Uci

Urethral Diverticulum

Urethral Diverticulum

A Urethral Diverticulum is a condition that, while relatively uncommon, can significantly impact a patient’s quality of life if left undiagnosed or untreated. It is essentially an outpouching or a sac-like structure that develops in the wall of the urethra—the tube that carries urine from the bladder out of the body. Because the symptoms often mimic other, more common urinary issues like chronic urinary tract infections or overactive bladder, many individuals struggle with discomfort for years before receiving an accurate diagnosis. Understanding the nature, symptoms, and treatment options for this condition is the first step toward finding relief and restoring urinary health.

Understanding the Anatomy and Causes

To grasp what a Urethral Diverticulum is, it helps to visualize the urethra. In women, the urethra is short and located in close proximity to the vagina. This pouch develops when a gland connected to the urethra (often the Skene's glands) becomes obstructed, infected, or damaged. Over time, the gland expands, forming a cystic cavity that communicates directly with the urethral lumen.

While the exact cause isn't always clear, several factors may contribute to its formation, including:

  • Recurrent infections: Chronic inflammation of the periurethral glands can lead to blockage.
  • Childbirth trauma: Physical stress during labor can sometimes injure the tissues surrounding the urethra.
  • Previous pelvic surgeries: Procedures in the vaginal or urethral area may lead to scarring or structural changes.
  • Congenital factors: Though rarer, some individuals may be born with a predisposition to these structural weaknesses.

Recognizing Common Symptoms

The clinical presentation of a Urethral Diverticulum is often described by the "3 Ds": dysuria (painful urination), dribbling (post-void dribbling), and dyspareunia (painful intercourse). Because these symptoms overlap with common gynecological and urological issues, patients are frequently misdiagnosed. If you notice a persistent, tender mass under the urethra or experience constant, unexplained pelvic pain, it is vital to consult a specialist.

Additional symptoms may include:

  • Recurrent urinary tract infections (UTIs) that do not respond well to standard antibiotics.
  • A sensation of fullness or a "bulge" in the vaginal area.
  • Urgency or frequency of urination.
  • Hematuria (blood in the urine).

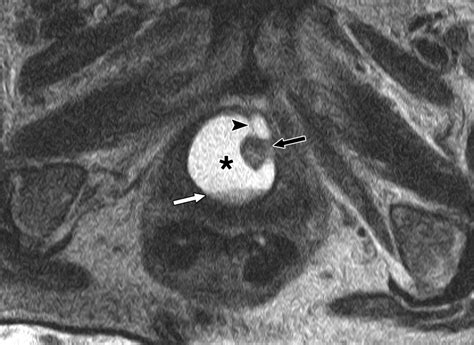
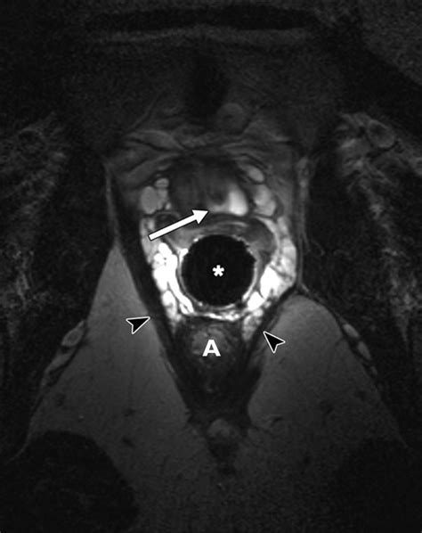
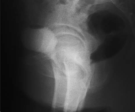
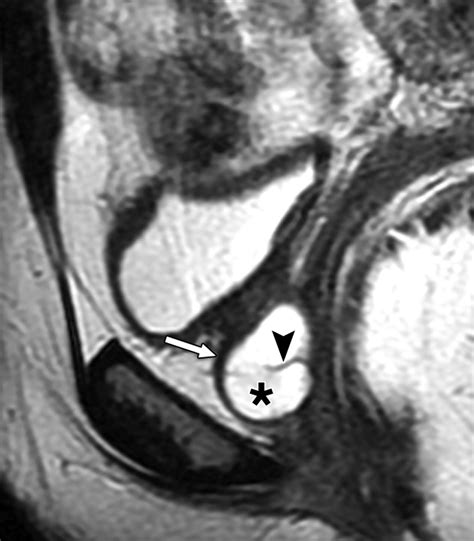
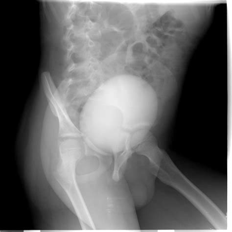
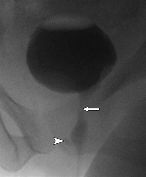
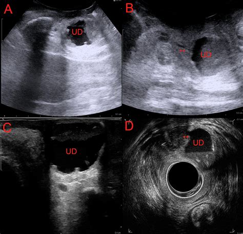
Diagnostic Procedures

