Rp

Vanishing Bile Duct Syndrome

Vanishing Bile Duct Syndrome

Vanishing Bile Duct Syndrome (VBDS), also known as ductopenia, is a rare and serious clinical condition characterized by the progressive destruction and ultimate disappearance of the intrahepatic bile ducts. These ducts are essential for transporting bile from the liver to the small intestine. When they are destroyed, bile accumulates in the liver, leading to cholestasis—a condition where bile flow is blocked—and potentially severe liver damage. Because this condition can progress rapidly and is often linked to underlying systemic issues, early recognition and diagnosis are vital for managing patient outcomes.

Understanding the Pathophysiology of Vanishing Bile Duct Syndrome

The primary hallmark of Vanishing Bile Duct Syndrome is the loss of interlobular bile ducts, which are the smallest branches within the liver. This process is typically mediated by an immune-driven attack or toxic insult to the cholangiocytes, the epithelial cells that line the bile ducts. As these cells are damaged or killed, the ducts cannot regenerate efficiently, leading to their permanent loss.

When these ducts "vanish," bile salts and other toxic substances accumulate within the liver parenchyma. This buildup causes inflammation, fibrosis, and, if left untreated, can progress to biliary cirrhosis and liver failure. Understanding that this is not a single disease entity, but rather a final common pathway of various injuries, is crucial for clinicians and patients alike.

Common Causes and Risk Factors

Because VBDS is a manifestation of other underlying problems rather than a standalone disease, identifying the root cause is the most critical step in treatment. The causes are vast and generally fall into several categories:

  • Autoimmune Disorders: Conditions such as primary biliary cholangitis (PBC) and primary sclerosing cholangitis (PSC) are frequent culprits.
  • Drug-Induced Liver Injury (DILI): Certain antibiotics, anticonvulsants, and anti-inflammatory drugs can trigger an immune response that destroys bile ducts.
  • Organ Transplantation: Chronic rejection following a liver transplant is a well-documented cause of VBDS.
  • Infectious Diseases: Viral infections, including cytomegalovirus (CMV), HIV, and sometimes hepatitis viruses, have been linked to ductal destruction.
  • Malignancy: Hodgkin lymphoma and other solid tumors can cause paraneoplastic ductopenia.

The following table summarizes the primary categories and representative examples of conditions associated with this syndrome:

Category Representative Conditions
Autoimmune Primary Biliary Cholangitis (PBC), Sarcoidosis
Drug-Induced Amoxicillin-clavulanate, Carbamazepine, Chlorpromazine
Transplantation Chronic Graft-versus-Host Disease (GVHD), Liver transplant rejection
Infectious CMV, HIV, Hepatitis C

⚠️ Note: Many medications can cause idiosyncratic liver reactions that mimic VBDS; always consult a specialist to review all current prescriptions and supplements if symptoms arise.

Symptoms and Clinical Presentation

Patients suffering from Vanishing Bile Duct Syndrome often present with symptoms characteristic of cholestasis. While the severity can vary, common clinical indicators include:

  • Jaundice: Yellowing of the skin and eyes is often the first visible sign.
  • Pruritus: Intense, persistent itching, which is frequently exacerbated by the buildup of bile acids in the skin.
  • Fatigue: A deep, debilitating sense of tiredness that affects daily life.
  • Dark Urine and Pale Stools: Direct results of bile not reaching the intestinal tract properly.
  • Abdominal Discomfort: Often localized in the upper right quadrant of the abdomen.

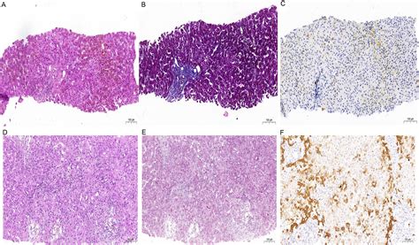
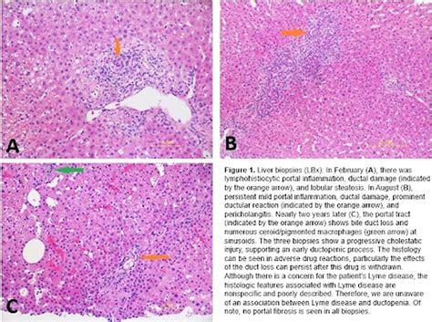
Diagnostic testing usually reveals significantly elevated alkaline phosphatase and gamma-glutamyl transferase (GGT) levels, often disproportionate to the elevation of liver enzymes like ALT or AST. A liver biopsy remains the gold standard for diagnosis, as it allows pathologists to visualize the actual number of ducts in the portal triads.

Diagnostic Approach and Management Strategies

Diagnosis begins with a thorough medical history, focusing on recent medication changes, travel history, and family history of autoimmune diseases. Imaging, such as MRCP (Magnetic Resonance Cholangiopancreatography), is often used to rule out large-duct obstructions, like gallstones or tumors, which would require different interventions.

Management is inherently tied to treating the underlying cause:

  • Stopping Offending Agents: If a drug is suspected to be the trigger, immediate cessation is required.
  • Immunosuppression: In cases of autoimmune origins or transplant rejection, corticosteroids or other immunosuppressive agents are the first line of defense.
  • Symptom Management: Managing pruritus using bile acid sequestrants (like cholestyramine) or other medications is essential for patient comfort.
  • Nutritional Support: Because bile is needed for fat absorption, patients may develop deficiencies in fat-soluble vitamins (A, D, E, and K) and require specialized supplementation.
  • Monitoring for Progression: Regular follow-ups are necessary to assess liver function and screen for the development of cirrhosis.

💡 Note: In cases where the condition is irreversible and leads to end-stage liver failure, liver transplantation may become the only curative option.

Prognosis and Long-Term Outlook

The prognosis for Vanishing Bile Duct Syndrome is highly variable and depends entirely on the underlying etiology and how quickly the condition is diagnosed and addressed. If the damage is caused by a medication, the liver may recover significantly after the drug is withdrawn. However, in progressive autoimmune cases, the loss of ducts may be permanent, necessitating long-term management or eventual transplantation.

Continued research into the immunopathogenesis of bile duct destruction offers hope for more targeted therapies. Currently, the most important factor for improving patient prognosis is high clinical suspicion. Recognizing the symptoms of cholestasis early and proceeding directly to specialized hepatology evaluation can help mitigate permanent liver damage and prevent the onset of severe complications.

In summary, Vanishing Bile Duct Syndrome is a challenging medical condition characterized by the loss of intrahepatic bile ducts, leading to significant cholestatic disease. Because the syndrome is a secondary manifestation of diverse pathologies ranging from autoimmune triggers to adverse drug reactions, a multi-faceted approach is required for diagnosis and treatment. By identifying the root cause, managing debilitating symptoms like pruritus, and providing appropriate supportive nutritional care, medical professionals can significantly improve the quality of life for those affected. While the outlook depends heavily on the etiology, early intervention remains the cornerstone of clinical strategy in navigating this complex liver disorder.

Related Terms:

  • vanishing bile duct syndrome symptoms
  • adult bile ductopenia
  • vanishing bile duct syndrome treatment
  • paucity of intrahepatic bile ducts
  • bile duct injury pathology outlines
  • bile duct pathology outlines