Cleve

Tongue Thrust In Adults

Tongue Thrust In Adults

Many people assume that tongue thrust is a condition that only affects children, typically resolving as they mature. However, tongue thrust in adults is a surprisingly common issue that can have significant impacts on dental health, speech patterns, and even facial aesthetics. Often referred to as "immature swallowing pattern" or "orofacial myofunctional disorder," this condition occurs when the tongue pushes against or between the teeth during swallowing, speaking, or while at rest. While it is often overlooked during routine dental checkups, recognizing the signs and understanding the underlying causes is the first step toward effective management and correction.

Understanding Tongue Thrust in Adults

At its core, tongue thrust in adults is the persistence of a neonatal swallowing pattern. In infancy, babies use a forward tongue position to breastfeed or bottle-feed, which is a natural stage of development. As teeth emerge and the child learns to chew solid foods, the tongue's position should naturally shift to the roof of the mouth behind the front teeth during swallowing. When this transition does not occur, the tongue continues to push forward against the incisors.

In adults, this repetitive, abnormal pressure—which can occur thousands of times a day—can lead to a variety of structural and functional concerns. Because the tongue is a powerful muscle, its constant force against the delicate alignment of your teeth can disrupt the balance of your dental arches.

Common Causes of Tongue Thrust in Adults

Identifying why someone continues to have an improper swallowing pattern is essential for treatment. While some cases are habitual, others are tied to physical constraints. Common factors include:

  • Chronic Mouth Breathing: Often caused by allergies, enlarged tonsils, or deviated septums, which forces the tongue to sit low in the mouth to allow for better airflow.
  • Thumb or Pacifier Sucking: Prolonged childhood habits that can "program" the tongue to maintain a forward resting position.
  • Ankyloglossia (Tongue-Tie): A restricted frenulum can prevent the tongue from resting properly against the palate.
  • Hereditary Factors: Some individuals may inherit a larger tongue size or a specific jaw structure that predisposes them to the condition.
  • Stress or Tension: Unconscious habits related to bruxism or jaw clenching can sometimes exacerbate tongue positioning issues.

Signs and Symptoms to Watch For

You may be wondering how to tell if you have a tongue thrust. While a professional evaluation by an orthodontist or a speech-language pathologist (SLP) is necessary for a diagnosis, there are several telltale signs that tongue thrust in adults might be present:

Symptom Category Description
Dental Issues Development of an open bite, gaps between teeth (diastema), or crowded teeth.
Speech Patterns Difficulty pronouncing "s," "z," "sh," or "ch" sounds, often resulting in a lisp.
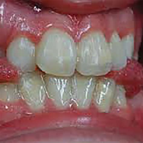
Resting Position Tongue is visible between the teeth when the mouth is slightly open or at rest.
Swallowing Habits Engagement of facial or lip muscles when swallowing instead of using only the tongue and throat.

⚠️ Note: If you notice these symptoms, it is recommended to schedule a consultation with an orofacial myofunctional therapist who can conduct a detailed assessment of your oral musculature.

The Impact on Dental Health and Orthodontics

The implications for dental health are arguably the most significant aspect of tongue thrust in adults. If a person undergoes orthodontic treatment—such as traditional braces or clear aligners—without addressing the tongue thrust, the results may be short-lived. The tongue will continue to exert pressure on the teeth, often pushing them back into their original, misaligned positions, a phenomenon known as "orthodontic relapse."

Furthermore, the physical pressure can wear down the enamel or cause gum recession in localized areas where the tongue constantly impacts the gum line. Addressing the muscle function is therefore just as important as the mechanics of moving the teeth themselves.

Treatment Options: Orofacial Myofunctional Therapy

The gold standard for treating tongue thrust in adults is Orofacial Myofunctional Therapy (OMT). This is a form of physical therapy designed specifically for the muscles of the face, mouth, and throat. The goal is to "retrain" the tongue to rest in the correct position—against the roof of the mouth—and to develop a mature, healthy swallowing pattern.

How OMT Works:

  • Muscle Exercises: Targeted exercises to strengthen the tongue and the muscles of the lips and cheeks.
  • Habit Elimination: Techniques to break subconscious behaviors that perpetuate the thrusting motion.
  • Corrective Positioning: Training the tongue to stay behind the alveolar ridge (the bumpy area behind your upper front teeth) at all times, except when speaking or eating.
  • Integration: Applying these new, correct patterns consistently until they become second nature.

💡 Note: Success with myofunctional therapy requires high levels of compliance and consistency, as the patient must perform prescribed exercises daily to achieve long-term neurological reprogramming of the swallowing reflex.

Lifestyle Adjustments and Management

Beyond formal therapy, certain lifestyle changes can help support the progress made during treatment. Many adults find relief by addressing the underlying causes of mouth breathing. If you suffer from seasonal allergies or chronic congestion, managing these conditions with the help of an ENT can significantly reduce the pressure to keep the tongue low in the mouth. Additionally, maintaining a focus on posture and relaxation can prevent the jaw tension that often accompanies oral muscle imbalances.

Final Perspectives

Navigating life with an orofacial myofunctional disorder can be frustrating, especially when it affects your self-confidence or the stability of your dental work. However, the recognition that tongue thrust in adults is a treatable condition is empowering. By shifting the focus from simply correcting the position of the teeth to addressing the muscular imbalances that drive the problem, adults can achieve lasting results. Whether through specialized myofunctional therapy, collaboration with orthodontic professionals, or simply becoming more mindful of resting tongue posture, taking action can improve your speech, protect your teeth, and enhance your overall quality of life. If you suspect that your swallow or resting tongue position is causing issues, reaching out to a qualified specialist is the most effective path toward finding balance and health in your oral structures.

Related Terms:

  • tongue protrudes midline meaning
  • tongue pushing against teeth
  • tongue to roof of mouth
  • talking through your teeth
  • protruding tongue meaning
  • sticking my tongue out