancers of the gastrointestinal tract and the gynecological system are the most common culprits. Identifying the primary tumor is vital, as it dictates the treatment plan and palliative care strategy.

Primary Site Estimated Frequency
Stomach 25% - 30%
Ovaries 15% - 20%
Colon and Rectum 10% - 15%
Pancreas 5% - 10%
Unknown Primary 15% - 25%

These figures emphasize that while the sign is often associated with gastric or ovarian cancers, a systematic search throughout the entire abdominal and pelvic cavity is necessary to confirm the source.

Diagnostic Approach and Evaluation

The diagnosis of a Sister Mary Joseph sign begins with a thorough physical examination. However, the discovery of the nodule is only the beginning. Clinicians must utilize a multi-modal approach to confirm the malignancy and determine the stage of the disease. A biopsy of the umbilical nodule is often the gold standard for histological confirmation.

Recommended diagnostic steps include:

  • Physical Examination: Comprehensive palpation of the abdomen, including a rectal and pelvic exam.
  • Histopathology: Fine-needle aspiration or excisional biopsy of the umbilical mass to characterize the cell type (e.g., adenocarcinoma).
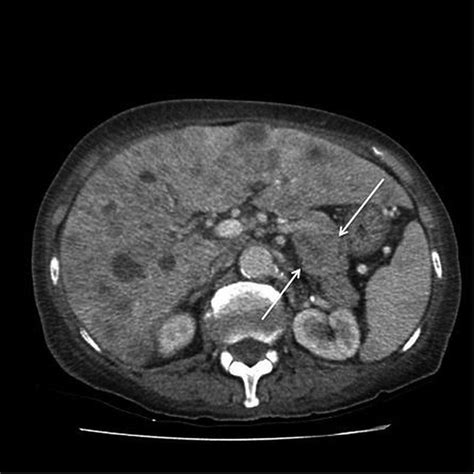
  • Imaging Studies: CT scans of the chest, abdomen, and pelvis are standard to screen for the primary lesion and evidence of distant metastasis.
  • Laboratory Tests: Tumor markers such as CEA, CA-125, or CA 19-9, depending on the suspected primary site.
  • Endoscopy: Colonoscopy or upper endoscopy (EGD) may be performed if the imaging suggests a gastrointestinal primary.

💡 Note: Always differentiate the umbilical nodule from benign conditions like umbilical hernias, keloids, or endometriosis (also known as Villar's nodule) during the early stages of assessment.

Therapeutic Implications and Prognosis

Unfortunately, the presence of a Sister Mary Joseph sign is generally considered a marker of late-stage, incurable disease. It suggests systemic dissemination of the cancer. Consequently, the primary goal of treatment often shifts from curative surgery to palliative management. The focus is placed on improving the patient's quality of life, managing symptoms such as pain or bowel obstruction, and navigating the emotional aspects of a terminal diagnosis.

In very rare instances, if the primary tumor is localized and the umbilical metastasis is solitary, aggressive surgical intervention combined with chemotherapy may be considered. However, this is highly individualized and depends heavily on the patient's overall performance status and the specific biology of the tumor.

The Value of Physical Signs in Modern Medicine

Despite the proliferation of high-resolution MRI and PET-CT scans, physical signs like the Sister Mary Joseph sign retain immense value. They serve as a reminder that clinical medicine is a bedside discipline. A physician who takes the time to perform a careful physical examination can often generate a diagnosis that guides the use of expensive diagnostic tools, ensuring they are used efficiently and appropriately.

This sign serves as a sobering reminder of the interconnectedness of our internal systems and the importance of clinical observation. It empowers the medical community to recognize life-altering conditions early, fostering a deeper understanding of oncology and patient advocacy. By maintaining a sharp focus on classic physical signs, healthcare providers continue the legacy of those like Sister Mary Joseph, whose vigilance paved the way for modern diagnostic success.

Ultimately, the recognition of the Sister Mary Joseph sign remains a testament to the enduring power of clinical observation. Whether in a rural clinic or a major metropolitan hospital, the ability to correlate a visible, palpable mass at the umbilicus with internal malignancy is a skill that saves time and focuses clinical efforts. While the prognosis associated with this sign is often difficult to accept, identifying it early allows for more compassionate end-of-life care and ensures that patients and their families are provided with the necessary support to navigate their journey. By continuing to teach these classic signs, the medical community honors the history of the profession while simultaneously sharpening the diagnostic tools of future generations, proving that even in the face of technology, the human touch and an observant eye are irreplaceable.

Related Terms:

  • sister mary joseph nodule treatment
  • sister mary joseph nodule photos
  • sister mary joseph nodule causes
  • sister mary joseph tumor
  • sister mary joseph nodule prognosis
  • sister mary joseph nodule symptoms