Cleve

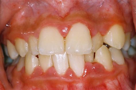
Types Of Gum Disease

Types Of Gum Disease

Maintaining optimal oral health extends far beyond simply brushing and flossing for a bright smile. One of the most critical aspects of dental wellness is understanding the integrity of your gums, as they serve as the foundation for your teeth. Unfortunately, many individuals overlook the early warning signs of periodontal issues until they become painful or severe. By familiarizing yourself with the different types of gum disease, you can take proactive steps to prevent long-term damage, tooth loss, and potential systemic health complications. Gum disease, medically known as periodontal disease, is essentially an infection of the tissues that surround and support your teeth. It is primarily caused by the buildup of plaque—a sticky film of bacteria—that hardens into tartar if not removed through consistent oral hygiene.

The Spectrum of Periodontal Conditions

Periodontal disease is not a single condition but rather a spectrum of inflammatory responses that range from mild irritation to severe tissue destruction. The journey usually begins with poor oral hygiene, which allows bacteria to thrive. As these bacteria colonize, they trigger an immune response, leading to inflammation. Recognizing the specific types of gum disease is the first step toward effective treatment and management. While categorized by severity, they are all linked by one common factor: the necessity of prompt professional dental intervention to stop the progression.

The progression generally moves from reversible conditions to irreversible, chronic states if left unaddressed. Below is a breakdown of the primary classifications:

  • Gingivitis: The mildest and most common form of gum disease.
  • Chronic Periodontitis: The most prevalent form of the disease in adults.
  • Aggressive Periodontitis: A rapid-progressing form often affecting younger individuals.
  • Necrotizing Periodontal Disease: A severe, painful infection associated with tissue death.

Understanding Gingivitis: The Reversible Stage

Gingivitis is the earliest stage of periodontal disease and is highly reversible with proper care. It occurs when plaque accumulates along the gumline, causing the gingiva (gums) to become inflamed, red, and swollen. A hallmark sign of gingivitis is bleeding during brushing or flossing.

Because gingivitis does not typically cause pain in its early stages, many people ignore these symptoms, thinking they are normal. However, if left untreated, it progresses into more dangerous types of gum disease that can affect the bone and underlying support structures of the teeth. Fortunately, professional dental cleaning, combined with improved daily brushing and flossing, can usually reverse gingivitis entirely.

💡 Note: Consistent dental check-ups are essential because professional tools can remove hardened tartar that your toothbrush and floss cannot reach.

Chronic Periodontitis: The Long-Term Challenge

When gingivitis is ignored, it may progress into chronic periodontitis. This stage is characterized by deep pockets forming between the gums and the teeth, where bacteria become trapped and multiply, leading to further inflammation and infection. Over time, this chronic inflammation causes the body to break down the very bone and connective tissue meant to hold your teeth in place.

Unlike gingivitis, chronic periodontitis is not reversible, though it can be successfully managed. The primary goal of treatment is to halt the progression of the disease to prevent further loss of tooth support. Treatment plans often involve deep cleaning procedures known as scaling and root planing, which remove bacteria and smooth the tooth roots to help the gums reattach.

Stage Key Characteristics Reversibility
Gingivitis Inflammation, redness, bleeding High
Chronic Periodontitis Pockets, bone loss, receding gums Low (Manageable)
Aggressive Periodontitis Rapid attachment loss, genetic factor Low (Requires specialized care)

Aggressive Periodontitis

Aggressive periodontitis is a more intense form of the disease that often presents in patients who are otherwise healthy. It is distinguished by rapid destruction of the periodontal ligament and alveolar bone. While its exact cause is not fully understood, it is widely believed to have a significant genetic component, meaning it may run in families.

Because of its rapid progression, early diagnosis is critical. If you notice your teeth feeling loose, significant changes in your bite, or persistent bad breath that does not improve, it is vital to see a periodontist immediately. Specialized treatments, including antibiotic therapy or surgical intervention, are often required to manage this condition effectively.

Necrotizing Periodontal Disease

Necrotizing periodontal disease is perhaps the most severe and distressing of all types of gum disease. It is characterized by the death of gum tissue, periodontal ligaments, and alveolar bone. This condition is often associated with high levels of stress, smoking, malnutrition, or immune system suppression.

Symptoms include severe pain, bleeding, and the development of ulcerations in the gum tissue between the teeth. It requires immediate, aggressive treatment, often involving a combination of professional debridement, specialized oral rinses, and systemic antibiotics to combat the infection and prevent it from spreading.

Proactive Strategies for Prevention

The best way to deal with any of the types of gum disease is to prevent them from occurring in the first place. Oral hygiene is the cornerstone of prevention. Brushing at least twice a day with fluoride toothpaste and flossing daily are non-negotiable habits for maintaining healthy gums.

Additionally, lifestyle factors play a significant role. Smoking is one of the most significant risk factors for developing severe periodontal disease and can make treatment significantly less effective. Maintaining a balanced diet and managing systemic health conditions, such as diabetes, can also drastically lower your risk profile. Finally, regular dental visits allow your dentist to monitor the health of your gums and intervene at the earliest sign of trouble, long before severe damage occurs.

💡 Note: If you notice persistent changes in your oral health, such as gums that bleed easily, constant bad breath, or teeth that appear longer due to receding gums, do not wait for your next routine check-up; schedule an appointment with your dentist promptly.

Recognizing the various types of gum disease empowers you to take control of your oral health before minor inflammation evolves into a serious condition. From the reversible nature of gingivitis to the more complex management required for chronic or aggressive periodontitis, your gums serve as a vital indicator of your overall well-being. By prioritizing consistent daily hygiene, avoiding risk factors like smoking, and maintaining regular professional dental care, you can effectively protect your smile and prevent the long-term consequences associated with periodontal infections. Remember that the health of your gums is inextricably linked to the health of your teeth and your entire body, making diligent care a lifelong investment.

Related Terms:

  • problems with teeth and gums
  • types of gum disease names
  • medical condition that affects gums
  • 10 types of gum diseases
  • names of gum disease
  • types of gums in adults