Uci

Spiral Organ

Spiral Organ

Deep within the labyrinthine structures of the human ear lies one of the most sophisticated biological instruments in existence: the Spiral Organ, often referred to by anatomists as the Organ of Corti. This delicate yet complex assembly of cells serves as the primary transducer of the auditory system, acting as the critical interface where mechanical vibrations from the outside world are converted into the electrical impulses that our brains interpret as sound. Understanding how this intricate spiral functions is essential for grasping the miracle of human hearing and appreciating the physiological elegance of our sensory systems.

The Anatomy of the Spiral Organ

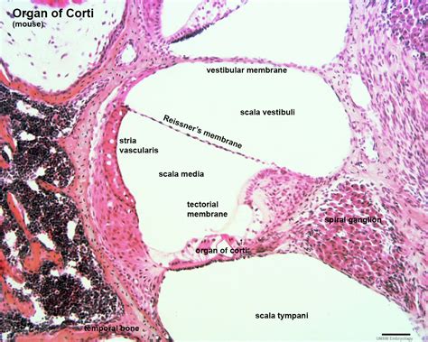
The anatomy of the human ear focusing on the inner ear structures

The Spiral Organ is situated on the basilar membrane within the cochlea, the snail-shaped portion of the inner ear. It is not merely a single structure but a collective of highly specialized cells arranged in a precise, repeating pattern. The architectural brilliance of this organ allows it to act as a frequency analyzer, effectively breaking down complex sound waves into their component frequencies before sending them to the auditory nerve.

The primary cellular components include:

  • Inner Hair Cells (IHCs): These act as the primary sensory receptors, translating fluid vibrations into neurotransmitter release.
  • Outer Hair Cells (OHCs): These provide mechanical amplification, sharpening the sensitivity and frequency selectivity of the ear.
  • Supporting Cells: Structural cells like Deiters’ cells and pillar cells that provide mechanical stability to the hair cells.
  • Tectorial Membrane: An overlying gelatinous structure that interacts with the stereocilia of the hair cells.

The Mechanics of Auditory Transduction

The transformation of sound begins when acoustic waves enter the ear canal and cause the eardrum to vibrate. These vibrations are transmitted through the tiny bones of the middle ear and finally reach the fluid-filled cochlea. As the fluid moves, it creates a traveling wave along the basilar membrane, which causes the Spiral Organ to shift.

When the hair cells within the Spiral Organ are deflected by the movement of the tectorial membrane, the tiny hair-like projections known as stereocilia bend. This mechanical bending opens ion channels, triggering a depolarization event. This cascade of chemical activity results in the firing of the auditory nerve, which carries the information directly to the brain.

Comparing Sensory Transduction Methods

To understand the unique nature of the Spiral Organ, it helps to compare it to other sensory processes in the body. While most senses respond to chemical or light stimuli, the auditory system relies entirely on mechanical displacement.

Sense Primary Structure Stimulus Type
Hearing Spiral Organ Mechanical/Vibration
Vision Retina Electromagnetic/Light
Smell Olfactory Epithelium Chemical/Molecular
Touch Dermis Receptors Mechanical/Pressure

Why Hair Cell Health Matters

💡 Note: The hair cells within the Spiral Organ do not regenerate in humans. Once they are destroyed by excessive noise exposure or certain ototoxic drugs, the resulting hearing loss is typically permanent.

Because the hair cells are so sensitive, the Spiral Organ is highly susceptible to damage. Long-term exposure to high-decibel sounds causes the stereocilia to lose their stiffness or collapse entirely. When these cells die, the auditory pathway is interrupted, leading to sensorineural hearing loss. Protecting this organ is paramount, as it is the gateway to our perception of speech, music, and environmental cues.

Advanced Clinical Insights into Cochlear Function

Medical science has made massive strides in supporting individuals with damaged hair cells. For those whose Spiral Organ is no longer functioning correctly, technology has provided an alternative: the cochlear implant. By bypassing the damaged cells and directly stimulating the auditory nerve with electrical current, these devices recreate the sensation of hearing that the natural organ is no longer able to provide.

Current research is also focusing on:

  • Gene Therapy: Attempting to stimulate the regeneration of hair cells in the cochlea.
  • Stem Cell Research: Investigating how to replace lost sensory cells with viable, functional units.
  • Pharmacological Protection: Using antioxidants or other drugs to prevent hair cell death during exposure to loud noise.

Optimizing Auditory Longevity

Maintaining the integrity of the Spiral Organ involves consistent protective habits. Many people take their hearing for granted until significant loss occurs. However, because the inner ear is so delicate, proactive care is the best strategy. Simple interventions like using ear protection in loud environments, limiting the volume on personal audio devices, and undergoing regular audiological screenings can help ensure that the mechanical structures of the cochlea remain as functional as possible for as long as possible.

When we look at the complexity of the auditory system, it becomes clear that our ability to hear is a masterclass in biological engineering. The Spiral Organ acts as the conductor of this biological orchestra, ensuring that every frequency, from the low rumble of a bass drum to the high-pitched chirp of a bird, is captured and translated with high fidelity. Understanding the function and fragility of this structure reminds us of how vital it is to preserve our sensory health.

In summary, the Spiral Organ stands as a testament to the intricate precision of human biology. From the mechanical deflection of stereocilia to the rapid firing of neural impulses, every step in the process is perfectly calibrated to convert physical energy into the rich tapestry of sound we experience daily. By respecting the limits of this delicate organ and acknowledging its role in our sensory experience, we can better appreciate the complex machinery that allows us to interact with the world through the power of sound. Future medical advancements continue to bridge the gap between permanent hearing loss and auditory restoration, ensuring that the study of this remarkable cochlear structure remains at the forefront of neurological and otolaryngological research.

Related Terms:

  • spiral organ ear anatomy
  • spiral organ in ear
  • where is spiral organ located
  • organ of corti function
  • organ of corti vs cochlea
  • spiral organ anatomy