Rp

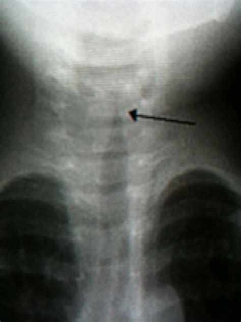
Steeple Sign Croup

Steeple Sign Croup

When a child suddenly develops a harsh, barking cough in the middle of the night, it can be an incredibly alarming experience for parents. This specific sound is often the hallmark of croup, a common viral illness affecting the upper airway in children. Central to the clinical diagnosis of this condition is a specific radiographic finding known as the Steeple Sign Croup. Understanding what this sign represents, how it is identified, and when it warrants medical attention is crucial for navigating this frightening health issue effectively.

Understanding Croup and the Upper Airway

Croup, medically referred to as laryngotracheobronchitis, is an inflammation of the upper airway, specifically the larynx (voice box) and trachea (windpipe). This inflammation typically occurs following a viral infection, such as parainfluenza. Because a child’s airway is naturally narrow, even slight swelling can significantly restrict airflow, leading to the characteristic symptoms that parents recognize quickly.

The hallmark symptoms of croup include:

  • A harsh, barking cough that often sounds like a seal.
  • Stridor, which is a high-pitched, whistling sound heard when the child breathes in.
  • Hoarseness when the child cries or speaks.
  • Fever, although this varies depending on the viral cause.

Symptoms often worsen at night or when the child becomes agitated or cries, which further restricts the already inflamed airway.

What is the Steeple Sign Croup?

The Steeple Sign Croup is a specific finding observed on a frontal chest or neck X-ray. When a child with suspected croup undergoes imaging to rule out other, more serious causes of airway obstruction, radiologists look at the column of air within the trachea.

Normally, the trachea appears relatively straight on an X-ray. However, in cases of significant subglottic inflammation (swelling just below the vocal cords), the air column becomes narrowed. On the X-ray, this narrowing creates a shape that resembles the sharp, pointed roof of a church steeple, hence the name Steeple Sign.

It is important to note that this sign is radiographic—it is seen on imaging, not by looking at the child. Furthermore, not every child with croup will demonstrate the steeple sign on an X-ray, and not every child with croup requires an X-ray to be diagnosed.

Clinical Diagnosis vs. Imaging

In the vast majority of cases, croup is a clinical diagnosis. This means that a doctor can diagnose the condition based solely on the child’s symptoms, medical history, and physical examination without needing any imaging tests. The classic presentation—the barking cough and stridor—is usually sufficient for a healthcare provider to initiate treatment.

Imaging, such as an X-ray to look for the Steeple Sign Croup, is generally reserved for situations where the diagnosis is unclear or the child's symptoms are atypical or severe.

Feature Typical Croup Atypical or Severe Case
Diagnosis Clinical (physical exam) Clinical + Imaging
X-ray Utility Usually unnecessary Used to check for Steeple Sign or other issues
Primary Indicator Barking cough/Stridor Stridor at rest, severe distress

When Should Imaging Be Considered?

A physician might order an X-ray to search for the Steeple Sign Croup in specific scenarios where they need to rule out other potential causes of airway distress, which can mimic the symptoms of croup. These conditions may include:

  • Foreign body aspiration: If the child may have swallowed or inhaled a small object.
  • Epiglottitis: A rare but medical emergency involving severe swelling of the epiglottis.
  • Bacterial tracheitis: A severe bacterial infection that can look similar to viral croup but requires different, more intensive treatment.
  • Retropharyngeal abscess: An infection in the deep tissues of the neck.

💡 Note: Imaging should never delay necessary life-saving interventions. If a child is in severe respiratory distress, medical providers prioritize stabilizing the airway over taking X-rays.

Management and Treatment of Croup

Because most cases of croup are mild, they can often be managed at home with supportive care. The primary goal is to keep the child calm and comfortable, as agitation exacerbates airway swelling.

Common home management strategies include:

  • Staying calm: The calmer the child, the easier it is for them to breathe.
  • Cool air: Sometimes, taking the child into a cool, moist night air or sitting them in a steamy bathroom can help temporarily soothe the airway.
  • Hydration: Ensuring the child stays hydrated is important if they have a fever.

If the child requires medical intervention, doctors may prescribe corticosteroids (such as dexamethasone). These medications are highly effective at reducing the inflammation in the airway, often resolving symptoms significantly within a few hours.

💡 Note: Always consult a healthcare provider for any diagnosis of croup. Do not attempt to manage symptoms at home if the child is struggling to breathe, has blue lips or fingernails, or appears unusually lethargic.

Recognizing Emergency Warning Signs

While the Steeple Sign Croup is a well-known radiographic feature, parents should focus more on the child's physical symptoms rather than the X-ray findings. Immediate medical evaluation in an emergency department is necessary if a child exhibits the following red flags:

  • Stridor that is present even when the child is resting or calm.
  • Difficulty breathing, evidenced by retractions (the skin pulling in around the ribs, neck, or sternum when breathing).
  • Excessive drooling or extreme difficulty swallowing.
  • Cyanosis (a bluish or greyish tint to the skin, lips, or fingernails).
  • Extreme fatigue or lethargy.

If you notice any of these signs, seek emergency care immediately, as they indicate the airway may be severely compromised.

Navigating a health crisis involving your child’s breathing is undoubtedly stressful, but understanding the terminology and the nature of the condition can help you feel more prepared. The Steeple Sign Croup is a useful tool in the clinical setting for radiologists and doctors when diagnosing airway obstruction, but it is not something parents need to concern themselves with unless a medical provider deems it necessary. By focusing on your child’s comfort and recognizing the critical warning signs that require emergency medical attention, you can manage the situation effectively. Most children recover fully from viral croup with appropriate supportive care and, when necessary, short-term medical treatment, allowing that distressing barking cough to fade away as quickly as it arrived.

Related Terms:

  • steeple sign vs thumb
  • croup steeple sign x ray
  • steeple sign vs normal
  • steeple sign croup xray
  • steeple sign wikem
  • steeple sign croup vs normal