Study

Transitional Epithelium Location

Transitional Epithelium Location

The human body is a marvel of biological engineering, composed of various tissue types that perform specialized functions to keep our systems running smoothly. Among these, epithelial tissues serve as the primary barriers, linings, and covering surfaces of organs and cavities. One of the most fascinating and adaptive types is the transitional epithelium, also known as urothelium. This tissue is uniquely designed to accommodate significant fluctuations in volume and pressure, making it indispensable for specific areas of the body. Understanding the transitional epithelium location is key to grasping how organs like the urinary bladder function under extreme physiological stress, such as when they transition from an empty state to a full capacity state.

The Structural Uniqueness of Transitional Epithelium

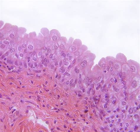
Unlike simple squamous or cuboidal tissues, the transitional epithelium is a specialized form of stratified epithelium. The term "transitional" is derived from its remarkable ability to change its appearance—or "transition"—based on the mechanical state of the organ it lines. When the organ is relaxed and empty, the cells appear cuboidal or columnar, piled in multiple layers. However, when the organ is distended and full, these cells flatten and slide over one another, effectively reducing the number of apparent layers and allowing the organ to stretch without rupturing or tearing.

Key features of this tissue include:

  • Multilayered Structure: It typically consists of five to seven layers of cells when the organ is empty.
  • Umbrella Cells: The surface layer consists of large, specialized cells known as "umbrella cells" or "dome cells," which act as a protective barrier against the osmotic pressure of urine.
  • Pliable Plasma Membranes: The cell membranes are folded in a way that allows them to unfold and stretch, contributing to the tissue's elasticity.

Understanding Transitional Epithelium Location

The primary transitional epithelium location is restricted exclusively to the urinary tract. Because its main function is to handle the storage and passage of urine—a substance that is often acidic and chemically hostile to other types of internal tissues—this epithelium acts as a vital protective shield. It prevents the toxic waste products in urine from leaking into the underlying tissues or bloodstream.

Specifically, you can find this tissue in the following anatomical structures:

  • Renal Pelvis: The funnel-like dilated part of the ureter in the kidney.
  • Ureters: The ducts through which urine passes from the kidneys to the bladder.
  • Urinary Bladder: The primary storage organ where the stretching capacity is most critical.
  • Proximal Urethra: The very beginning of the tube that carries urine out of the body.

⚠️ Note: While transitional epithelium is found throughout the lower urinary tract, it does not exist in the outer segments of the urethra or the collecting ducts of the kidney, which are lined by different epithelial types.

Comparison of Epithelial Tissues in the Urinary System

To better understand why the transitional epithelium location is so specific, it helps to compare it with other tissue types found in the body. The following table highlights how different tissues compare in function and form.

Tissue Type Typical Location Primary Function
Simple Squamous Alveoli of lungs, blood vessels Diffusion and filtration
Simple Cuboidal Kidney tubules Secretion and absorption
Transitional Bladder, Ureters Distension and barrier protection
Stratified Squamous Skin, esophagus Protection against abrasion

Why Location Dictates Function

The reason why the transitional epithelium location is confined to the urinary tract is evolutionary and functional. If the bladder were lined with a fragile, single-layered epithelium, the constant pressure of expanding urine would cause immediate cell death and potential systemic poisoning. By having a stratified tissue that can "transition" into a thinner layer as the bladder fills, the body protects the integrity of the organ walls.

The umbrella cells mentioned earlier are particularly important in this location. They contain special proteins called uroplakins. These proteins create a crystalline plaque on the cell surface, which renders the membrane impermeable to urine. If these cells were to lose this structural integrity—a condition sometimes seen in chronic inflammatory states or cancers—it would lead to significant physiological distress, such as interstitial cystitis or urinary leakage into the deeper tissues.

Clinical Significance and Research

Because the transitional epithelium location is linked directly to the urinary system, medical conditions involving this tissue are often referred to as "urothelial" diseases. Understanding the baseline histology of this tissue is essential for pathologists diagnosing conditions like urothelial carcinoma, a type of cancer that arises from these specific cells.

Researchers study these cells to understand:

  • Tissue Regeneration: How the urothelium repairs itself after damage from infections or stones.
  • Barrier Function: Investigating the molecular basis of the impermeable bladder wall.
  • Mechanical Signaling: How the cells sense the physical "stretch" and send signals to the nervous system indicating that the bladder is full.

💡 Note: Routine urine testing is often used to monitor the health of this epithelial lining, as cells from the urothelium are naturally shed into urine; the presence of abnormal cells can indicate underlying pathology.

The study of transitional epithelium reveals the intricate connection between anatomy and physiology. By pinpointing the transitional epithelium location, we gain a clearer picture of how the body manages the storage and elimination of liquid waste. Its unique structure, characterized by the ability to stretch and contract, exemplifies biological adaptation at its finest. From the kidneys to the base of the urethra, this robust tissue ensures that the urinary system remains both functional and protected throughout a lifetime of repetitive stress. Recognizing the role and placement of this tissue allows us to appreciate the complex design that maintains our internal homeostasis every single day.

Related Terms:

  • pseudostratified ciliated columnar epithelium
  • simple squamous epithelium location
  • stratified squamous epithelium location
  • transitional epithelium microscope
  • transitional epithelium labeled
  • pseudostratified ciliated columnar epithelium location