Cleve

Tori Inside Mouth

Tori Inside Mouth

Discovering an unusual growth or bump inside your oral cavity can be an unsettling experience. Many people find themselves searching for information when they encounter what is medically known as a tori inside mouth. While the terminology might sound intimidating, these bony growths are generally benign and common occurrences for a significant portion of the population. Understanding what these structures are, why they develop, and when you should consult a dental professional is essential for maintaining peace of mind regarding your oral health.

Understanding Tori Inside Mouth

A tori inside mouth—scientifically referred to as torus palatinus or torus mandibularis—is essentially a bony protrusion or exostosis that develops along the roof of the mouth or the lower jaw. These growths are made of dense, normal bone tissue. They are not cancerous, nor are they typically a sign of an underlying systemic illness. Instead, they represent a slow, gradual thickening of the bone that can occur over several years.

The condition is quite prevalent, and many individuals live their entire lives without ever realizing they have these bony bumps until a dentist points them out during a routine examination. Because they are part of your skeletal structure, they are permanent features unless surgically removed for specific clinical reasons.

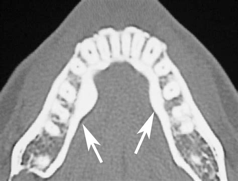
Types and Locations of Oral Torus

When discussing a tori inside mouth, it is important to distinguish between the two primary locations where these growths manifest. Knowing the specific type helps in identifying the sensation you might be feeling when your tongue brushes against the area.

  • Torus Palatinus: These occur on the hard palate, which is the roof of the mouth. They often appear as a singular or lobulated bony mass located in the center of the palate.
  • Torus Mandibularis: These appear on the lingual aspect of the mandible, which is the inner side of your lower jaw, usually located near the premolar teeth. They are often bilateral, meaning they appear on both the left and right sides of the jaw.

These structures are categorized by their size and shape. The following table illustrates the general progression and features often observed by dental professionals:

Feature Torus Palatinus Torus Mandibularis
Primary Location Roof of the mouth (Center) Inner lower jaw (Near tongue)
Symmetry Often midline Typically bilateral
Growth Rate Very slow Very slow
Commonality Higher in females Higher in males

What Causes Bony Growths?

The exact cause of a tori inside mouth is not fully understood, but researchers suggest it is likely a combination of genetic and environmental factors. Some studies indicate that individuals with a family history of oral tori are more likely to develop them, suggesting a strong hereditary component.

Beyond genetics, external stressors on the jawbone play a significant role. These stressors may include:

  • Bruxism: The habitual grinding or clenching of teeth places excessive pressure on the jawbone, which may stimulate the body to produce extra bone as a protective or adaptive response.
  • Occlusal Stress: Misalignment of teeth or bite issues can cause uneven distribution of force, potentially triggering bone growth in specific areas.
  • Dietary Factors: Some theories explore the link between high vitamin D intake or bone density and the development of oral exostoses, though these remain secondary to mechanical stress theories.

💡 Note: While a tori inside mouth is not a disease, always consult your dentist if you notice a sudden change in size, bleeding, or persistent pain, as these can be signs of other oral issues unrelated to tori.

When to Seek Professional Advice

In most cases, a tori inside mouth is asymptomatic and requires no treatment. However, there are specific situations where a dentist might recommend intervention. If the growth is large enough to interfere with your daily life, it may warrant a discussion about removal.

Situations that might require medical attention include:

  • Prosthetic Fit: If you require dentures or other oral appliances, the presence of tori can make the fit uncomfortable or impossible to stabilize.
  • Speech Interference: In rare cases, a large torus palatinus can alter the tongue's position, slightly affecting speech patterns.
  • Trauma: Because the tissue covering the torus is thin, it is susceptible to cuts or ulcers from sharp foods like chips or crusty bread.
  • Hygiene Difficulty: Large or irregular growths can trap food particles and bacteria, making it difficult to maintain proper oral hygiene in those specific areas.

If surgery is deemed necessary, it is a routine procedure known as a torectomy. This involves an oral surgeon or periodontist smoothing the bone to return the mouth to a more functional, comfortable surface for the patient.

Maintaining Oral Health with Tori

Living with a tori inside mouth does not require special medication, but it does require mindfulness regarding oral hygiene. Because these areas can have deep recesses or complex shapes, they may become plaque magnets. Using a soft-bristled toothbrush to gently clean around the base of the torus is recommended.

If you find that your oral hygiene routine is causing irritation or if you notice inflammation near the bony growth, consider using an alcohol-free antiseptic mouthwash to reduce bacterial load without drying out the sensitive tissue covering the bone. Regular dental cleanings are the best way to monitor the status of your oral health and ensure that the tori remain stable.

To wrap up this overview, it is important to remember that finding a bony growth in your mouth can be alarming, but in the majority of cases, it is a completely benign anatomical variation. The presence of a tori inside mouth is simply a feature of your unique dental anatomy. By staying informed, keeping up with regular dental check-ups, and practicing consistent oral hygiene, you can ensure that these growths remain a minor aspect of your health rather than a source of concern. If you are ever unsure about a new sensation or visual change in your mouth, your dentist remains the best resource for a definitive diagnosis and peace of mind.

Related Terms:

  • pictures of mandibular tori
  • mandibular tori in mouth
  • what causes tori in mouth
  • pictures of tori in mouth
  • early stage mandibular tori cancer
  • toroids in mouth