Cleve

Spinal Cord Stimulator Surgery

Spinal Cord Stimulator Surgery

Living with chronic pain can be an exhausting, life-altering experience that impacts everything from your ability to work to your quality of sleep. When conservative treatments like physical therapy, medication, and injections fail to provide adequate relief, many patients turn to advanced medical interventions. One of the most effective options for managing persistent nerve pain is Spinal Cord Stimulator Surgery. By interrupting pain signals before they reach the brain, this technology offers a lifeline for those who have exhausted traditional pain management avenues.

Understanding Spinal Cord Stimulator Surgery

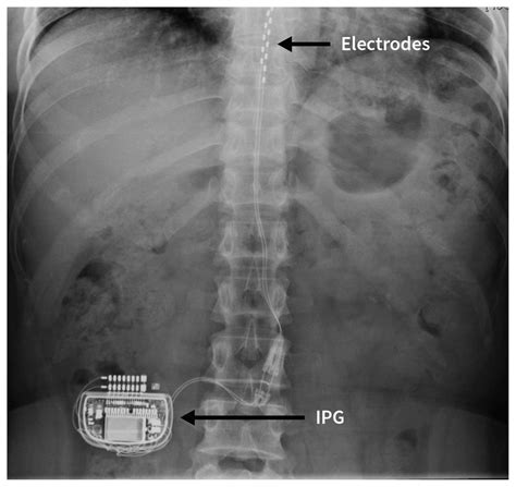
A spinal cord stimulator (SCS) is a device implanted under the skin that sends a mild electric current to your spinal cord. The surgery is essentially a two-part process designed to see how your body responds to the electrical pulses. This procedure is generally recommended for patients suffering from conditions such as failed back surgery syndrome, complex regional pain syndrome (CRPS), or peripheral neuropathy.

The primary goal of the procedure is not necessarily to fix the underlying physical damage, but to mask the pain signal. By stimulating the nerves in the spinal cord, the device sends a tingling sensation—known as paresthesia—which replaces the sensation of chronic pain, allowing patients to regain mobility and improve their daily functional capacity.

The Two-Step Surgical Process

The journey to receiving a spinal cord stimulator involves two distinct phases. This helps ensure that the device will be effective for your specific type of pain before committing to a permanent implant.

  • The Trial Phase: During this stage, thin wires (leads) are placed in the epidural space near the spinal cord. They are connected to an external generator that you carry outside your body. You will test this system for about 5 to 7 days to evaluate the level of pain relief.
  • The Permanent Implantation: If the trial is successful—meaning you experience at least 50% reduction in pain—a follow-up surgery is scheduled to implant the internal pulse generator (IPG) under the skin, usually in the buttock or abdominal area.

⚠️ Note: Keep the surgical site dry and avoid heavy lifting or bending during the initial recovery phase to ensure the leads do not shift from their optimal position.

Key Benefits and Success Factors

Patients who undergo Spinal Cord Stimulator Surgery often report a significant decrease in their reliance on opioid pain medications, which is a major long-term health advantage. Because the device is customizable, your healthcare team can adjust the frequency and intensity of the electrical stimulation to suit your changing needs over time.

Factor Benefit
Pain Management Effective for neuropathic pain and chronic spinal issues.
Medication Potential to reduce dependence on systemic pain relievers.
Customization Settings are adjustable via an external remote or app.
Reversibility The system can be turned off or surgically removed if necessary.

Preparing for the Procedure

Before your surgery, you will meet with your neurosurgeon or pain specialist for a comprehensive evaluation. This includes psychological testing, as mental health plays a significant role in how patients manage chronic pain and adapt to implanted devices. You will also be asked to review your current medications; specifically, you may need to pause blood-thinning medications several days before the procedure to minimize the risk of bleeding.

On the day of the procedure, you will be sedated, and the surgeon will use fluoroscopy (a real-time X-ray) to guide the leads into the precise location along the spinal column. Most patients are able to go home the same day or the following morning, depending on the complexity of the implantation.

Managing Recovery and Life with a Stimulator

Recovery involves patience and careful movement. In the first few weeks, it is crucial to avoid twisting or reaching movements that could disrupt the leads. As you heal, you will begin working with your medical team to "program" your device. This involves fine-tuning the electrical patterns to ensure you are getting the best coverage for your specific pain areas.

Life with a spinal cord stimulator requires regular check-ins. You will need to charge the battery of your device (if it is rechargeable) and occasionally return to your clinic for minor adjustments. Over time, many patients find that they can resume activities they once thought were impossible, such as gardening, walking for exercise, or simply playing with their children without the constant distraction of intense discomfort.

💡 Note: Always inform security personnel at airports or other venues that you have an implanted medical device, as the stimulator may trigger metal detectors.

Risks and Considerations

While Spinal Cord Stimulator Surgery is generally considered safe, it is still a surgical intervention. Potential risks include infection at the incision site, lead migration (where the wire moves out of place), hardware malfunction, or, in rare cases, dural punctures. It is important to have an open discussion with your surgeon about your specific health history to understand how these risks apply to your situation.

Additionally, expectations must be managed. The stimulator is a tool to manage pain, but it rarely eliminates 100% of the sensation. Success is typically measured by your ability to improve your functional lifestyle and reduce your pain levels to a point where they no longer dominate your day.

Choosing to move forward with this type of surgery is a significant decision that requires careful thought and research. By weighing the benefits of pain reduction against the requirements of long-term device maintenance, you can determine if this path is the right fit for your recovery journey. Many individuals find that the investment in the procedure pays off through a vastly improved quality of life, offering a sense of control over their physical well-being that they haven’t felt in years. If you believe this treatment may be appropriate, consult with a qualified pain management specialist who can perform a thorough diagnostic assessment and guide you through the process from the trial phase to long-term success.

Related Terms:

  • spinal cord stimulator after implantation
  • permanent spinal cord stimulator surgery
  • spinal cord stimulator recovery time
  • spinal cord stimulator placement procedure
  • spinal cord stimulator insertion procedure
  • permanent spinal cord stimulator implant