Cleve

Toxic Metabolic Encephalopathy

Toxic Metabolic Encephalopathy

The human brain is an incredibly resilient organ, yet it is profoundly sensitive to the chemical environment of the body. When systemic processes go awry—whether due to organ failure, drug interactions, or environmental exposure—the brain can experience a state of generalized dysfunction known as Toxic Metabolic Encephalopathy. This condition is not a primary disease of the brain itself but rather a secondary reaction to an external or systemic disturbance. Because it presents with a wide spectrum of symptoms ranging from mild confusion to deep coma, it is often a significant diagnostic challenge for medical professionals. Understanding the nuances of this condition is essential for recognizing the subtle warning signs that often precede more severe neurological decline.

Defining Toxic Metabolic Encephalopathy

At its core, Toxic Metabolic Encephalopathy (TME) refers to a clinical syndrome characterized by global cerebral dysfunction. Unlike a stroke or traumatic brain injury, which typically results in focal neurological deficits (such as weakness on one side of the body), TME usually manifests as a diffuse impairment. This means the symptoms affect the brain as a whole, leading to issues with consciousness, cognitive processing, and emotional regulation.

The term is split into two primary components: metabolic, referring to disruptions in the chemical balance of the body (such as kidney or liver dysfunction), and toxic, which points toward the presence of harmful substances—either exogenous (like medications or toxins) or endogenous (like metabolic byproducts that the body failed to clear). When the delicate chemical milieu required for healthy neuron function is disturbed, the resulting "metabolic storm" can lead to rapid neurological changes.

Common Etiologies and Underlying Causes

The causes of Toxic Metabolic Encephalopathy are vast and can often be categorized by the specific system that is failing to maintain internal homeostasis. Because the brain relies on a steady supply of oxygen, glucose, and a clear pathway for removing metabolic waste, any disruption here can be catastrophic.

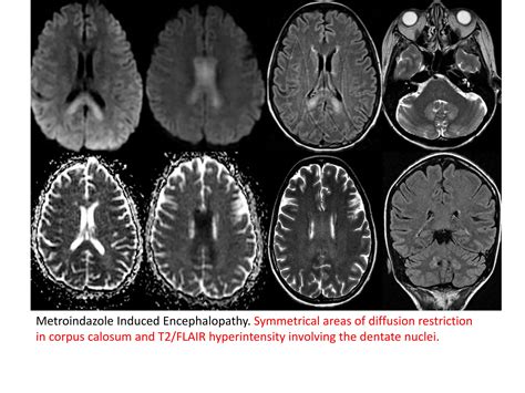
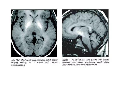
  • Organ Failure: Hepatic encephalopathy (liver failure) and uremic encephalopathy (kidney failure) are among the most common causes. In these cases, toxic substances that are usually processed by the liver or kidneys accumulate in the bloodstream and eventually cross the blood-brain barrier.
  • Endocrine Disturbances: Severe thyroid dysfunction, adrenal insufficiency, or extreme fluctuations in blood glucose levels (hypoglycemia or diabetic ketoacidosis) can trigger symptoms.
  • Exogenous Toxicity: The intake of certain drugs, polypharmacy interactions, illicit substances, or exposure to environmental toxins such as heavy metals or carbon monoxide can induce an encephalopathic state.
  • Electrolyte Imbalances: Severe hyponatremia (low sodium), hypercalcemia, or disturbances in potassium levels significantly alter neuronal membrane potential, disrupting signal transmission.

⚠️ Note: Polypharmacy, especially in elderly patients, is a leading, preventable cause of TME. Always review medication lists thoroughly when unexplained cognitive changes occur.

Clinical Presentation and Symptoms

The clinical progression of Toxic Metabolic Encephalopathy is often insidious. It frequently begins with subtle changes in personality or alertness before progressing to more overt neurological distress. Recognizing these stages early is critical for a positive patient outcome.

