Discovering tooth decay front teeth issues can be an alarming experience, often leading to self-consciousness and concerns about your smile's aesthetic appeal. Unlike decay in the back molars, which is often hidden from view, decay affecting the front teeth is immediately noticeable when you speak, smile, or laugh. Understanding why this happens, how to identify it, and the steps you can take to reverse or treat it is crucial for maintaining both your oral health and your confidence.
Understanding Tooth Decay on Front Teeth

Tooth decay is essentially the breakdown of tooth enamel caused by acids produced by bacteria. When sugar and starch are left on the teeth, bacteria thrive, producing acid that strips away minerals from the enamel. When this process targets the front teeth—specifically the incisors and canines—it is often referred to as tooth decay front teeth issues. This area is particularly vulnerable because the enamel on the front teeth is thinner than that of the molars.
There are several reasons why front teeth might be more susceptible to decay in certain individuals:
- Dietary Habits: Frequently sipping on sugary drinks, sodas, or sports drinks allows acid to coat the front teeth repeatedly throughout the day.
- Poor Oral Hygiene: Inconsistent brushing and flossing allow plaque to accumulate near the gumline of the front teeth.
- Dry Mouth: Saliva plays a vital role in neutralizing acids. If you suffer from dry mouth (xerostomia), your front teeth lose this natural protection.
- Enamel Hypoplasia: Some people are born with thinner enamel, making them naturally more prone to early decay.
Stages and Signs of Decay
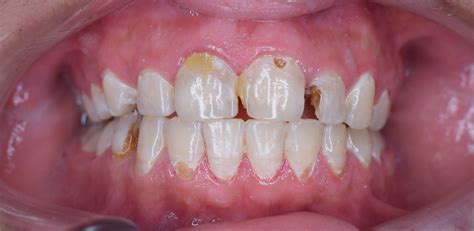
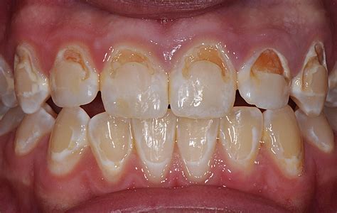
Recognizing the signs of tooth decay front teeth problems early can save you from invasive dental procedures. The process typically begins with white spots, which indicate demineralization, followed by brown or black spots as the decay deepens. Symptoms to watch for include:
- Visible white, yellow, or brown spots on the surface of the teeth.
- Sensitivity to hot, cold, or sugary foods.
- Small holes or pits (cavities) on the surface of the enamel.
- Persistent bad breath, which can be caused by decaying food particles and bacteria.
⚠️ Note: If you notice a dark spot on your front teeth that is not removable by brushing, schedule a professional dental examination immediately to prevent the cavity from reaching the dentin layer.
Comparative Analysis of Treatment Options
Depending on the severity of the decay, your dentist will recommend different interventions. Early-stage decay can often be managed with remineralization, while more advanced cavities will require structural repairs.
| Severity Level | Visual Indicator | Common Treatment |
|---|---|---|
| Stage 1: Enamel Decay | White spots | Fluoride treatment/Remineralization |
| Stage 2: Dentin Decay | Brown/Black spots | Composite resin fillings |
| Stage 3: Advanced Decay | Visible cavity/Pain | Dental crowns or veneers |
Preventive Strategies for Your Smile
Maintaining a healthy, decay-free smile requires a proactive approach. Prevention is always more effective than restoration. By implementing these daily habits, you can significantly reduce the risk of tooth decay front teeth issues:
- Brush Twice Daily: Use fluoride toothpaste to strengthen your enamel. Ensure you reach the gumline of your front teeth.
- Floss Every Night: Food particles often get trapped between the tight gaps of your front teeth; flossing prevents decay in these hard-to-reach areas.
- Limit Sugary Snacks: Reduce the frequency of snacking on carbohydrates, as these are the primary fuel for cavity-causing bacteria.
- Hydrate with Water: Drinking water after meals helps rinse away food debris and neutralizes oral acidity.
- Regular Dental Checkups: Visit your dentist every six months for professional cleanings and early screening for potential issues.
The Role of Professional Care
Sometimes, despite your best efforts, decay can still occur. Professional intervention is essential because decay does not heal itself. A dentist can use digital X-rays to detect interproximal decay—cavities forming between teeth that are impossible to see with the naked eye. When addressing tooth decay front teeth, dentists often prioritize aesthetic results by using tooth-colored composite resins that match your natural enamel, ensuring the repair is invisible to others.
💡 Note: Do not attempt to use "DIY" kits or abrasive materials found online to remove stains or spots from your teeth, as these can permanently damage your enamel and worsen the decay.
Final Thoughts on Dental Maintenance
Taking care of your front teeth is essential for both your health and your appearance. By understanding the causes of tooth decay and being vigilant about your daily hygiene, you can keep your smile bright and resilient. Remember that the journey to oral health is a marathon, not a sprint. Small, consistent actions like proper brushing, limiting sugar, and regular professional checkups form the backbone of a successful prevention strategy. If you notice any signs of decay, acting swiftly is the most effective way to protect your natural teeth and prevent the need for more extensive dental work down the line. Treat your teeth with the care they deserve, and they will continue to serve you well for years to come.
Related Terms:
- filling cavities on front teeth
- fixing cavities on front teeth
- cavities behind front teeth
- cavities starting on front tooth
- cavities in front top teeth
- small hole on front tooth