Rp

Ulnar Impaction Syndrome

Ulnar Impaction Syndrome

Wrist pain is a common complaint, but when the discomfort is localized to the pinky side of your hand and worsens with twisting or gripping, you might be dealing with a condition known as Ulnar Impaction Syndrome. Also referred to as ulnar-sided wrist pain, this condition occurs when there is an abnormal or excessive loading of the ulnar side of the wrist. Understanding the anatomy, symptoms, and treatment options is crucial for anyone struggling with chronic wrist issues, as early intervention can prevent long-term damage to the delicate structures of your hand and forearm.

What Exactly Is Ulnar Impaction Syndrome?

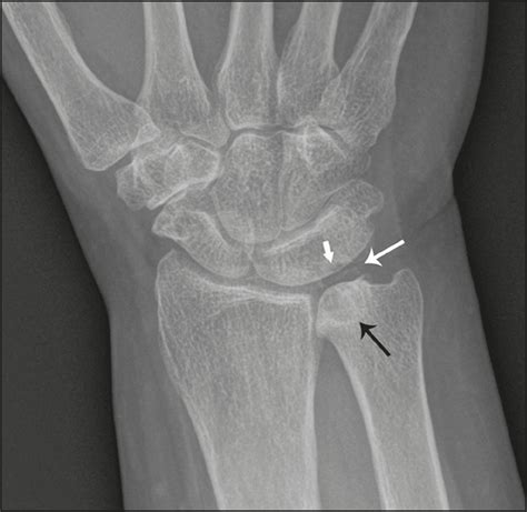
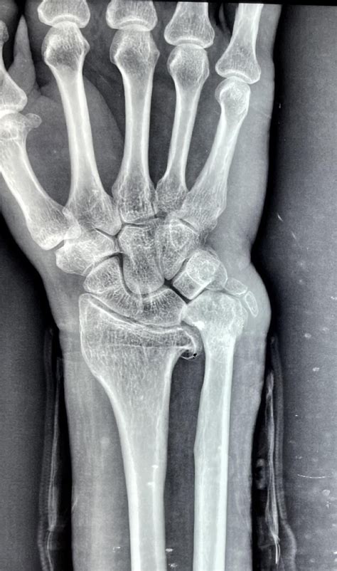
At its core, Ulnar Impaction Syndrome is a degenerative condition characterized by the mechanical abutment of the distal ulna—the bone on the pinky side of your forearm—against the bones in the wrist (specifically the lunate and triquetrum) and the triangular fibrocartilage complex (TFCC). In a healthy wrist, the radius and ulna work in harmony to support the carpal bones. However, if the ulna is relatively longer than the radius, a condition called “ulna positive variance,” it creates a crowded space that leads to repetitive grinding, cartilage wear, and ligament tears.

This condition is often exacerbated by activities that require repetitive wrist rotation or ulnar deviation, such as using a screwdriver, playing golf, or even repetitive typing. Over time, the constant pressure causes the TFCC—the shock absorber of your wrist—to thin and eventually tear, leading to localized inflammation and bone damage.

Recognizing the Symptoms

The primary symptom of Ulnar Impaction Syndrome is pain on the ulnar side of the wrist. Patients often describe the pain as a dull ache that sharpens during specific movements. Key indicators include:

  • Localized tenderness: Pain specifically in the “soft spot” just below the ulnar head.
  • Pain with rotation: Significant discomfort when twisting the forearm, such as turning a doorknob or using a wrench.
  • Weight-bearing difficulty: Pain when pushing yourself up from a chair or lifting objects with the palm down.
  • Clicking or popping: A mechanical sensation inside the wrist, often signaling a tear in the TFCC.
  • Swelling: Recurrent puffiness around the ulnar head, especially after activity.

