Mayo

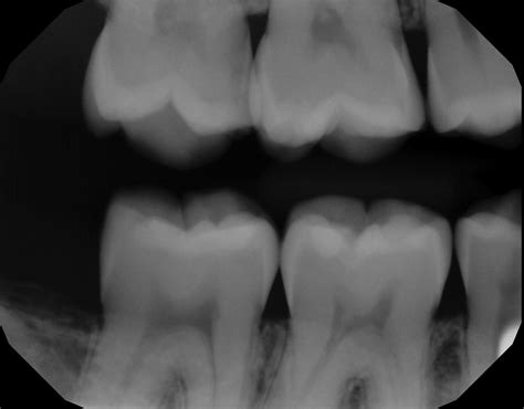
Tooth Decay X Ray

Tooth Decay X Ray

When you visit your dentist for a routine check-up, one of the most critical diagnostic tools they rely on is the tooth decay X-ray. While a visual examination allows a dentist to see the surface of your teeth, it cannot reveal the hidden damage occurring between teeth or beneath existing fillings. Dental radiographs, or X-rays, provide a crucial "inside look" at your oral health, enabling dentists to detect cavities, bone loss, and infections long before they become painful or require extensive, costly procedures. Understanding why these imaging tests are necessary is the first step toward maintaining a healthy smile for a lifetime.

Why Are X-Rays Essential for Detecting Tooth Decay?

Many people wonder why they need X-rays if their teeth look fine in the mirror. The reality is that tooth decay—the process that leads to cavities—often starts in areas that are completely invisible to the naked eye. A tooth decay X-ray is designed to capture structural issues that occur in hidden areas, such as:

  • Between teeth: Also known as interproximal decay, this is one of the most common spots for cavities to form because toothbrush bristles cannot reach these tight spaces.
  • Beneath fillings: Decay can sometimes recur around the edges of old fillings, a condition dentists call “secondary decay.”
  • Deep inside the tooth structure: X-rays show the depth of the decay, helping the dentist determine if it has reached the sensitive pulp chamber.
  • Below the gumline: Infections or bone loss in the jaw can be spotted early through advanced imaging.

Common Types of Dental X-Rays Used for Cavity Detection

Not all X-rays are the same, and your dentist will choose the specific type based on your symptoms and oral history. The most common tool for spotting decay is the bitewing X-ray. During this process, you bite down on a specialized piece of film or a sensor, which captures a clear view of the crowns of both your upper and lower teeth on one side of your mouth.

Type of X-Ray Primary Purpose
Bitewing Detecting cavities between teeth and checking the height of bone.
Periapical Viewing the entire tooth from crown to root to check for abscesses.
Panoramic A broad view of the entire mouth, jaw, and teeth structure.

How to Interpret a Tooth Decay X-Ray

When looking at your own X-rays on a monitor, you might find them confusing. Dentists are trained to identify specific visual cues. In a tooth decay X-ray, enamel—the hardest substance in your body—appears as a bright white or light gray area. Healthy bone also shows up in varying shades of white. When tooth decay is present, it appears as a darker, shadowy spot on the image.

This happens because the demineralization caused by bacteria makes the tooth structure less dense, allowing more X-ray radiation to pass through the area. The less dense the tissue, the darker it appears on the radiograph. If your dentist points out a dark spot on your X-ray, they are identifying an area where the mineral content of your tooth has been compromised by acid-producing bacteria.

💡 Note: Do not be alarmed if your dentist finds a "shadow" in an X-ray. Not every dark spot is an immediate cavity; sometimes, it is early-stage demineralization that can be reversed with fluoride treatments and better oral hygiene.

Addressing Safety Concerns Regarding Dental X-Rays

A common apprehension patients have is the exposure to radiation. It is important to understand that modern dental technology has made X-rays safer than ever. The amount of radiation emitted during a tooth decay X-ray is incredibly low—often less than the amount of natural background radiation you are exposed to in a single day of living on Earth.

Dentists use several safety protocols to minimize your exposure:

  • Digital Imaging: Most modern offices use digital sensors, which require significantly less radiation than the traditional film methods of the past.
  • Lead Aprons and Thyroid Collars: These protective garments are used to shield your body from unnecessary radiation exposure.
  • Rectangular Collimation: This technique restricts the X-ray beam to the exact area of interest, reducing the amount of scatter radiation.
  • Necessity Assessment: Dentists follow the “ALARA” principle—As Low As Reasonably Achievable—meaning X-rays are only taken when the clinical benefit outweighs the potential risk.

The Frequency of Radiographic Exams

How often you need a tooth decay X-ray depends entirely on your personal risk factors. There is no one-size-fits-all schedule. Patients with a high risk of developing cavities—such as those with a history of frequent decay, poor oral hygiene habits, or certain medical conditions—may require X-rays more frequently than others.

If your dental health is excellent and you rarely experience cavities, your dentist may only need to perform a radiographic assessment once every 18 to 24 months. During your check-up, your dentist will review your history, current symptoms, and clinical findings to determine if a new set of X-rays is necessary to ensure your long-term health.

💡 Note: Always inform your dentist if you are pregnant, as they may recommend postponing non-essential dental X-rays until after delivery, though standard dental precautions usually make them safe to perform if an emergency arises.

Preventive Care Following Diagnostic Findings

If an X-ray reveals the early stages of tooth decay, your dentist might suggest non-invasive treatments instead of immediate drilling and filling. These can include professional fluoride varnish applications, the use of prescription-strength fluoride toothpaste, or dental sealants to protect vulnerable areas. By using the tooth decay X-ray as a preventive tool, your dental team can help you stop decay in its tracks before it destroys your healthy tooth structure, ultimately saving you time, money, and discomfort. Maintaining a routine schedule of professional cleanings combined with these imaging evaluations remains the gold standard for optimal dental health.

Taking care of your teeth involves more than just brushing and flossing; it requires a partnership with your dental professional. By understanding the role of imaging in your oral healthcare plan, you can feel more comfortable and informed during your next appointment. Regular screenings are the most effective way to catch small problems before they grow into complex issues, ensuring that your mouth stays healthy, strong, and functional for many years to come. Remember that early detection is the secret to a conservative, pain-free dental experience.

Related Terms:

  • cavities between teeth x ray
  • dental x rays with cavities
  • teeth x ray with cavities
  • cavity on dental x ray
  • dental x ray cavities pictures
  • cavities on an x ray