Cleve

Triangular Cartilage Injury

Triangular Cartilage Injury

A Triangular Cartilage Injury, more clinically referred to as a Triangular Fibrocartilage Complex (TFCC) injury, is a common yet frequently overlooked cause of chronic wrist pain. Situated on the pinky-finger side of the wrist, the TFCC is a vital structure comprised of cartilage and ligaments that acts as a stabilizer for the forearm bones and a cushion for the wrist joint. When this complex is torn, strained, or degenerated, it can significantly hinder daily activities, from gripping a coffee mug to typing on a keyboard. Understanding the anatomy, symptoms, and treatment pathways is essential for anyone experiencing persistent ulnar-sided wrist discomfort.

Understanding the Anatomy of the TFCC

Close up of a human wrist

To grasp the nature of a Triangular Cartilage Injury, one must understand the unique role the TFCC plays. It acts as a bridge between the distal radius and the ulna—the two bones of your forearm. This structure facilitates the smooth rotation of the forearm while supporting the small bones of the wrist.

The TFCC is composed of several key elements:

  • Articular Disc: The central portion of the complex that provides a smooth surface for the carpal bones.
  • Ligamentous attachments: These secure the structure to the surrounding bones, ensuring stability during movement.
  • Meniscus homolog: A supportive soft tissue structure on the outer edge of the wrist.

Because the TFCC is relatively avascular—meaning it has a limited blood supply—injuries to the central portion of the cartilage often heal poorly on their own. This makes early diagnosis and appropriate management critical to avoiding long-term functional loss.

Types and Causes of Triangular Cartilage Injury

Injuries to the TFCC generally fall into two distinct categories: traumatic tears and degenerative tears. Each type presents differently and requires a tailored approach to recovery.

Traumatic Tears

These occur due to a sudden force or specific accident. Common scenarios include:

  • Falling onto an outstretched hand (FOOSH), which forces the wrist into hyperextension.
  • Sudden, forceful rotation of the wrist, such as swinging a golf club or tennis racket.
  • High-impact sports injuries.

Degenerative Tears

Unlike sudden accidents, degenerative injuries develop over time. This is more common in older adults or those who perform repetitive motions. Factors contributing to these include:

  • Repetitive wrist rotation: Common in occupations involving machinery or intense manual labor.
  • Ulnar variance: A condition where the ulna bone is slightly longer than the radius, leading to chronic compression of the TFCC.
  • Natural aging: The gradual thinning and weakening of cartilage throughout the body.

Recognizing the Symptoms

If you suspect a Triangular Cartilage Injury, you should pay attention to localized pain and mechanical symptoms. The most common indicators include:

  • Pain localized to the ulnar side (the pinky side) of the wrist.
  • Pain that worsens with twisting movements, such as opening a doorknob or using a screwdriver.
  • A clicking, popping, or grinding sensation during wrist movement.
  • Weakness in the wrist, specifically when trying to lift objects or push off a chair.
  • Swelling and tenderness along the joint space.

Diagnostic Process

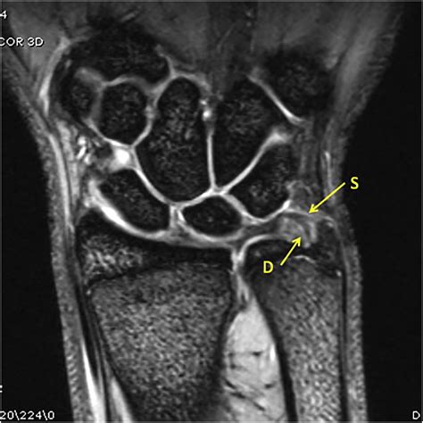
Diagnosing a TFCC tear involves a combination of a physical examination and imaging studies. A doctor will typically perform the TFCC Load Test, where they compress the wrist while rotating it to see if it reproduces pain. Because X-rays do not show soft tissue, they are often used to rule out fractures. For a definitive diagnosis, an MRI (Magnetic Resonance Imaging) is the gold standard, as it provides a clear view of the cartilage and ligaments.

Diagnostic Method Purpose
Physical Exam Checks for tenderness and range of motion.
X-Ray Rules out fractures or bone alignment issues.
MRI Visualizes the tear within the cartilage complex.
Arthroscopy Minimally invasive camera procedure for confirmation.

Treatment and Rehabilitation Strategies

The roadmap for healing a Triangular Cartilage Injury usually begins conservatively. Most patients do not require immediate surgery, especially if the injury is mild.

Non-Surgical Management

  • Rest and Immobilization: Using a splint or brace for 4–6 weeks to keep the wrist stable.
  • Anti-inflammatory Medications: Non-steroidal anti-inflammatory drugs (NSAIDs) to manage pain and swelling.
  • Physical Therapy: Guided exercises to improve wrist stability and strengthen the muscles surrounding the joint.
  • Corticosteroid Injections: Sometimes used to reduce inflammation in the acute phase.

Surgical Intervention

If conservative measures fail to alleviate symptoms after 3–6 months, or if the tear is extensive, surgical repair may be necessary. Modern orthopedic techniques allow surgeons to repair the tear using wrist arthroscopy, a minimally invasive procedure involving tiny incisions and a camera.

💡 Note: Always consult with a board-certified hand surgeon before considering surgery. Post-operative rehabilitation is just as critical as the surgery itself for regaining full functionality.

Prevention and Long-Term Care

Preventing a recurrence involves modifying how you load your wrist. For those in high-risk professions or sports, wearing a protective wrist wrap can provide the external stability needed to prevent over-rotation. Maintaining flexibility in the forearm muscles and ensuring your workstation is ergonomically adjusted are also effective strategies for long-term health.

Managing a Triangular Cartilage Injury requires patience and consistency. While the healing process for connective tissue can be slow, most individuals regain significant function and relief by following a structured recovery plan. By identifying the root cause of your pain—whether it is an acute athletic injury or a gradual degenerative process—you can work with healthcare professionals to implement the right combination of rest, therapy, and, if needed, surgical repair to return to your daily activities pain-free.

Related Terms:

  • TFCC Wrist Injury
  • Triangular Cartilage Wrist
  • Wrist Triangular Fibrocartilage
  • Exercises for TFCC Injury
  • TFCC Sprain
  • Triangular Fibrocartilage Disc