Rp

Space Of Retzius

Space Of Retzius

The Space of Retzius, anatomically known as the retropubic space, plays a pivotal role in pelvic surgery and urology. Located between the pubic symphysis anteriorly and the bladder posteriorly, this extraperitoneal anatomical landmark is a frequent focus for surgeons performing procedures such as prostatectomies, bladder surgeries, and stress urinary incontinence repairs. Understanding its boundaries, content, and clinical significance is essential for medical professionals and those seeking to understand the complexities of pelvic anatomy.

Anatomy and Boundaries of the Space of Retzius

To grasp the clinical relevance of the Space of Retzius, one must first understand its precise location. It is a potential space, meaning that under normal conditions, the anatomical structures lie in close apposition to one another. However, during surgical dissection, this space can be easily opened to reveal the underlying structures.

The boundaries of the retropubic space are defined as follows:

  • Anteriorly: The posterior surface of the pubic symphysis and the pubic bones.
  • Posteriorly: The anterior wall of the urinary bladder and the bladder neck.
  • Laterally: The obturator internus muscles and the pelvic fascia.
  • Superiorly: The transversalis fascia, which separates the space from the peritoneal cavity.
  • Inferiorly: The puboprostatic ligaments (in males) or pubovesical ligaments (in females), which anchor the bladder to the pelvic floor.

This space is filled primarily with loose connective tissue, fat, and the venous plexus of Santorini. This fatty tissue allows for the mobility of the bladder as it fills and empties, highlighting the importance of the Space of Retzius in normal physiological function.

Clinical Significance in Pelvic Surgery

The Space of Retzius is the primary access point for many critical pelvic surgeries. When a surgeon approaches the prostate or the base of the bladder, they must enter this space to mobilize the organs and gain necessary exposure.

Prostatectomy

During a retropubic radical prostatectomy, surgeons enter the Space of Retzius to detach the puboprostatic ligaments. This allows for the mobilization of the prostate gland. Careful dissection within this space is crucial to avoid damaging the dorsal venous complex and the neurovascular bundles that are responsible for erectile function and urinary continence.

Incontinence Procedures

In treatments for stress urinary incontinence, such as the Burch colposuspension or certain sling procedures, the Space of Retzius is utilized to access the bladder neck and the vaginal wall. By securing the vaginal wall to the Cooper’s ligament, surgeons can restore anatomical support to the urethra.

Surgical Procedure Utility of the Space of Retzius Clinical Objective
Radical Prostatectomy Primary access route Removal of prostate tissue
Burch Colposuspension Anatomical landmark Urinary continence restoration
Cystectomy Mobilization point Bladder removal/reconstruction

⚠️ Note: Excessive or overly aggressive dissection in the retropubic space can lead to unwanted complications, including excessive bleeding from the venous plexus or damage to the nerves that control pelvic floor function.

Potential Complications and Considerations

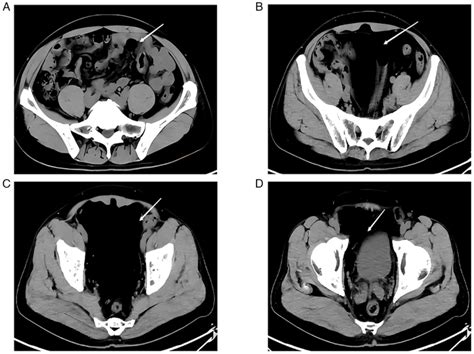
While the Space of Retzius is a standard surgical route, it is not without risks. The presence of the prostatic venous plexus (Santorini's plexus) means that hemorrhage is a significant concern during dissection. Surgeons must be adept at controlling these vessels to maintain a clear visual field and prevent hematoma formation.

Furthermore, post-surgical complications within the retropubic space may include:

  • Retropubic Abscess: Infection occurring within the space, often requiring drainage.
  • Hematoma: An accumulation of blood that can press against the bladder or urethra, causing discomfort or voiding difficulties.
  • Osteitis Pubis: Inflammation of the pubic symphysis, which can occasionally occur following procedures that involve significant disruption of the surrounding periosteum and tissues.

Surgical Approaches: Open vs. Minimally Invasive

Historically, the Space of Retzius was accessed via large, open abdominal incisions. However, the advent of minimally invasive surgery has shifted how this space is entered. In laparoscopic or robotic-assisted surgeries, small ports are used to reach the retropubic area. The robotic platform, in particular, has revolutionized access to this region, allowing for 3D visualization and enhanced precision, which is particularly beneficial given the confined nature of the space.

Regardless of the approach, the fundamental anatomical principles remain the same. The surgeon must always respect the planes of the transversalis fascia and carefully separate the bladder from the pubic bones without compromising the structural integrity of the pelvic floor.

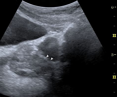
💡 Note: Modern imaging techniques, such as MRI, are frequently used pre-operatively to map the anatomy of the Space of Retzius, ensuring that the surgeon is well-prepared for any anatomical variations present in the patient.

Advancements in Pelvic Anatomy Understanding

Research into the Space of Retzius continues to evolve. Recent studies have looked into the nerve-sparing techniques that can be performed within this region. By mapping the exact location of the nerves that track along the pelvic sidewall near the retropubic space, surgeons have been able to improve the quality of life outcomes for patients undergoing prostate cancer treatment.

The integration of nerve-sparing protocols with traditional retropubic access has redefined the standard of care. Surgeons are now placing a higher premium on "functional surgery," where the primary goal is not just the removal of pathology, but the preservation of long-term pelvic floor and sexual health.

Ultimately, the retropubic space serves as a vital corridor that links the external pelvic frame to the internal urogenital organs. As medical technology progresses, the techniques used to navigate this space will likely become even more refined. Whether through advancements in robotic systems or a deeper understanding of the fascia layers, the clinical focus remains on efficiency, patient safety, and optimal post-operative recovery. By maintaining a rigorous standard of anatomical knowledge and surgical precision, healthcare providers can ensure that procedures involving the Space of Retzius continue to provide successful outcomes for patients facing complex urological challenges.

Related Terms:

  • space of retzius radiopaedia
  • space of retzius radiology
  • space of retzius hemorrhage
  • space of retzius hematoma
  • space of retzius female
  • space of retzius on ultrasound