Rp

Urinary Bladder Diverticulum

Urinary Bladder Diverticulum

A Urinary Bladder Diverticulum is a condition characterized by an outpouching or a herniation of the bladder wall through the muscular layer of the bladder (the detrusor muscle). While some individuals may remain asymptomatic throughout their lives, others may face significant complications ranging from recurrent urinary tract infections to bladder outlet obstruction. Understanding the underlying mechanics, potential symptoms, and available treatment options is crucial for anyone navigating this diagnosis or seeking more information about urological health.

Understanding the Causes of Urinary Bladder Diverticulum

The development of a Urinary Bladder Diverticulum is generally classified into two categories: congenital and acquired. Understanding the origin of the condition often guides the management strategy.

  • Congenital Diverticula: These occur due to a weakness in the bladder wall present from birth. They are often solitary and are more frequently diagnosed in pediatric patients, though they may persist into adulthood.
  • Acquired Diverticula: These are far more common in adults and are typically the result of increased pressure within the bladder. This pressure is often caused by chronic bladder outlet obstruction (BOO), commonly due to an enlarged prostate (Benign Prostatic Hyperplasia or BPH) or strictures.

When the bladder muscle struggles to push urine against an obstruction, the pressure causes the mucosal lining of the bladder to push through gaps in the muscle fibers, creating these balloon-like pouches.

Common Symptoms and Clinical Presentation

Many patients with a Urinary Bladder Diverticulum do not experience specific symptoms directly linked to the pouch itself. Instead, symptoms often arise from complications caused by the diverticulum or the underlying condition that created it. Common indicators include:

  • Recurrent Urinary Tract Infections (UTIs): Because the diverticulum often does not empty properly, stagnant urine becomes a breeding ground for bacteria.
  • Difficulty Urinating: Symptoms such as a weak urinary stream, hesitancy, or the feeling of incomplete emptying.
  • "Double-Voiding": This is a classic symptom where the patient urinates, waits a few moments, and then passes more urine as the diverticulum finally drains into the bladder.
  • Hematuria: Blood in the urine, which may result from infection, stone formation within the diverticulum, or even malignancy.

Diagnostic Procedures

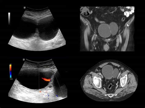
Diagnosing a Urinary Bladder Diverticulum requires imaging to visualize the bladder structure. Urologists typically utilize a combination of the following methods:

Diagnostic Test Purpose
Cystogram (Voiding Cystourethrogram) Uses contrast dye and X-rays to see the shape of the bladder while filling and emptying.
Ultrasound Non-invasive method to visualize the presence and size of the diverticulum.
Cystoscopy A camera is inserted into the bladder to inspect the bladder lining and the neck of the diverticulum.
CT Urography Provides detailed images to rule out stones or tumors within the pouch.

⚠️ Note: It is essential to consult with a urologist to determine which diagnostic test is appropriate for your specific case, as each has different sensitivities regarding the detection of bladder wall abnormalities.

Treatment and Management Strategies

The management of a Urinary Bladder Diverticulum is highly individualized. If the diverticulum is small and asymptomatic, doctors often opt for "watchful waiting." However, if the pouch causes recurring infections, stones, or obstruction, active intervention becomes necessary.

Conservative Management

For patients who are poor surgical candidates or have minor symptoms, management focuses on treating the underlying cause, such as managing BPH with medication to reduce bladder pressure. Frequent monitoring via ultrasound is usually recommended to ensure the diverticulum is not increasing in size.

Surgical Intervention

Surgery is indicated when the diverticulum is large, symptomatic, or poses a risk of malignancy. The primary surgical options include:

  • Diverticulectomy: The surgical removal of the diverticulum. This can be performed via open surgery, laparoscopic approach, or robotic-assisted surgery.
  • Transurethral Diverticular Resection: A minimally invasive approach where the neck of the diverticulum is widened to allow it to empty more effectively into the bladder.

Complications and Long-term Outlook

If left unmonitored, a Urinary Bladder Diverticulum can lead to serious health issues. The most significant risks involve the formation of bladder stones due to urine stasis and an increased risk of bladder cancer. The stagnant environment inside the pouch can lead to chronic inflammation, which over time may predispose the tissue to malignant changes. Because of this, long-term follow-up is critical for patients diagnosed with large or symptomatic diverticula.

💡 Note: Always report new symptoms, such as persistent blood in the urine or sudden changes in urinary habits, to your healthcare provider immediately to rule out secondary complications.

Living with Bladder Health Considerations

Maintaining bladder health is vital when dealing with structural bladder abnormalities. Staying adequately hydrated helps dilute urine and reduce the risk of infection. Furthermore, pelvic floor exercises and maintaining a healthy prostate (in men) can go a long way in managing the pressure dynamics of the bladder. Patients should adhere to their follow-up schedule as determined by their urologist, as routine imaging is the best way to prevent the progression of the condition.

Addressing a Urinary Bladder Diverticulum effectively begins with recognizing the signs early and working closely with a medical professional to establish a management plan that minimizes risk. While the presence of a pouch in the bladder wall may sound daunting, modern surgical techniques and careful observation have made the prognosis excellent for the vast majority of patients. By focusing on mitigating the underlying pressure issues, managing the risk of infection, and undergoing periodic diagnostic checks, most individuals can maintain a high quality of life without significant disruption to their daily routines. Always prioritize professional medical advice when navigating symptoms of the urinary tract, as early intervention remains the cornerstone of urological health.

Related Terms:

  • management of bladder diverticulum
  • bladder diverticulum mayo clinic
  • bladder wall outpouching
  • how to treat bladder diverticulum
  • multiple urinary bladder diverticula
  • bladder diverticulum vs diverticula