An Usg Of Breast, commonly known as a breast ultrasound, is a safe, non-invasive imaging technique that plays a vital role in diagnostic medicine. Unlike mammography, which uses ionizing radiation, an ultrasound relies on high-frequency sound waves to produce detailed images of the internal structures of the breast tissue. This technology is essential for healthcare providers to differentiate between fluid-filled cysts, which are typically benign, and solid masses that may require further investigation. By providing real-time imaging, it allows radiologists to assess the size, shape, and density of breast abnormalities with high precision, making it a cornerstone in modern breast health management.
Why Is an Usg Of Breast Recommended?
Physicians often request an Usg Of Breast for various clinical reasons. It is rarely the first line of defense for routine screening in older women but is frequently the primary imaging tool for younger women or those with dense breast tissue. The following are the most common scenarios where this procedure is indicated:
- Evaluating Palpable Lumps: If a patient or clinician detects a lump during a physical examination, an ultrasound can confirm whether it is a solid tumor or a fluid-filled cyst.
- Dense Breast Tissue: Dense tissue can hide abnormalities on a standard mammogram. Ultrasound provides a clearer view in these instances.
- Guiding Biopsies: If a suspicious area is identified, ultrasound is used to guide needles precisely to the lesion to collect a tissue sample.
- Monitoring Known Conditions: It is used to track changes in benign conditions over time, such as fibroadenomas.
- Evaluating Implants: It can help assess the integrity of breast implants to detect possible ruptures or leakages.
How the Procedure Works
The mechanism behind an Usg Of Breast is based on the principles of sonography. A handheld device called a transducer is moved across the skin of the breast. This transducer emits sound waves that bounce off the structures within the breast and return to the device as echoes. A computer then converts these echoes into real-time images displayed on a monitor.
The process is generally quick, painless, and does not require any special preparation. Patients are typically asked to lie on their back, and a clear gel is applied to the skin to ensure the transducer has optimal contact and to facilitate the passage of sound waves. The radiologist or sonographer will gently press and move the transducer over the area of interest to capture multiple angles.
💡 Note: You do not need to fast or stop taking any medications before an Usg Of Breast. It is a completely non-invasive procedure with no recovery time.
Comparison: Ultrasound vs. Mammography
Patients often wonder why one imaging method is chosen over another. Understanding the differences is key to appreciating why a doctor might order an Usg Of Breast in addition to or instead of a mammogram.
| Feature | Mammography | Usg Of Breast |
|---|---|---|
| Technology | Low-dose X-rays | Sound waves |
| Best For | Routine screening/calcifications | Solid vs. fluid differentiation |
| Radiation | Minimal radiation | No radiation |
| Primary Use | Detecting microcalcifications | Targeted diagnosis/Biopsy guidance |
Interpreting the Results
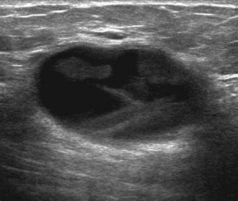
After the Usg Of Breast is completed, a radiologist analyzes the images to look for specific characteristics. They evaluate the borders of a mass, its shape, and how it interacts with surrounding tissues. While an ultrasound is highly effective at identifying fluid-filled cysts—which are rarely cancerous—it is also used to flag solid masses that exhibit features concerning for malignancy. It is important to remember that not all masses identified on an ultrasound are cancerous. Many turn out to be benign fibroadenomas or normal glandular tissue.
In many cases, the radiologist will use the BI-RADS (Breast Imaging-Reporting and Data System) classification to standardize the report. This system helps doctors understand the level of suspicion and the recommended next steps, ranging from routine follow-ups to immediate diagnostic biopsies.
Preparation and Safety Considerations
Because an Usg Of Breast uses sound waves rather than ionizing radiation, it is considered extremely safe for all patients, including pregnant women. There are no known side effects associated with the procedure. To ensure the best experience, consider these tips:
- Wear a comfortable, two-piece outfit so you can easily expose the chest area.
- Avoid applying lotions, powders, or deodorants to the breast area on the day of the exam, as these can interfere with image quality.
- Be prepared to provide your medical history, including any previous breast surgeries or family history of breast cancer.
💡 Note: Always bring your previous imaging records (such as past mammograms) to the appointment so the radiologist can compare current findings with historical data.
When to Seek Further Consultation
While an Usg Of Breast provides excellent structural data, it is not a replacement for a comprehensive physical exam or a clinical consultation. If your ultrasound results indicate a suspicious mass, your doctor may suggest an MRI for more detailed imaging or a biopsy to obtain a definitive diagnosis. Early detection remains the most effective way to improve outcomes for any breast health concerns. Do not hesitate to discuss your results in detail with your healthcare provider to ensure you understand what the findings mean for your specific health situation and what the next logical steps should be.
Ultimately, the breast ultrasound is an indispensable tool that bridges the gap between screening and diagnosis. By providing clear, real-time insights into the nature of breast tissue, it reduces uncertainty for patients and empowers doctors to make informed decisions regarding care. Whether used to characterize a lump, guide a diagnostic biopsy, or provide clarity where mammograms have been inconclusive, this procedure remains a gold standard for breast imaging. Staying proactive about your breast health through regular check-ups and following your doctor’s recommendations for imaging are the best ways to ensure long-term wellness and peace of mind.
Related Terms:
- breast usg anatomy
- normal breast tissue ultrasound images
- what happens during breast ultrasound
- ultrasound on breast after mammogram
- early stage breast cancer ultrasound
- breast diagram for ultrasound