Rp

Susceptibility Weighted Imaging

Susceptibility Weighted Imaging

Medical imaging technology has undergone a profound transformation over the past few decades, moving beyond mere structural visualization to capture the complex physiological and biochemical properties of human tissue. Among the most significant advancements in modern neuroradiology is Susceptibility Weighted Imaging (SWI). This powerful MRI technique leverages the magnetic properties of different tissues—specifically their susceptibility to magnetic fields—to create high-contrast images that are particularly sensitive to blood products, iron deposits, and venous vasculature. By providing a window into the subtle microstructural changes within the brain, SWI has become an indispensable tool for clinicians diagnosing neurological conditions ranging from traumatic brain injuries to neurodegenerative diseases.

Understanding the Physics of Susceptibility Weighted Imaging

Advanced MRI Technology

At its core, Susceptibility Weighted Imaging relies on the principle that various biological substances possess different magnetic susceptibilities. When placed in a powerful magnetic field, substances like deoxyhemoglobin, ferritin, hemosiderin, and calcium distort the local magnetic field differently than surrounding healthy tissue. While standard MRI sequences might overlook these subtle variations, SWI captures them by utilizing both the magnitude and phase information from the MRI signal.

Also read: Best Face Mask Brands Plastic Surgery Recovery

The technique produces an enhanced contrast that highlights venous blood and iron deposition. Deoxyhemoglobin, being paramagnetic, induces a local magnetic field shift, which SWI exploits to visualize the venous system in exquisite detail. This is often referred to as "venography" without the need for injected contrast agents, making it a safer and highly effective diagnostic method for patients with renal impairment or those who are sensitive to gadolinium.

Clinical Applications and Diagnostic Value

The versatility of Susceptibility Weighted Imaging allows it to play a pivotal role in several clinical domains. Its ability to detect microbleeds, which are often invisible on traditional T1-weighted or T2-weighted scans, is perhaps its most celebrated application. The following list highlights key clinical scenarios where this imaging modality is considered the gold standard:

  • Traumatic Brain Injury (TBI): SWI is highly sensitive to the detection of Diffuse Axonal Injury (DAI) and microhemorrhages resulting from shear forces during trauma.
  • Cerebrovascular Disease: It allows for the identification of venous thrombosis, cavernous malformations, and the assessment of vascular reserve.
  • Neurodegenerative Disorders: By quantifying iron deposition in the basal ganglia, clinicians can monitor conditions such as Alzheimer’s, Parkinson’s, and Multiple Sclerosis.
  • Brain Tumors: SWI helps differentiate between tumor types by assessing the degree of intratumoral hemorrhage and the organization of the microvasculature.

⚠️ Note: While SWI is highly sensitive, it can also be susceptible to artifacts near bone-air interfaces, such as the skull base or paranasal sinuses, which may mimic pathology if not carefully interpreted by a trained radiologist.

Comparison of MRI Sequences

To better understand why Susceptibility Weighted Imaging is uniquely positioned in the diagnostic workflow, it is helpful to compare it with other standard sequences. The table below outlines the primary strengths of different MRI sequences in a neurological context.

Sequence Primary Sensitivity Clinical Use Case
T1-Weighted Anatomy and Structure Baseline brain morphology and tumor borders
T2-Weighted Water/Edema Lesion detection and fluid assessment
SWI Paramagnetic/Diamagnetic substances Microbleeds, iron, and venous anatomy
DWI Diffusion of water molecules Acute stroke and cellularity

Technological Nuances and Image Interpretation

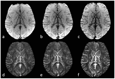
Implementing Susceptibility Weighted Imaging requires specific hardware and software considerations. High-field MRI scanners, typically 3 Tesla or higher, are preferred because the susceptibility effect is more pronounced at higher field strengths. The acquisition involves 3D gradient-echo sequences with long echo times to maximize the phase shifts caused by the magnetic susceptibility differences.

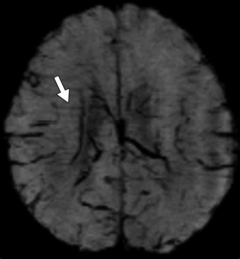
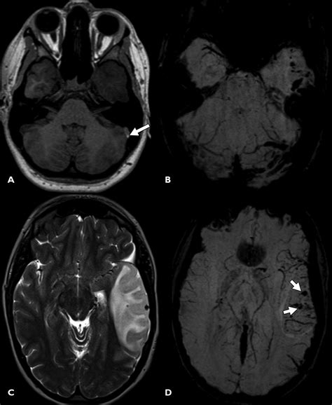
Radiologists look for "blooming effects" on the images, where small, dark spots represent paramagnetic substances like blood products. Because the signal decay is accelerated in regions with high iron or deoxyhemoglobin content, these areas appear as dark, high-contrast signals. Interpreting these images requires an understanding of how to differentiate between normal venous blood and pathological hemorrhages. For instance, the presence of blood in deep brain nuclei versus the cortex can indicate vastly different underlying etiologies, such as hypertensive vasculopathy or cerebral amyloid angiopathy.

💡 Note: Always ensure that image reconstruction parameters are standardized within your clinical facility to allow for longitudinal comparison of iron deposition levels across patient follow-up visits.

Future Directions in Neuro-Imaging

The future of Susceptibility Weighted Imaging lies in the realm of quantitative analysis. Currently, much of the interpretation relies on qualitative visual assessment. However, researchers are moving toward "Quantitative Susceptibility Mapping" (QSM). QSM aims to calculate the actual magnetic susceptibility of tissues, allowing for an absolute measurement of iron concentration rather than just a visual impression. This transition will likely open new doors for early diagnosis of dementias and movement disorders, where iron accumulation often precedes clinical symptoms by several years.

Moreover, the integration of artificial intelligence in analyzing these datasets is rapidly evolving. Machine learning algorithms are currently being trained to automatically detect and count microbleeds, significantly reducing the reading time for busy radiologists and improving the consistency of reports across different institutions.

The diagnostic impact of this technology cannot be overstated. By providing high-fidelity visual data regarding the microvascular environment and metabolic byproducts, the medical field has gained a deeper understanding of brain health. As acquisition protocols become more robust and quantitative tools like QSM become more widespread, the reliance on this imaging modality will only increase. Whether dealing with the aftermath of an acute injury or tracking the slow progression of a chronic illness, clinicians are now better equipped than ever to visualize the invisible, ensuring that patients receive timely, accurate, and personalized medical interventions based on the nuanced biological signals captured through advanced magnetic resonance imaging techniques.

Related Terms:

  • susceptibility weighted imaging techniques
  • calcification vs hemorrhage on swi
  • susceptibility weighted imaging mri questions
  • swi imaging
  • blood on susceptibility weighted imaging
  • susceptibility weighted imaging ppt