Cleve

Sun Allergy Symptoms

Sun Allergy Symptoms

Stepping out into the warm embrace of the sun is usually a cause for celebration, especially after a long winter. However, for some individuals, sunlight triggers a painful and often confusing reaction. If you have ever experienced an itchy rash, hives, or swelling after spending time outdoors, you might be dealing with a condition commonly known as a sun allergy. Understanding the specific Sun Allergy Symptoms is the first step toward managing your skin’s sensitivity and reclaiming your comfort during sunny days.

What is a Sun Allergy?

A sun allergy is a general term often used to describe several conditions in which an itchy red rash occurs on skin that has been exposed to sunlight. The most common form is polymorphic light eruption, also known as sun poisoning. While the exact cause remains unclear, the immune system reacts to sunlight as if it were a foreign invader, leading to inflammation and skin irritation. Recognizing the signs early can help you differentiate between a mild sunburn and a legitimate allergic reaction to ultraviolet (UV) radiation.

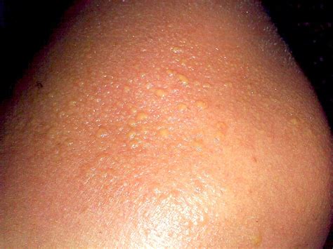
Common Sun Allergy Symptoms

The presentation of Sun Allergy Symptoms can vary significantly depending on the type of reaction and the individual’s skin sensitivity. While symptoms typically appear on areas of the skin that have been exposed to the sun—such as the neck, back of the hands, or arms—they can sometimes spread to covered areas if the reaction is severe. Common signs include:

  • Itchy red bumps or welts: These often appear in clusters and can look like small pimples.
  • Hives: Raised, red, and intensely itchy patches that can appear rapidly.
  • Blisters: In more severe cases, fluid-filled bumps may form, resembling a bad sunburn.
  • Scaling or crusting: As the rash begins to heal, the skin may become dry, flaky, or crusted.
  • Swelling: Some individuals experience localized edema (swelling) in the area of exposure.
  • Burning or stinging sensation: Unlike a standard sunburn, this sensation can occur even with minimal exposure.

⚠️ Note: If you experience difficulty breathing, dizziness, or swelling of the face and throat, seek emergency medical attention immediately, as these may be signs of a severe systemic allergic reaction or anaphylaxis.

Distinguishing Sun Allergy from Sunburn

It is easy to confuse a typical sunburn with a sun allergy, but the underlying mechanisms are quite different. A sunburn is a direct result of skin damage from overexposure to UV rays. In contrast, Sun Allergy Symptoms are an immune-mediated response. The following table highlights key differences to help you assess your condition:

Feature Standard Sunburn Sun Allergy
Cause UV damage to skin cells Immune system overreaction
Timing Appears hours after exposure Can appear within minutes or days
Appearance Uniform redness Bumps, hives, or distinct rashes
Itchiness Mild to moderate Intense and often debilitating

Risk Factors and Triggers

Not everyone reacts to the sun in the same way. Certain factors can increase your likelihood of experiencing Sun Allergy Symptoms. Genetics play a significant role, but environmental factors are equally influential. Common triggers include:

  • Photosensitizing Medications: Certain antibiotics, diuretics, and anti-inflammatory drugs can make your skin more sensitive to sunlight.
  • Topical Substances: Perfumes, disinfectants, and certain ingredients in sunscreens or skincare products can trigger a photoallergic reaction when combined with UV light.
  • Pre-existing Conditions: Individuals with eczema or dermatitis are often more prone to developing light-related sensitivities.
  • Family History: If close family members have a history of polymorphic light eruption, you may be at a higher risk.

Management and Preventive Measures

Living with sun sensitivity requires a proactive approach to skincare. The most effective way to manage Sun Allergy Symptoms is to limit exposure during peak UV hours—typically between 10 a.m. and 4 p.m. When you must be outside, prioritize physical barriers. Wear tightly woven clothing, wide-brimmed hats, and UV-blocking sunglasses. Additionally, applying a broad-spectrum, high-SPF sunscreen is essential, even on cloudy days, to minimize the risk of a reaction.

For those who experience frequent outbreaks, your dermatologist may recommend desensitization. This involves controlled, gradual exposure to UV light under medical supervision, which can help "train" your skin to tolerate sunlight better over time. Always consult with a healthcare professional before attempting any intensive treatment protocols.

💡 Note: Always perform a patch test when trying a new sunscreen or topical product to ensure it does not cause a secondary contact dermatitis reaction on your skin.

Seeking Professional Advice

If your Sun Allergy Symptoms persist, worsen, or significantly impact your quality of life, it is crucial to consult a board-certified dermatologist. They can provide an accurate diagnosis, as some skin conditions—like lupus or porphyria—can mimic sun allergies. A specialist may prescribe topical corticosteroids to reduce inflammation or antihistamines to control the intense itching associated with the rash. Understanding your specific type of allergy allows for a tailored treatment plan that ensures you can enjoy your time outdoors more safely.

Taking control of your skin health involves being observant of how your body reacts to the environment. By tracking when your symptoms appear, noting which medications you are currently taking, and consistently practicing sun-safety habits, you can effectively minimize the occurrence of allergic reactions. While the unpredictable nature of these skin flare-ups can be frustrating, most people find that with the right combination of sun avoidance, protective clothing, and targeted medical advice, they can successfully manage their sensitivity and lead an active, outdoor-oriented lifestyle without constant fear of a painful or itchy breakout.

Related Terms:

  • sun allergy symptoms and treatment
  • sun poisoning rash
  • sun allergy symptoms pictures
  • sun allergy causes
  • sun allergy on face
  • symptoms of sun allergy rash