Cleve

Teeth With Gums

Teeth With Gums

When you look in the mirror and smile, your teeth with gums form the foundation of your oral aesthetic and overall health. Many people focus exclusively on the brightness of their enamel, forgetting that the health of the gingival tissue is just as critical to a confident smile. The relationship between your teeth and gums is a delicate, symbiotic one; when one suffers, the other is almost inevitably affected. Understanding how to care for this relationship is the secret to avoiding long-term dental issues like periodontitis, tooth loss, and systemic health complications. By treating your gums with the same level of attention as your teeth, you create a robust environment that protects your mouth from invasive bacteria and keeps your smile looking vibrant for years to come.

The Anatomy of Your Oral Health

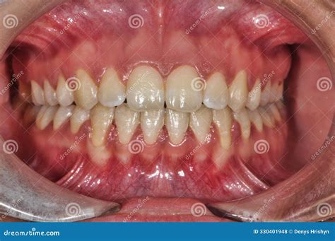
Healthy smile showing teeth with gums

To truly appreciate the importance of your teeth with gums, it helps to understand how they are structured. Your teeth are anchored into the jawbone, but the gums (gingiva) act as a seal, protecting the sensitive root structures and bone from the bacteria living in your mouth. Think of your gums as the “gasket” for your teeth. When this gasket is inflamed or receding, it creates pockets where debris and pathogens can hide, leading to decay even if your brushing technique on the crown of the tooth is perfect.

A healthy gingival line should appear firm, pink, and tight against the teeth. If you notice swelling, redness, or bleeding, this is your body signaling that the protective seal has been compromised. Recognizing these signs early is the primary way to prevent the progression from mild gingivitis to irreversible periodontitis.

Common Challenges Impacting Your Gums

Maintaining the perfect balance of teeth with gums is often challenged by lifestyle factors and oral hygiene habits. Ignoring these common issues can lead to discomfort and expensive dental interventions. Common culprits include:

  • Plaque Accumulation: Sticky bacteria that harden into tartar, irritating the gum line.
  • Aggressive Brushing: Using a hard-bristled brush can physically strip away delicate gum tissue.
  • Dietary Choices: High sugar intake feeds bacteria that attack the soft tissue.
  • Smoking/Tobacco Use: Significantly restricts blood flow to the gums, slowing down healing and masking infection symptoms.
  • Hormonal Changes: Pregnancy or medication-related changes can make gums more sensitive and prone to inflammation.

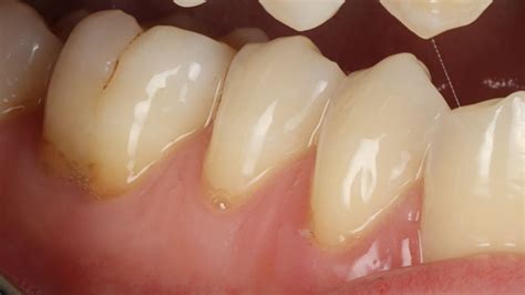
Comparison of Gum Conditions

It is important to differentiate between a healthy state and conditions that require professional intervention. Use the following table to assess your current oral status:

Condition Visual Appearance Common Symptoms
Healthy Pale pink, firm No bleeding, no pain
Gingivitis Red, swollen Bleeding during flossing
Periodontitis Receding, dark red Bad breath, loose teeth

⚠️ Note: If you observe persistent bleeding or noticeable recession of your gum line, consult a dental professional immediately. These are often signs of deeper issues that cannot be resolved with home care alone.

Best Practices for Maintaining Healthy Gums

Caring for your teeth with gums requires a consistent routine that addresses both the hard surfaces of the teeth and the soft tissue surrounding them. Follow these steps to optimize your daily care:

  1. Gentle Brushing: Switch to a soft-bristled toothbrush. Hold the brush at a 45-degree angle toward the gum line and use small, circular motions rather than sawing back and forth.
  2. Daily Flossing: This is non-negotiable. Floss reaches the areas between the teeth with gums where a toothbrush cannot reach. Removing food particles here prevents the formation of “gum pockets.”
  3. Mouthwash Usage: Incorporate an antimicrobial mouthwash to reduce the bacterial load in the mouth, which helps soothe inflammation.
  4. Regular Professional Cleanings: No matter how well you brush, tartar (calculus) will build up. Professional scaling is the only way to remove it safely.

💡 Note: When flossing, ensure you curve the floss into a 'C' shape around each tooth. Gently glide it beneath the gum line to remove hidden plaque without traumatizing the tissue.

The Connection to Systemic Health

Research has increasingly shown that your dental health is a window to your overall well-being. Chronic inflammation in the teeth with gums has been linked to several systemic diseases. When gums are chronically infected, bacteria can enter the bloodstream, potentially leading to issues elsewhere in the body. By keeping your gums healthy, you aren’t just protecting your smile—you are actively reducing systemic inflammation that could impact heart health and blood sugar regulation. It is a vital investment in your longevity.

Lifestyle Adjustments for Long-Term Success

Beyond brushing and flossing, your daily habits play a major role in gum longevity. Hydration is key; saliva is your mouth’s natural defense mechanism, helping to wash away food particles and neutralize acids. Drinking plenty of water keeps your saliva production optimized. Furthermore, eating a diet rich in vitamin C and calcium supports both the integrity of your enamel and the strength of the connective tissue in your gums. Avoiding constant snacking also prevents the “acid cycle” from damaging your oral tissues. By integrating these small behavioral changes into your routine, you ensure that your teeth with gums remain strong and protected against the natural aging process of the mouth.

Taking care of your oral environment is a lifelong commitment that pays dividends in both your health and your confidence. By maintaining a routine that prioritizes gentle cleaning, daily removal of interdental debris, and regular visits to a professional, you effectively manage the health of your teeth with gums. It is essential to listen to what your mouth is telling you; any persistent change in color, sensitivity, or gum position is a signal to act. Through consistent care and an awareness of the factors that influence your oral health, you can enjoy a bright, functional, and healthy smile for decades to come.

Related Terms:

  • gum or tooth problems
  • teeth gum problem solution
  • what can cause gum infection
  • bacteria that cause gum disease
  • types of gum problems
  • bacteria in teeth and gums