Stage Common Symptoms
Early Stage Mild confusion, irritability, anxiety, and difficulty concentrating.
Intermediate Stage Lethargy, disorganized speech, hallucinations, and sleep-wake cycle inversion.
Advanced Stage Stupor, unresponsive behavior, asterixis (flapping tremors), and coma.

A hallmark sign frequently observed by clinicians is asterixis, often referred to as "liver flap." This is a rapid, involuntary flapping motion of the hands when they are extended, indicating a metabolic disturbance in the brain's motor control centers.

Diagnostic Approach and Evaluation

Because the clinical presentation of Toxic Metabolic Encephalopathy mimics many other conditions—such as primary brain tumors, meningitis, or strokes—the diagnostic process is one of exclusion. Doctors must first rule out structural causes of brain dysfunction using imaging like CT or MRI scans.

Once structural causes are cleared, the focus shifts to blood and fluid analysis. Common investigations include:

  • Comprehensive Metabolic Panels: To check kidney function, liver enzymes, and electrolyte levels.
  • Toxicology Screens: To identify the presence of substances or medications that may be causing the neurotoxicity.
  • Ammonia Levels: Elevated levels are a strong indicator of hepatic-related encephalopathy.
  • Electroencephalogram (EEG): This is the "gold standard" diagnostic tool for TME, often showing characteristic "slowing" of electrical activity in the brain that confirms a diffuse metabolic process rather than a localized lesion.

Treatment Strategies and Management

The management of Toxic Metabolic Encephalopathy is inherently tied to the management of the underlying condition. There is no single "cure" for TME because the brain dysfunction is a symptom, not the root disease. Treatment usually involves three core pillars:

  1. Stabilization: Ensuring the patient has a clear airway, stable blood pressure, and adequate oxygenation.
  2. Correcting the Underlying Etiology: This might involve dialysis for kidney failure, administering lactulose to lower ammonia levels in liver failure, or adjusting medication dosages.
  3. Supportive Care: Ensuring adequate nutrition, fluid balance, and preventing complications like aspiration pneumonia or pressure ulcers while the patient is in a reduced state of consciousness.

💡 Note: The reversal of encephalopathy can sometimes be as rapid as the correction of the primary insult; however, if the brain has been exposed to toxins for an extended period, full cognitive recovery may take days or even weeks.

Prognosis and Long-term Considerations

The outlook for individuals suffering from Toxic Metabolic Encephalopathy depends almost entirely on how quickly the underlying trigger is addressed. In acute, treatable scenarios, patients can often return to their baseline cognitive function with no lasting damage. However, if the metabolic insult is severe or prolonged, there is a risk of secondary damage to the brain, which may manifest as persistent cognitive deficits or structural changes on follow-up imaging.

Family members and caregivers play a vital role in recovery. Monitoring for changes in sleep patterns, speech coherence, and mood can help clinicians gauge whether the treatment plan is effective or if further adjustments are required. As with many systemic illnesses, the collaborative effort between nephrologists, hepatologists, neurologists, and intensive care specialists is the best path toward stabilizing the patient's brain health.

The broader takeaway from this clinical overview is that the brain is a slave to the body’s internal chemistry. When we discuss Toxic Metabolic Encephalopathy, we are essentially looking at the brain’s way of signaling that the systemic environment has become inhospitable. By maintaining a high index of suspicion and investigating the potential for metabolic or toxic insults in the presence of unexplained altered mental status, medical professionals can significantly improve the speed and quality of care. The key to successful management rests on identifying the precipitating factor early, correcting the physiological deficit, and providing diligent supportive care to allow the brain the necessary time to heal. As we continue to advance our understanding of how systemic disease impacts neural integrity, our ability to mitigate these complex clinical scenarios will undoubtedly improve, leading to better outcomes for those facing this challenging neurological condition.

Related Terms:

  • toxic metabolic encephalopathy uptodate
  • toxic metabolic encephalopathy icd code
  • acute toxic metabolic encephalopathy
  • toxic metabolic encephalopathy treatment
  • what causes toxic metabolic encephalopathy
  • toxic metabolic encephalopathy radiology