Uci

Skull Base Tumor

Skull Base Tumor

A Skull Base Tumor represents a complex medical challenge that requires specialized expertise and a multidisciplinary approach to treatment. These growths, which can be either benign or malignant, develop in the area of the skull that supports the brain, separating the brain from the sinuses, nasal passages, and ears. Because this region is home to critical nerves, blood vessels, and structures that control essential functions like vision, speech, and movement, diagnosing and treating these conditions is highly intricate. Understanding the nature, symptoms, and modern treatment options available for these tumors is the first step toward effective management and improved patient outcomes.

What is a Skull Base Tumor?

Anatomy of the skull base

The skull base is a dense, bony platform that houses the brain. A Skull Base Tumor occurs when abnormal cells begin to divide uncontrollably in this anatomical region. These tumors are categorized based on their location, which is generally divided into three sections: the anterior (front), middle, and posterior (back) skull base. Depending on their origin, these growths can impact the eyes, nose, throat, or inner ear.

It is important to understand that not all tumors in this area are cancerous. Many are benign—meaning they do not spread to other parts of the body—but they can still be dangerous if they grow large enough to compress vital brain structures or nerves. Conversely, malignant (cancerous) tumors require aggressive intervention as they can invade surrounding tissues rapidly.

Common Symptoms and Warning Signs

Symptoms of a Skull Base Tumor often depend on the specific location of the growth and the structures it is pushing against. Because the skull base is crowded with nerves, symptoms can manifest in diverse ways. Early detection is often difficult because these symptoms are frequently mistaken for sinus issues or common headaches.

  • Persistent headaches that do not respond to over-the-counter medication.
  • Vision changes, such as double vision, blurred vision, or unexplained vision loss.
  • Chronic nasal congestion or frequent nosebleeds.
  • Hearing loss, ringing in the ears (tinnitus), or persistent ear infections.
  • Numbness or tingling in the face.
  • Difficulty swallowing or changes in voice quality.
  • Unexplained facial swelling or asymmetry.

⚠️ Note: If you experience a sudden onset of vision loss, severe facial numbness, or difficulty breathing, seek emergency medical care immediately as these may indicate urgent pressure on critical nerve centers.

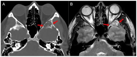
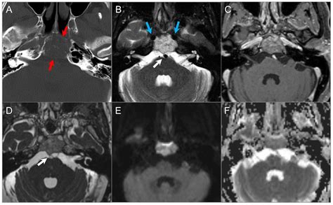
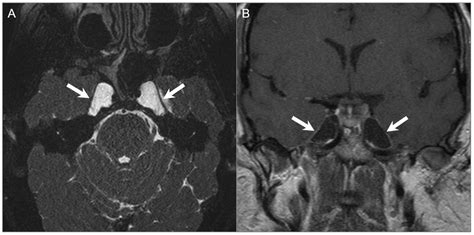
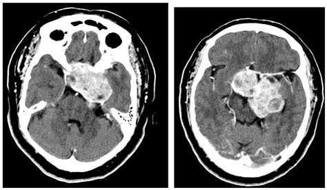
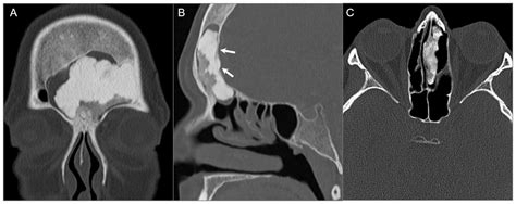
Diagnostic Procedures

To confirm the presence of a tumor, specialists typically employ a variety of advanced imaging techniques. A standard physical examination is often followed by specialized diagnostic tests to map the extent of the tumor:

Diagnostic Tool Purpose
MRI (Magnetic Resonance Imaging) Provides high-resolution images of soft tissues, nerves, and the brain.
CT Scan (Computed Tomography) Highly effective at highlighting bony structures and identifying tumor-related bone erosion.
PET Scan Helps identify metabolic activity within the tumor to determine if it is cancerous.
Biopsy A small tissue sample is extracted to analyze cell pathology.

Treatment Modalities for Skull Base Tumors

Once a Skull Base Tumor has been diagnosed, a team of surgeons, oncologists, and radiologists works together to create a personalized treatment plan. The goal is to remove the tumor while preserving as much neurological function as possible.

Minimally Invasive Surgery

Advancements in medical technology have made endoscopic endonasal surgery a preferred method for many patients. Using cameras and specialized instruments passed through the nostrils, surgeons can reach the tumor without having to make external incisions on the face or scalp. This results in shorter recovery times and less trauma to the patient.

Traditional Open Surgery

For larger or more complex tumors, open surgery may be necessary. This involves making an incision in the skull to gain direct access to the site of the tumor. While more invasive, it provides surgeons with the visibility required to safely remove large or aggressively growing masses.

Radiation Therapy and Chemotherapy

Radiation, such as Gamma Knife or proton beam therapy, is often used either as a primary treatment for tumors that cannot be surgically reached or as an adjuvant treatment after surgery to kill any remaining cancer cells. Chemotherapy is typically reserved for malignant cases to stop the spread of cancerous cells.

Recovery and Post-Treatment Care

Recovery depends heavily on the size and location of the Skull Base Tumor, as well as the chosen treatment method. Following surgery, patients often require a period of rehabilitation. This might include speech therapy if nerves controlling the throat were affected, or physical therapy to improve balance and coordination.

Regular follow-up appointments are essential. Imaging studies will be performed at set intervals to ensure that no regrowth has occurred and that the patient remains in recovery. Maintaining a strong support system and following post-operative instructions—such as avoiding heavy lifting or specific head movements—are critical during the healing phase.

💡 Note: Always inform your surgical team of any new or worsening symptoms during the recovery period, even if they seem minor, as post-operative inflammation can sometimes mimic initial tumor symptoms.

Final Thoughts

Managing a skull base condition is a significant journey that highlights the importance of early detection and specialized care. While the diagnosis of a skull base growth can be overwhelming, modern medical advancements have dramatically improved the prognosis for many patients. Through the combination of precise imaging, innovative surgical techniques like endonasal endoscopy, and comprehensive post-treatment support, clinicians can effectively address these complex tumors. Patients who remain vigilant about their symptoms and partner with a skilled multidisciplinary team are best positioned to navigate their treatment path and regain their quality of life. Consistent communication with healthcare providers and adherence to long-term follow-up protocols serve as the most effective strategy for maintaining health and wellness moving forward.

Related Terms:

  • skull base tumor life expectancy
  • skull base tumor removal
  • are skull base tumors dangerous
  • skull base tumor surgery
  • nodules at base of skull
  • skull base tumor pictures