Rp

Transient Ischemic Dilation

Transient Ischemic Dilation

In the complex field of nuclear cardiology, clinicians rely on sophisticated imaging techniques to evaluate myocardial perfusion and detect underlying heart disease. Among the various markers used during myocardial perfusion imaging (MPI), Transient Ischemic Dilation, commonly referred to as TID, stands out as a critical indicator of severe coronary artery disease. Understanding this phenomenon is essential for healthcare providers, as it often provides vital diagnostic information that might otherwise be overlooked in a standard visual interpretation of stress test results.

Understanding Transient Ischemic Dilation

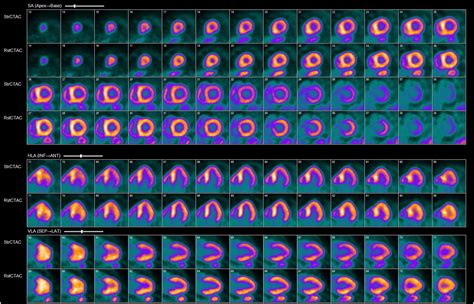
Transient Ischemic Dilation is defined as the apparent increase in the size of the left ventricular (LV) cavity on post-stress MPI images compared to rest images. This phenomenon is typically observed in patients undergoing either exercise or pharmacological stress testing. While the heart muscle does not actually change size in such a short window, the visual "stretching" or dilation effect is a surrogate marker for extensive, multi-vessel myocardial ischemia or severe left main coronary artery disease.

When the heart is subjected to stress, restricted blood flow in multiple coronary arteries leads to a widespread reduction in myocardial uptake of the radiotracer. This global subendocardial ischemia results in the apparent widening of the LV cavity when the stress images are compared to the rest images, where perfusion might appear more uniform. Recognizing Transient Ischemic Dilation is therefore a vital skill for cardiologists and radiologists, as it flags patients who are at a significantly higher risk for major adverse cardiac events.

The Clinical Significance of TID

The presence of TID is rarely an isolated finding. It is frequently associated with high-risk anatomical or functional heart conditions. Because the marker relies on a balance (or imbalance) of tracer uptake between the stress and rest phases, its sensitivity and specificity can vary depending on the patient's underlying comorbidities, such as diabetes or chronic hypertension.

Patients who present with a positive TID ratio should be evaluated for the following conditions:

  • Triple-vessel disease: Involvement of the right, left anterior descending, and circumflex coronary arteries.
  • Left main coronary artery stenosis: A life-threatening narrowing of the main vessel supplying the majority of the heart muscle.
  • Severe diffuse subendocardial ischemia: Widespread reduction in blood supply to the innermost layers of the heart.

How TID is Calculated

In clinical practice, the assessment of Transient Ischemic Dilation is often semi-automated through specialized software, though visual assessment remains a standard baseline. The calculation involves determining the ratio between the volume of the left ventricle under stress and the volume at rest.

Category Description
Normal Ratio Typically considered less than 1.12 to 1.20 (varies by lab protocol)
Abnormal TID Ratio significantly greater than the lab-specific threshold
Clinical Implication High probability of severe, multi-vessel obstructive coronary artery disease

💡 Note: TID ratios should always be interpreted in the context of the patient's total imaging profile, including visual wall motion abnormalities and the presence of any perfusion defects, to avoid false positives caused by technical artifacts.

Diagnostic Challenges and Technical Factors

While Transient Ischemic Dilation is a powerful diagnostic tool, it is not without its limitations. Several technical factors can mimic the appearance of TID, potentially leading to misinterpretation. These factors include:

  • Soft tissue attenuation: Diaphragmatic or breast tissue can interfere with the clarity of the inferior or anterior walls, respectively.
  • Tracer kinetics: The specific radiopharmaceutical used (e.g., Technetium-99m sestamibi vs. Thallium-201) can influence the appearance of the LV cavity.
  • Patient motion: Any movement during the scanning process can distort the reconstructed images, creating an artificial appearance of dilation.

Management Strategies Following a Positive Finding

When Transient Ischemic Dilation is identified, the immediate clinical priority is to assess the patient's hemodynamic stability and risk level. A positive finding usually dictates an escalation in care, moving away from simple medical management toward more definitive diagnostic interventions. The standard pathway typically involves:

  1. Coronary Angiography: Invasive visualization of the coronary arteries to determine the exact degree of stenosis.
  2. Revascularization Planning: Assessing the patient for interventions such as percutaneous coronary intervention (PCI) or coronary artery bypass grafting (CABG).
  3. Intensive Medical Therapy: Optimizing lipid-lowering agents, anti-platelet therapy, and blood pressure management to stabilize the patient while awaiting procedural intervention.

💡 Note: Always cross-reference the TID finding with the patient's symptoms during stress. A silent finding of TID in an asymptomatic patient is still considered a high-risk indicator and warrants urgent investigation.

Future Directions in Imaging

With the advent of PET (Positron Emission Tomography) and improved SPECT reconstruction algorithms, the accuracy of detecting Transient Ischemic Dilation continues to improve. Newer technologies allow for better attenuation correction and higher image resolution, which helps in distinguishing between true ischemia-driven dilation and technical noise. These advancements ensure that the sensitivity of MPI remains competitive against more invasive diagnostic modalities.

As we move toward a more personalized approach in cardiology, the integration of AI-driven image analysis is expected to further refine how we calculate and interpret TID. Automating this measurement reduces inter-observer variability, ensuring that patients receive consistent, evidence-based care regardless of where their imaging study is performed. This technological progression is crucial for the early detection of silent ischemia, which remains one of the primary drivers of cardiovascular mortality worldwide.

The diagnostic landscape for cardiovascular disease has been significantly enhanced by the recognition and standardized measurement of Transient Ischemic Dilation. As a reliable proxy for severe, diffuse myocardial ischemia, this marker serves as a vital safeguard for identifying high-risk patients who might otherwise appear to have manageable symptoms. By integrating this finding with clinical history and advanced imaging protocols, medical teams can effectively tailor interventions, prioritize invasive procedures for those most in need, and ultimately improve outcomes for patients with complex coronary disease. Continued awareness of the underlying mechanisms and potential pitfalls associated with this marker remains essential for maintaining the high standards of care expected in modern cardiology practice.

Related Terms:

  • transient ischemic dilation normal range
  • transient ischemic dilatation icd 10
  • transient ischemic dilation cutoff
  • transient ischemic dilation prognosis
  • transient ischemic dilation definition
  • transient ischemic dilatation treatment