Cleve

Tibia Fracture Symptoms

Tibia Fracture Symptoms

Experiencing a sudden, intense pain in your lower leg can be a terrifying ordeal, especially if you suspect a serious injury. One of the most common yet significant injuries involving the lower leg is a broken shinbone, medically known as a tibia fracture. Recognizing the specific Tibia Fracture Symptoms early is crucial for ensuring proper medical attention and avoiding long-term complications. The tibia is the larger of the two bones in your lower leg, and because it bears the majority of your body weight, any structural break requires immediate diagnostic evaluation and a carefully managed recovery plan.

Understanding the Tibia and Why Fractures Occur

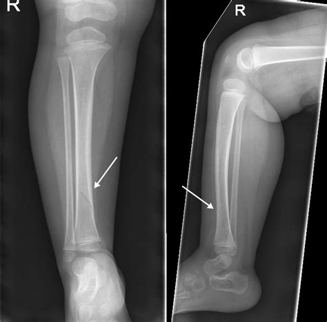
Medical X-ray of a leg

The tibia, or shinbone, runs from your knee down to your ankle. It is a critical component of the musculoskeletal system, acting as a primary weight-bearing structure. Fractures in this area can range from stress fractures—which are tiny, hairline cracks—to complete breaks where the bone snaps into two or more pieces. Most instances occur due to high-energy trauma, such as car accidents, falls from significant heights, or contact sports, although repetitive stress can also lead to fractures over time.

Because the tibia has relatively little soft tissue covering it, especially along the front of the shin, it is highly susceptible to injury. When a fracture occurs, the surrounding tissues, nerves, and blood vessels are often affected. This is why paying attention to the specific Tibia Fracture Symptoms is the first step in seeking the right orthopaedic care.

Key Tibia Fracture Symptoms to Monitor

The signs of a tibia fracture are often immediate and unmistakable, though they can vary depending on the severity of the break. If you suspect an injury, look for the following clinical indicators:

  • Intense, localized pain: Often described as sharp, throbbing, or unbearable, especially when attempting to bear weight.
  • Inability to walk: A clear sign is the total inability to put any pressure on the affected leg.
  • Visible deformity: If the bone has shifted, you may see an unnatural bend or bump in the shin.
  • Swelling and bruising: Significant inflammation often appears shortly after the injury, along with skin discoloration (purple or blue).
  • Numbness or tingling: This is a critical symptom that may indicate nerve involvement or compromised blood flow.
  • Protruding bone: In "open" or compound fractures, the bone may pierce through the skin, which requires an emergency room visit immediately.

⚠️ Note: If you observe a bone breaking through the skin, cover the area with a clean cloth and seek emergency medical services immediately. Do not attempt to realign the bone yourself.

Clinical Differences Between Fracture Types

Not all fractures present with the same intensity. The following table highlights how different levels of injury may manifest:

Type of Fracture Primary Characteristics Weight Bearing
Stress Fracture Dull ache, pain during activity Painful but possible
Simple Fracture Severe pain, swelling, deformity Impossible
Compound Fracture Visible bone, heavy bleeding N/A (Emergency)

Immediate Steps Following an Injury

If you or someone around you experiences the Tibia Fracture Symptoms listed above, your primary focus should be stabilization and safety. Following the RICE protocol—Rest, Ice, Compression, and Elevation—is generally recommended for minor injuries, but in the case of a suspected tibia fracture, you should prioritize the following:

  1. Do not move the limb: Try to keep the leg as still as possible to prevent further damage to surrounding soft tissues.
  2. Stop all weight-bearing activity: Do not attempt to "walk it off."
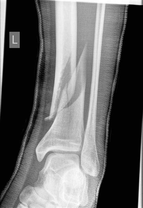
  3. Seek medical imaging: Doctors will almost always order an X-ray to determine the exact location and severity of the break.
  4. Monitor circulation: If your toes turn pale, cold, or blue, seek professional help instantly, as this suggests a restriction in blood flow.

💡 Note: Always consult with a licensed healthcare professional to determine if casting, surgery, or physical therapy is necessary for your specific recovery timeline.

Diagnosis and Medical Intervention

When you arrive at a clinic or emergency department, the medical team will evaluate your Tibia Fracture Symptoms through a series of diagnostic steps. They will perform a physical examination to check for pulses in the foot and sensory function in the lower leg. Following this, imaging is mandatory. X-rays provide a clear image of the fracture lines and displacement. In more complex scenarios, such as injuries involving the knee or ankle joint, a CT scan may be requested to gain a three-dimensional view of the bone structure.

Treatment paths are individualized. Minor, non-displaced fractures may heal with immobilization via a cast or brace. However, more significant breaks often require surgical intervention, such as internal fixation using plates, screws, or intramedullary rods to hold the bone in place while it mends. Recovery can range from several weeks for a simple hairline fracture to several months for a major surgical repair.

The Path to Rehabilitation

Once the bone has begun to knit back together, physical therapy becomes the cornerstone of your recovery. Restoring strength to the calf and quadriceps muscles, which often atrophy during the immobilization phase, is vital. You will gradually progress from non-weight-bearing exercises to partial weight-bearing, and eventually, full mobility. Adhering to your physical therapist's guidelines is just as important as the initial medical treatment in ensuring you regain your range of motion and functional capacity.

Proper nutrition also plays a significant role in bone health. Ensuring an adequate intake of calcium and Vitamin D, as well as maintaining a healthy protein balance, helps the body repair the damaged tissue efficiently. Throughout this journey, continue to listen to your body and report any persistent or worsening Tibia Fracture Symptoms to your orthopaedic specialist immediately, as delayed healing or non-union can occur if the recovery process is rushed.

Recognizing the symptoms of a tibia fracture early is the most effective way to prevent long-term mobility issues. By observing your physical limitations, monitoring for visible deformities, and seeking prompt diagnostic imaging, you provide yourself with the best opportunity for a full recovery. While the recovery process for a broken shinbone is undeniably challenging and requires patience, following a structured medical plan—from initial immobilization to intensive physical therapy—will guide you back to your normal daily activities. Stay vigilant regarding your physical health and do not hesitate to seek professional consultation if you suspect that your lower leg has sustained a significant injury.

Related Terms:

  • tibia fracture recovery time
  • tibia fracture treatment
  • signs of a broken tibia
  • tibia fracture healing time
  • fractured tibia symptoms and treatment
  • signs of a fractured tibia