Cleve

Stress Fx Foot

Stress Fx Foot

If you have been feeling a persistent, nagging pain in your foot that worsens with physical activity, you might be dealing with a stress Fx foot injury. Often referred to as a stress fracture, this condition occurs when repetitive force, such as running long distances or jumping, causes tiny cracks or severe bruising in the bone. Unlike an acute fracture caused by a sudden injury, a stress fracture develops gradually as muscles become fatigued and unable to absorb added shock, eventually transferring the overload of stress to the bone. Recognizing the signs early is crucial for effective treatment and preventing the condition from worsening into a more serious break.

Understanding the Causes of a Stress Fx Foot

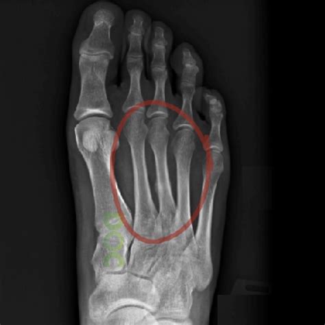
Anatomy of a foot showing common stress fracture locations

A stress Fx foot injury is typically the result of an “overuse” pattern. When you increase your level of physical activity too quickly—whether it’s mileage in running, intensity in a workout, or a sudden change in sport—your bones may not have enough time to adapt to the new workload. This imbalance leads to bone resorption (breakdown) occurring faster than bone formation (buildup), weakening the structure of the bone.

Several factors contribute to the development of this condition:

  • Sudden Increase in Activity: Rapidly ramping up intensity, duration, or frequency of exercise.
  • Poor Footwear: Shoes that lack proper cushioning, support, or are excessively worn out.
  • Surface Changes: Transitioning from soft surfaces like grass to hard surfaces like concrete.
  • Biomechanical Issues: Conditions like flat feet or high arches can cause abnormal stress distribution on the bones.
  • Nutritional Deficiencies: Low bone density caused by inadequate calcium or Vitamin D intake.

Common Symptoms and Diagnostic Process

The hallmark symptom of a stress Fx foot is localized pain that develops slowly. Initially, you might notice pain only after a workout. However, as the damage progresses, the pain may become present during activity and, eventually, even while resting. Other symptoms often include localized swelling, tenderness to the touch, and sometimes bruising in the area of the fracture.

When you consult a medical professional, they will typically perform a physical examination to check for tenderness. Because these fractures are often microscopic, they may not show up on an initial X-ray. A doctor might order an MRI or a bone scan, which are much more sensitive to identifying the early stages of a stress fracture.

Feature Description
Primary Symptom Gradual, worsening pain during weight-bearing activities
Location Often in the metatarsals (bones of the midfoot) or calcaneus (heel)
Detection Often invisible on X-rays in early stages; MRI is gold standard
Risk Factor Female athlete triad (low energy availability, menstrual dysfunction, low bone density)

Treatment and Recovery Strategies

The primary goal when treating a stress Fx foot is to alleviate pain and allow the bone to heal completely before returning to activity. Because the injury is structural, the most essential element of treatment is relative rest.

Standard protocols include:

  • Rest: Cease the activity that caused the pain. You may engage in non-weight-bearing exercises like swimming or cycling if approved by your doctor.
  • Ice Therapy: Applying ice to the affected area several times a day can help reduce inflammation and manage discomfort.
  • Protective Footwear: Your doctor may suggest a walking boot, stiff-soled shoe, or even crutches to offload the pressure from the fractured bone.
  • Gradual Return to Activity: Once the pain has subsided, you must follow a strictly guided progression back to your normal exercise routine to avoid re-injury.

⚠️ Note: Do not attempt to "push through the pain." Ignoring the early warning signs of a stress fracture can lead to a complete bone break, significantly extending recovery time and potentially requiring surgical intervention.

Preventing Future Stress Fractures

Once you have recovered from a stress Fx foot, your focus should shift toward prevention. Developing a solid foundation will help ensure that your bones remain resilient against future physical stressors.

Consider implementing these preventative strategies:

  • The 10% Rule: Never increase your weekly exercise volume (mileage or duration) by more than 10% over the previous week.
  • Cross-Training: Incorporate non-impact activities into your weekly regimen to allow your bones to recover while still maintaining cardiovascular fitness.
  • Nutrition is Key: Ensure your diet includes adequate amounts of Calcium and Vitamin D to support bone remodeling.
  • Replace Footwear Regularly: Replace athletic shoes every 300 to 500 miles, or sooner if the sole support shows signs of degradation.
  • Strength Training: Strengthening the muscles around your feet and lower legs helps absorb impact, reducing the burden on the bones themselves.

Dealing with a stress fracture can be a frustrating and lengthy experience, but it is a manageable condition with the right approach. By respecting your body’s need for rest, following the advice of medical professionals, and gradually easing back into your routine, you can recover fully and minimize the risk of future injury. The path to healing is not just about waiting for the pain to stop; it is about addressing the root causes, strengthening your structural support, and making smarter, sustainable choices in your training regimen to ensure long-term foot health and physical activity longevity.

Related Terms:

  • stress fracture outside of foot
  • nondisplaced stress fracture on foot
  • foot pain stress fracture symptoms
  • stress fracture bottom of foot
  • stress fracture side of foot
  • symptoms of stress fracture foot