Risk Factors and Causes

While some individuals are born with a longer ulna (congenital variance), others develop the condition due to trauma or lifestyle factors. Understanding the root cause is essential for determining the right course of action. Common factors include:

Category Description
Congenital Anatomical variance where the ulna is naturally longer than the radius.
Traumatic Previous distal radius fractures that healed with slight shortening.
Repetitive Strain Occupational or athletic overuse involving constant wrist loading.
Age-related General thinning of the TFCC cartilage over time, allowing the bones to impact.

Diagnosis and Clinical Evaluation

Diagnosing Ulnar Impaction Syndrome requires a thorough physical examination combined with imaging studies. A healthcare professional will typically perform a “fovea sign” test, where pressure is applied to the soft area between the ulnar styloid and the flexor carpi ulnaris tendon. If this reproduces your pain, it is a strong clinical indicator.

Imaging is equally vital. Standard X-rays, particularly those taken in a neutral position, help clinicians measure the ulnar variance. In more complex cases, an MRI is ordered to evaluate the extent of TFCC damage, cartilage wear on the lunate, or subchondral bone edema, which is the "bruising" of the bone caused by persistent impaction.

⚠️ Note: Always seek a professional diagnosis. Chronic wrist pain can mimic other conditions such as ECU tendonitis or distal radioulnar joint (DRUJ) instability, which require different treatment protocols.

Management and Treatment Strategies

The treatment approach for Ulnar Impaction Syndrome typically begins conservatively before moving toward surgical intervention. For many, non-invasive methods provide significant relief.

Conservative Treatment

  • Activity Modification: Avoiding tasks that involve extreme wrist rotation or heavy lifting is the first step.
  • Splinting: Wearing a custom or over-the-counter wrist brace that prevents extreme ulnar deviation can offload the pressure.
  • Physical Therapy: Strengthening the muscles around the wrist and improving forearm stability can help redistribute the forces acting on the joint.
  • NSAIDs: Anti-inflammatory medications may help manage acute flares of pain.

Surgical Intervention

When conservative measures fail to provide relief after several months, surgical options may be considered. The goal of surgery is to decompress the ulnar side of the wrist. Common procedures include:

  • Ulnar Shortening Osteotomy: A procedure where a small section of the ulna bone is removed, and the bone is fixed back together with a plate and screws to shorten it, effectively creating more space in the wrist.
  • Wafer Procedure: An arthroscopic method where the end of the ulna is partially shaved down to reduce impaction.
  • TFCC Debridement/Repair: If the cartilage is damaged, the surgeon may trim away frayed edges or repair the tear to restore stability.

Recovery and Long-Term Outlook

The recovery timeline varies significantly based on the severity of the condition and the intervention chosen. Following surgery, patients are typically placed in a cast or splint for several weeks, followed by a rigorous physical therapy program. Most individuals return to normal activities within three to six months. The long-term prognosis is generally positive, provided that the patient adheres to post-operative restrictions and gradually reintroduces load to the wrist.

It is important to remember that your wrist health is a lifelong endeavor. Even after successful treatment, individuals prone to Ulnar Impaction Syndrome should prioritize wrist ergonomics at work, use supportive braces during high-impact sports, and perform regular mobility exercises to maintain joint health. By staying proactive, you can mitigate the risk of further degeneration and maintain optimal function in your hand and forearm for years to come.

Managing this condition requires patience and a systematic approach, starting with symptom identification and moving toward the appropriate clinical interventions. Because the wrist is a highly complex joint, dismissing persistent discomfort as a simple strain can lead to unnecessary long-term damage. Whether you find relief through ergonomic adjustments and specialized bracing or require surgical correction to resolve mechanical misalignment, understanding your unique anatomy is the first step toward recovery. By prioritizing professional guidance and following a structured rehabilitation plan, you can effectively alleviate the pain associated with this syndrome and return to your daily routines with confidence and improved wrist function.

Related Terms:

  • ulnar impaction syndrome orthobullets
  • ulnar impaction syndrome treatment
  • ulnar positive variance
  • ulnar impaction syndrome radiology
  • ulnar shortening osteotomy
  • ulnar impaction syndrome icd 10