Diagnosis requires a high index of suspicion, especially when standard treatments for UTIs fail. A physician will typically perform a physical exam, which may reveal a tender mass along the anterior vaginal wall. If pressure is applied to the mass, it is not uncommon for a small amount of urine or purulent discharge to exit the urethra.

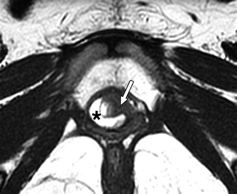
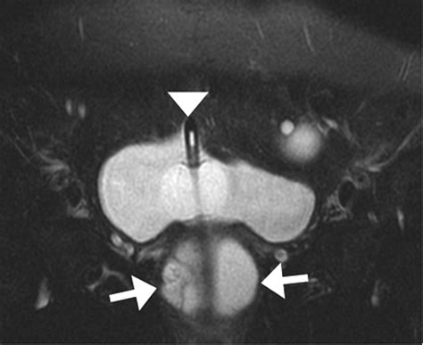
Diagnostic Tool Purpose
MRI (Magnetic Resonance Imaging) The gold standard for visualizing the size and location of the diverticulum.
Voiding Cystourethrogram (VCUG) Uses contrast dye to see if the pouch fills during urination.
Urethroscopy Direct visualization of the urethra using a thin camera to locate the diverticular opening.

⚠️ Note: Always discuss the specific risks of contrast dyes used in imaging tests with your healthcare provider, particularly if you have a history of kidney disease or severe allergies.

Treatment Approaches

When a Urethral Diverticulum is symptomatic, surgical intervention is almost always the recommended course of action. Because these pouches act as reservoirs for bacteria, they rarely resolve on their own and can lead to complications such as stone formation, abscesses, or even rare cases of urethral cancer if left untreated for long periods.

The primary surgical goal is the complete excision of the diverticulum and the reconstruction of the urethral wall. Approaches include:

  • Transvaginal Diverticulectomy: The most common approach, where the surgeon accesses the pouch through an incision in the vaginal wall.
  • Layered Closure: After removing the sac, the urethral and vaginal tissues are closed in separate layers to prevent the formation of a fistula.
  • Post-operative Catheterization: A catheter is usually left in place for several days or weeks to allow the surgical site to heal without the pressure of normal urination.

Post-Operative Care and Recovery

Recovery involves patience and careful adherence to medical advice. Patients are typically advised to avoid strenuous activity, heavy lifting, and sexual intercourse for several weeks while the tissue heals. It is also common to experience some mild discomfort or bladder spasms during the initial healing phase, which can usually be managed with prescribed medications.

Regular follow-ups are essential to ensure the urethra has healed correctly and that there is no evidence of recurrence. Successful surgery significantly improves the quality of life, effectively ending the cycle of pain and chronic infections that many patients suffer from for years.

💡 Note: Pelvic floor physical therapy is often recommended after the initial surgical recovery period to help strengthen the muscles surrounding the urethra and restore normal urinary function.

Preventing Complications

While you cannot always prevent the development of a Urethral Diverticulum, maintaining good pelvic health is beneficial. This includes practicing good hygiene, addressing recurrent UTIs promptly with a healthcare professional rather than relying solely on over-the-counter remedies, and ensuring that any pelvic surgeries are performed by experienced specialists. Staying informed about your own health and seeking a second opinion if your symptoms persist despite treatment are the most effective ways to manage this condition.

Ultimately, while a Urethral Diverticulum can be a source of significant distress, it is a manageable condition. The key to successful resolution lies in early recognition and specialized care. By working closely with urologists who are experienced in reconstructive pelvic surgery, patients can effectively treat the underlying anatomy and regain their comfort. If you suspect you may be dealing with this condition, do not hesitate to seek a formal diagnosis; identifying the root cause is the most empowering step you can take toward long-term urinary wellness and peace of mind.

Related Terms:

  • urethral diverticulum treatment
  • what causes urethral diverticulum female
  • diverticulum urethral female
  • urethral diverticulum meaning
  • urethral diverticulum on physical exam
  • urethral diverticulum in males