Rp

Stent In Ureter

Stent In Ureter

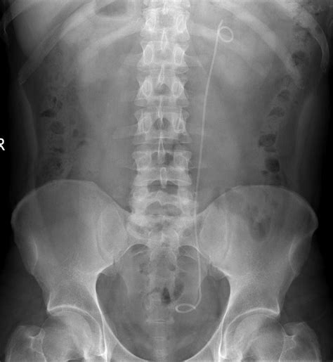
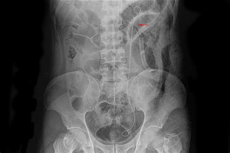
Receiving a diagnosis that requires a stent in ureter procedure can be overwhelming, but understanding the purpose and process of this common urological intervention can help alleviate anxiety. A ureteral stent is a thin, flexible tube made of plastic or silicone that is placed inside the ureter—the duct that carries urine from the kidney to the bladder. Its primary function is to ensure that urine can flow freely, bypassing any obstructions that might be caused by kidney stones, tumors, blood clots, or swelling. By keeping the ureter open, the stent prevents potential complications such as kidney damage, severe pain, or infections.

Why Is a Stent in Ureter Necessary?

The ureters are delicate, narrow tubes. When they become blocked, urine backs up into the kidney, a condition known as hydronephrosis, which can lead to significant pain and compromised kidney function. A stent in ureter placement is often performed to resolve these blockages. Common reasons for needing a stent include:

  • Kidney Stones: When a stone is too large to pass or is causing significant obstruction.
  • Post-Surgical Support: After procedures like ureteroscopy or lithotripsy to help the ureter heal.
  • Strictures: Scarring that narrows the ureter, often due to past trauma or surgery.
  • Tumors: External compression from tumors that obstruct the flow of urine.
  • Pregnancy-Related Complications: Rarely, when a growing uterus compresses the ureter significantly.

The Placement Procedure

The insertion of a stent is typically performed by a urologist in an operating room or a specialized clinical setting. The procedure usually takes between 20 to 45 minutes and is conducted under general or regional anesthesia to ensure patient comfort.

During the procedure, the urologist uses a cystoscope—a thin, lighted tube—inserted through the urethra into the bladder to locate the opening of the ureter. A guide wire is then passed through the ureter to the kidney. Once the position is confirmed via X-ray imaging, the stent is threaded over the wire and placed into the final position. The stent usually features small curls at both ends—one in the kidney and one in the bladder—to prevent it from migrating out of place.

⚠️ Note: You may experience mild discomfort, a frequent urge to urinate, or slight blood in your urine for the first 24 to 48 hours following the procedure as your body adjusts to the presence of the device.

Living With a Stent in Ureter: What to Expect

While a stent in ureter is essential for health, it is a foreign object in your body, and most patients do experience some side effects. Being aware of these common symptoms can help you manage your daily activities more effectively during the period the stent is in place.

Symptom Description
Frequent Urination An increased urge to urinate due to bladder irritation.
Mild Discomfort Sensation of pressure or ache in the kidney area or bladder.
Hematuria Blood in the urine, often worsening with physical activity.
Urgency A sudden, intense need to empty the bladder.

Managing Symptoms and Recovery

To ensure a smoother experience while the stent is inside you, follow these practical tips:

  • Stay Hydrated: Drinking plenty of water helps dilute urine, which can reduce irritation and lower the risk of infection or stone formation.
  • Limit Strenuous Activity: Heavy lifting or intense exercise can cause the stent to shift or increase bleeding in the urine. Listen to your body and scale back.
  • Medication: Your doctor may prescribe alpha-blockers to help relax the ureter or bladder antispasmodics to reduce the frequency and urgency of urination.
  • Monitor Your Symptoms: Keep track of your urine color and any severe pain. While mild blood is expected, thick, bright red blood or clots should be reported.

When to Call Your Urologist

Although most side effects are manageable, certain symptoms indicate that you should seek medical attention promptly. Contact your healthcare provider if you experience any of the following:

  • Fever or chills (signs of a potential kidney infection).
  • Inability to urinate.
  • Severe pain that is not relieved by over-the-counter or prescribed medications.
  • Nausea or vomiting that prevents you from keeping fluids down.
  • Cloudy or foul-smelling urine.

💡 Note: Always complete any prescribed course of antibiotics, even if you are feeling better, to ensure that any potential infection is fully eradicated.

Stent Removal

A stent in ureter is rarely a permanent solution. It is usually temporary, left in place for a few days to several weeks, depending on the underlying condition. When it is time for removal, the procedure is generally much quicker than the initial placement. In many cases, it can be done in the urologist’s office using a flexible cystoscope under local anesthetic gel, or in some instances, the stent may be removed if it was left with an external retrieval string.

Final Thoughts

Having a stent in ureter is a vital step in maintaining kidney health when faced with obstructions or following urological surgery. While the presence of the stent can cause temporary discomfort and require adjustments to your daily routine, it is a proven and effective way to protect your kidneys and ensure proper urinary function. By staying well-hydrated, following your doctor’s activity recommendations, and keeping a close watch on any symptoms, you can successfully navigate the recovery process until the stent is safely removed. Remember that any significant changes in your health should be communicated to your medical team, who are there to support you through every stage of your recovery.

Related Terms:

  • J Stent Ureter
  • Stent Removal Ureter
  • Ureteral Stent Types
  • Kidney Stone Ureter Stent
  • Ureteral Stent Female
  • Ureter Stent Placement