Cleve

Talipes Equinovarus In Adults

Talipes Equinovarus In Adults

While often associated with infancy and early childhood development, Talipes Equinovarus in adults represents a complex clinical scenario that can significantly impact a person’s mobility, comfort, and overall quality of life. Commonly known as clubfoot, this condition involves a structural deformity where the foot is twisted inward and downward. When this condition persists into adulthood—either as a result of untreated congenital cases, relapse after initial treatment, or secondary causes like neurological disorders—it requires specialized orthopedic intervention to restore function and alleviate chronic pain.

Understanding the Nature of Talipes Equinovarus in Adults

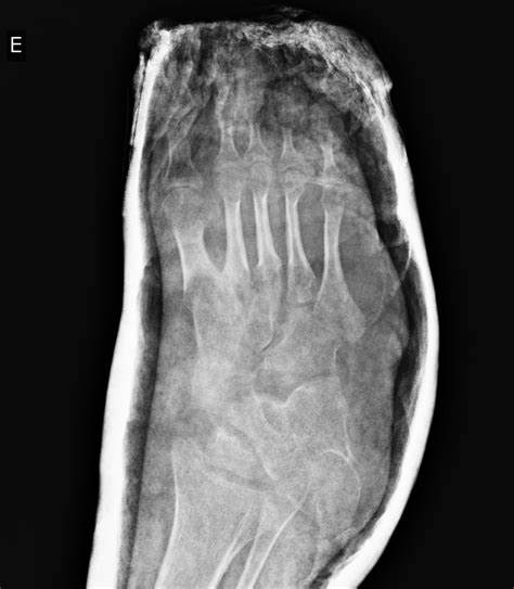
The term Talipes Equinovarus is derived from Latin, where "talus" refers to the ankle, "pes" to the foot, "equinus" to the horse-like position (plantar flexion), and "varus" to the inward inversion. In an adult patient, the foot may appear rigid, making it difficult to place the sole flat on the ground. This rigid deformity is not merely cosmetic; it changes the biomechanics of the entire lower limb, often leading to secondary complications in the knee, hip, and lower back due to compensatory gait changes.

Adult-onset or persistent clubfoot can be categorized into two primary types:

Also read: Face Down Chair After Eye Surgery
  • Congenital Neglected Clubfoot: Cases where the deformity was present at birth but remained untreated or inadequately managed during childhood.
  • Recurrent Clubfoot: Cases where the condition was treated in childhood but the foot gradually returns to a deformed state during the growth years or early adulthood.
  • Secondary Clubfoot: Deformities arising from neuromuscular conditions such as cerebral palsy, Charcot-Marie-Tooth disease, or stroke, which affect muscle balance around the ankle.

Common Symptoms and Clinical Presentation

Patients living with Talipes Equinovarus in adults often present with a distinct set of physical challenges. Because the foot is held in an abnormal position, the distribution of weight while walking is severely compromised. This leads to the development of painful calluses on the outer edge of the foot, which is the primary weight-bearing surface.

Key indicators that warrant a consultation with an orthopedic specialist include:

  • Persistent pain along the lateral (outer) aspect of the foot.
  • Inability to wear standard footwear without modifications or custom orthotics.
  • Visible muscle atrophy in the calf area due to restricted movement.
  • Difficulty with balance, leading to frequent trips or falls.
  • Chronic stiffness in the ankle joint that limits range of motion.

⚠️ Note: Early intervention for foot pain is critical; delaying treatment in adults can lead to secondary arthritis in the ankle joint, which is significantly harder to manage than the deformity itself.

Comparison of Treatment Approaches

The strategy for treating Talipes Equinovarus in adults is highly individualized. Unlike in infants, where the bones are flexible and amenable to the Ponseti method (casting), adult bones are fully ossified and rigid, often necessitating surgical intervention.

Treatment Type Primary Goal Suitability
Orthotics/Bracing Pain management and support Mild cases or non-surgical candidates
Soft Tissue Release Lengthening tendons Moderate cases with some flexibility
Osteotomy/Fusion Realigning bone structure Severe, rigid deformity

Surgical Interventions and Rehabilitation

When conservative measures like custom footwear or physical therapy fail to provide adequate relief, surgery becomes the gold standard. The choice of surgery depends on the severity of the rigidity and the patient’s activity level.

Common surgical procedures include:

  • Tendon Lengthening: Addressing tight structures like the Achilles tendon to allow for better heel strike during gait.
  • Osteotomy: Surgically cutting and repositioning the bones of the foot to create a more stable, plantigrade position.
  • Arthrodesis (Fusion): In severe cases of joint degeneration, fusing the affected bones together eliminates pain by removing motion from the arthritic joint.

Post-operative recovery is a significant phase of the treatment journey. Patients must adhere to a strict rehabilitation protocol to regain strength and ensure proper healing of the bones and soft tissues. This typically involves a period of non-weight-bearing movement, followed by gradual transition to specialized shoes or braces under the guidance of a physical therapist.

💡 Note: Success in adult clubfoot surgery is defined by achieving a pain-free, stable foot capable of supporting weight, rather than achieving a perfectly aesthetic foot shape.

Long-term Management and Quality of Life

Living with a corrected or managed Talipes Equinovarus in adults requires a lifetime commitment to foot health. Because the underlying anatomy remains altered, patients are encouraged to maintain a consistent follow-up schedule with their orthopedic team. Weight management also plays a crucial role; reducing the load on the foot can significantly extend the longevity of surgical corrections and reduce daily pain.

Many adults find that combining medical intervention with lifestyle adjustments—such as low-impact activities like swimming or cycling—helps them stay active without overstressing the ankle complex. Engaging with support groups or seeking guidance from physical medicine experts can also provide valuable emotional and physical support throughout the recovery and maintenance stages.

Managing this condition is a journey that requires patience, consistency, and a multidisciplinary approach involving surgeons, physical therapists, and orthotists. While the deformity can be challenging, modern surgical techniques and advanced orthotic technologies offer significant hope for improving stability and reducing chronic discomfort. By addressing the structural imbalances through targeted medical care, individuals can greatly improve their ability to participate in daily activities and enjoy a more active lifestyle. Consistent monitoring and adherence to a tailored recovery plan remain the cornerstones of achieving long-term success, ensuring that the impact of this condition on daily function is minimized as much as possible for every patient.

Related Terms:

  • equinovarus meaning
  • congenital talipes equinovarus left foot
  • what is congenital talipes
  • talipes equinovarus congenital
  • equinocavovarus foot deformity
  • talipes equinovalgus