Rp

Ulnar Coronoid Process

Ulnar Coronoid Process

The ulnar coronoid process is a small but critical bony projection located on the proximal ulna, which is one of the two primary bones in the forearm. While it may seem like a minor anatomical feature to the casual observer, it plays a massive role in the stability and function of the elbow joint. Acting as a vital anchor point for ligaments and muscles, the ulnar coronoid process ensures that the elbow remains aligned during movement, especially when the arm is subjected to various stresses. Understanding its anatomy, function, and the clinical implications of its injury is essential for anyone interested in orthopedic health, physiotherapy, or sports medicine.

Anatomy of the Ulnar Coronoid Process

To truly grasp the significance of the ulnar coronoid process, one must first understand its structural position. The ulna is the bone on the medial side of the forearm (the side of the little finger). The proximal end of the ulna features a large notch known as the trochlear notch, which articulates with the trochlea of the humerus. The ulnar coronoid process forms the anterior (front) part of this notch.

This structure is triangular in shape and provides a stable surface for the elbow joint to pivot around. Because of its location, it acts as a physical barrier that prevents posterior (backward) displacement of the ulna relative to the humerus. If this structure is damaged, the entire joint becomes significantly more prone to dislocation or instability.

Key Functional Roles

The primary responsibility of the ulnar coronoid process is to provide anterior stability to the elbow. When the elbow is flexed, this bony process helps lock the ulna in place, preventing it from sliding backward. Furthermore, it serves as a critical attachment point for several important structures, including:

  • The Anterior Bundle of the Medial Collateral Ligament (AMCL): This is the main stabilizer of the elbow against valgus stress (forces that push the elbow inward).
  • The Brachialis Muscle: The largest flexor of the elbow attaches to this process, allowing for powerful bending movements of the arm.
  • The Joint Capsule: The coronoid process helps anchor the fibrous capsule that surrounds and protects the elbow joint.

Without the integrity of the ulnar coronoid process, the elbow loses its ability to handle rotational and shearing forces, which are common in many daily activities and athletic endeavors.

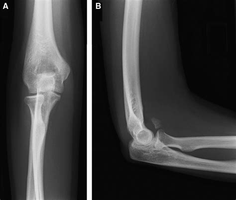
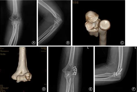
Classification of Coronoid Fractures

Because the ulnar coronoid process is so integral to joint stability, fractures in this area are considered serious. Clinicians typically use the O’Driscoll classification system to categorize these fractures based on the size of the fragment and the impact on joint stability. Below is a simplified breakdown of these categories:

Classification Description Clinical Significance
Type I (Tip) Small fracture involving the very tip of the process. Generally stable, but often associated with dislocation.
Type II (Anteromedial) Involves the medial facet, which is crucial for structural support. Highly unstable; usually requires surgical fixation.
Type III (Basal) Fracture involves the base of the coronoid process. Severe; often associated with complex elbow dislocations.

💡 Note: Early diagnosis of these fractures is vital, as chronic instability can lead to long-term joint degradation and arthritis.

Clinical Presentation and Symptoms

When the ulnar coronoid process is injured, patients rarely complain of "coronoid pain" specifically. Instead, they present with generalized symptoms related to the elbow complex. Common indicators that something may be wrong include:

  • Acute pain following a fall or trauma to the elbow.
  • Visible swelling or bruising around the medial aspect of the elbow.
  • A sensation of "catching" or "locking" when moving the arm.
  • Decreased range of motion, particularly when trying to fully extend or flex the elbow.
  • A feeling of instability, as if the arm is "giving way" during simple tasks like lifting a cup.

If you experience these symptoms following an impact to the arm, it is important to seek medical imaging, such as an X-ray or CT scan, to assess the integrity of the ulnar coronoid process.

Diagnostic and Treatment Approaches

Diagnosis usually begins with a physical examination to test the stability of the elbow. However, because the coronoid is tucked deep within the joint, traditional X-rays may miss subtle fractures. A CT scan is often the gold standard for providing a 3D reconstruction of the ulnar coronoid process, allowing surgeons to see the exact size and orientation of a fracture fragment.

Treatment paths depend largely on the severity of the injury:

  1. Conservative Management: For minor, non-displaced tip fractures, immobilization in a splint followed by progressive physical therapy is usually sufficient.
  2. Surgical Fixation: If the fracture is large or causes significant joint instability (often referred to as the "terrible triad" of the elbow), surgery is required. This involves using plates, screws, or sutures to restore the bone's anatomy and reattach ligaments.
  3. Rehabilitation: Post-surgical care focuses on regaining range of motion while protecting the healing bone. This involves controlled exercises that prevent the joint from becoming overly stiff (ankylosis).

💡 Note: Physical therapy should never be rushed; following a structured protocol is essential to ensure the ulnar coronoid process heals in the correct position without excessive scar tissue formation.

Preventing Long-term Complications

The long-term health of the elbow depends on how well the ulnar coronoid process is managed post-injury. Failure to address stability issues can lead to post-traumatic arthritis. During recovery, patients are often advised to engage in isometric strengthening exercises for the biceps and triceps to support the joint without placing undue stress on the coronoid fragment. Maintaining proper ergonomics at work and using protective gear during high-impact sports can significantly reduce the risk of recurring trauma to this delicate area.

The ulnar coronoid process represents the hidden complexity of the human skeletal system, where a seemingly small bony projection acts as a linchpin for major movement and structural integrity. Whether dealing with a traumatic fracture or simply learning about the mechanics of the arm, understanding this component of the ulna highlights how interconnected our anatomy truly is. Proper recognition of its role, timely intervention in the event of injury, and dedicated rehabilitation are the pillars of ensuring a functional, pain-free elbow. By respecting the anatomical constraints of the elbow and seeking professional orthopedic guidance when pain persists, individuals can protect the long-term health of their joints and maintain their quality of life.

Related Terms:

  • coronoid process of right ulna
  • ulnar coronoid process radiology
  • what inserts on coronoid process
  • ulnar coronoid process fracture splint
  • coronoid process of left ulna
  • where is coronoid process located