Understanding Spindle Cell Carcinoma is essential for patients, caregivers, and medical professionals navigating the complexities of rare oncology. As a rare and aggressive variant of squamous cell carcinoma, this condition requires a specialized approach to diagnosis and treatment. Unlike more common forms of skin or mucosal cancers, the cells in this malignancy have transformed into a spindle-like shape, often mimicking other types of tumors, which can make identification particularly challenging during the initial pathology review.
What is Spindle Cell Carcinoma?
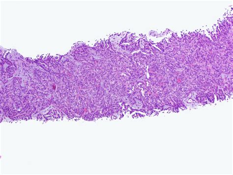
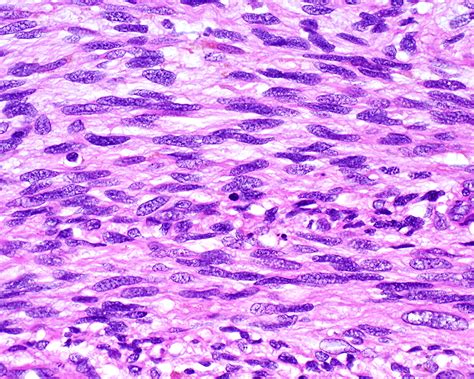
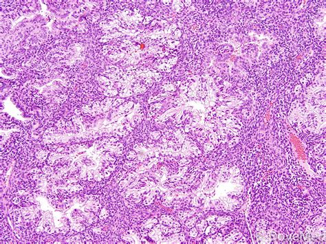
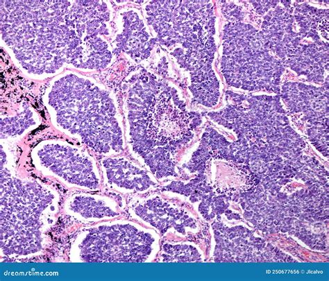
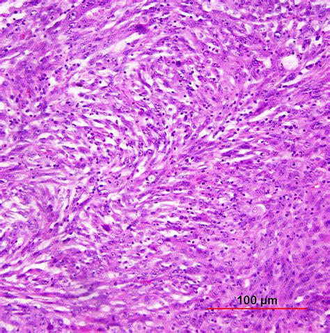
Spindle Cell Carcinoma is a rare histological subtype of squamous cell carcinoma (SCC). The term "spindle cell" refers to the morphological transformation of cancer cells that have lost their typical epithelial features and gained a mesenchymal (spindle-shaped) appearance. This process, often referred to as epithelial-mesenchymal transition (EMT), contributes to the tumor's aggressive biological behavior and its tendency for local invasion and rapid growth.
These tumors can arise in various anatomical locations, including the head and neck, the skin, the esophagus, and the respiratory tract. Because the cells appear non-epithelial under a microscope, pathologists often rely on specialized immunohistochemistry stains to confirm the diagnosis and distinguish it from other conditions like sarcomas or melanomas.

Key Characteristics and Clinical Presentation
The clinical presentation of Spindle Cell Carcinoma often depends on where the tumor develops. In many cases, it presents as a fast-growing, ulcerated mass or a nodule that may bleed easily. Because of its rapid growth rate, patients often seek medical attention when the lesion reaches a significant size.
- Rapid growth: These tumors tend to expand quickly compared to traditional squamous cell carcinomas.
- Ulceration: The surface of the tumor frequently breaks down, leading to sores that do not heal.
- Location variability: While skin is a common site, it is also frequently found in the oral cavity, larynx, and esophagus.
- High recurrence risk: Due to their invasive nature, these tumors have a higher propensity for recurring after surgical excision.
Diagnostic Processes
Accurate diagnosis is the cornerstone of effective management. Because Spindle Cell Carcinoma can be easily misidentified, the diagnostic process usually involves a multi-step approach.
| Diagnostic Step | Purpose |
|---|---|
| Clinical Examination | Visual inspection and assessment of the mass location and size. |
| Biopsy | Retrieval of tissue samples for laboratory analysis. |
| Immunohistochemistry | Using chemical markers to confirm the epithelial origin of the spindle cells. |
| Imaging (MRI/CT/PET) | Assessing the depth of invasion and checking for potential metastasis. |
⚠️ Note: Always seek a second opinion from a specialized pathologist if there is any ambiguity in the histological report, as misdiagnosis can lead to inappropriate treatment protocols.
Treatment Modalities
The primary treatment strategy for Spindle Cell Carcinoma is typically surgical excision with wide margins to ensure that no malignant cells remain at the site. Given the aggressive nature of this cancer, surgeons often aim for significant healthy tissue clearance to minimize the risk of recurrence.
Depending on the stage and location of the tumor, other therapies may be integrated into the treatment plan:
- Radiation Therapy: Often utilized as an adjuvant (post-surgery) treatment to kill any remaining cancer cells in the surrounding tissue.
- Chemotherapy: May be considered for patients with advanced or metastatic disease to systemic control the cancer.
- Targeted Therapy: Emerging research is exploring specific molecular pathways that drive these tumors, offering hope for more personalized treatment options.
💡 Note: The choice of treatment must be individualized based on the patient's overall health, the specific tumor location, and the stage of the disease at the time of diagnosis.
Risk Factors and Prevention
While the exact cause of Spindle Cell Carcinoma is not always clear, research has identified several factors that significantly increase the likelihood of development. Chronic exposure to UV radiation is the leading cause for cutaneous (skin) cases, while environmental irritants and smoking are strongly linked to mucosal variants.
To reduce risk, medical professionals generally recommend:
- Sun Protection: Using high-SPF sunscreen, protective clothing, and avoiding peak sun exposure hours.
- Avoiding Carcinogens: Reducing exposure to tobacco smoke and chemical irritants that can damage mucosal tissues.
- Early Screening: Regular skin checks for those with a history of sun damage or prior skin cancers.
Living with the Diagnosis
A diagnosis of Spindle Cell Carcinoma can be overwhelming, but understanding the disease empowers patients to take an active role in their care. Support systems, including oncology nurses, counselors, and support groups for rare cancers, can provide much-needed emotional and logistical assistance during the treatment process. Maintaining a strong line of communication with the multidisciplinary care team—including surgeons, oncologists, and radiologists—is vital for tracking progress and managing side effects effectively.
Managing this condition effectively requires vigilance and a commitment to follow-up care. Because of the aggressive potential of Spindle Cell Carcinoma, patients are typically placed on a strict surveillance schedule. This usually involves regular physical examinations and imaging studies to detect any signs of recurrence or spread as early as possible. Early detection remains the most powerful tool in improving outcomes. By staying informed about the latest developments in medical oncology and maintaining a proactive approach to symptoms, patients can navigate the challenges associated with this diagnosis more effectively. The focus should always be on quality of life, comprehensive care coordination, and the integration of both clinical and supportive therapies to address the holistic needs of the individual affected by this rare malignancy.
Related Terms:
- what is spindle cell neoplasm
- what is spindle cell sarcoma
- metastatic spindle cell carcinoma
- low grade spindle cell neoplasm
- spindle cell carcinoma survival rate
- treatment for spindle cell carcinoma