Rp

Vena Azygos Lobe

Vena Azygos Lobe

When reviewing chest radiographs or high-resolution computed tomography (HRCT) scans, radiologists and clinicians often encounter anatomical variations that, while typically benign, can mimic pathological conditions. One such intriguing anatomical variant is the Vena Azygos Lobe. Often referred to simply as an azygos lobe, this finding is not a true lobe of the lung in the functional sense, but rather a structural anomaly formed during the embryological development of the thoracic cavity. Understanding the nature of the Vena Azygos Lobe is crucial for medical professionals to avoid misdiagnosis, particularly when distinguishing it from infiltrates, masses, or pleural thickening.

What is a Vena Azygos Lobe?

The Vena Azygos Lobe represents a rare developmental variant occurring in approximately 0.4% to 1% of the general population. It is essentially a small accessory lobe situated in the superior portion of the right lung. Unlike standard anatomical lobes, this "lobe" is created by the abnormal downward migration of the azygos vein during the development of the fetal lung.

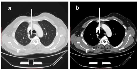
During normal fetal development, the azygos vein arcs over the apex of the right lung to enter the superior vena cava. In individuals who develop an azygos lobe, the vein fails to migrate to its normal position over the apex. Instead, it cuts through the developing upper lobe of the right lung. As it traverses the lung tissue, the vein drags two layers of parietal pleura and two layers of visceral pleura with it, creating a fissure known as the fissura azygos.

Radiographic Appearance and Diagnosis

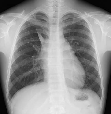
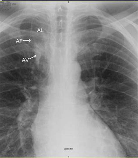
The hallmark of the Vena Azygos Lobe on a chest radiograph is a characteristic curvilinear density. Because of its unique formation, it is easily identifiable if one knows what to look for. Clinicians and radiologists typically identify the following features:

  • The Azygos Fissure Line: A thin, convex line extending from the apex of the right lung toward the hilum.
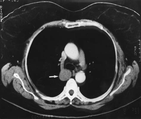
  • The Azygos Point (or Teardrop): A dense, teardrop-shaped opacity at the inferior end of the fissure line. This represents the cross-section of the misplaced azygos vein itself.
  • Location: Always found in the right upper lobe.

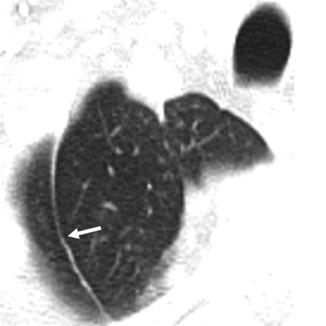
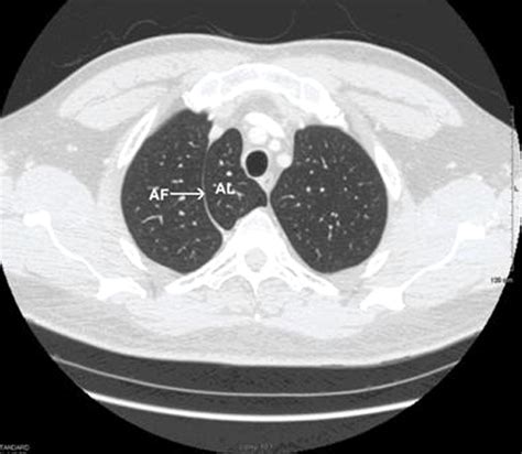
While standard chest X-rays are usually sufficient for diagnosis, computed tomography (CT) provides a definitive view. On a CT scan, the Vena Azygos Lobe is clearly demonstrated as an isolated pleural-lined segment of lung tissue separated from the rest of the right upper lobe by the azygos fissure.

Feature Description
Prevalence 0.4% - 1% of the population
Location Right upper lung lobe
Key Radiographic Sign Curvilinear "teardrop" opacity
Clinical Significance Usually benign, asymptomatic

Clinical Implications and Mimics

For the vast majority of patients, the presence of a Vena Azygos Lobe is entirely asymptomatic. It does not compromise respiratory function or increase susceptibility to lung diseases. However, the diagnostic challenge lies in its potential to mimic other, more serious clinical conditions. Medical imaging must be scrutinized carefully to avoid unnecessary follow-up procedures or invasive testing.

Conditions that may be mistakenly identified due to this anatomical variation include:

  • Pulmonary Infiltrates: The fissure line might be misidentified as a small linear scar or a localized area of pneumonia.
  • Lung Nodules: The "teardrop" shadow of the azygos vein itself can be mistaken for a solitary pulmonary nodule or a mass.
  • Pleural Effusion or Thickening: Sometimes, the fluid accumulation within the azygos fissure can be confused with localized pleural disease.

⚠️ Note: If a physician suspects a mass in the right apex, a comparison with historical imaging is essential. If the "mass" (the azygos vein) has remained unchanged in size and position over years, it is almost certainly a Vena Azygos Lobe.

Surgical Considerations

While the lobe itself does not require treatment, it is important for thoracic surgeons to be aware of its presence before performing any procedures in the right upper chest. During lung resection surgery or other thoracic interventions, the Vena Azygos Lobe and the associated azygos vein can alter the standard anatomy of the region. Surgeons must account for the position of the vein to prevent accidental injury or hemorrhage during access to the mediastinum or the upper lobe.

Furthermore, in cases involving infections or localized disease, the anatomical separation of the azygos lobe from the remainder of the right upper lobe may restrict the spread of localized pathology, though this is rare and generally of little clinical consequence to the management plan.

Management and Prognosis

Because the Vena Azygos Lobe is a harmless anatomical variant, it requires no medical intervention. Once it has been identified on a radiograph or CT scan, it is simply documented in the patient’s medical records. No follow-up or specific monitoring is required, provided the imaging clearly shows the characteristic features of the azygos fissure and the accompanying vein.

Educating patients who may be concerned about their chest X-ray results is also part of the clinical process. Reassuring patients that this is a congenital developmental feature rather than a sign of disease helps reduce medical anxiety. When correctly identified by a radiologist, the presence of an azygos lobe should be reported as an incidental finding, emphasizing its benign nature.

The investigation of thoracic structures often leads to the discovery of various incidental findings, and the Vena Azygos Lobe remains one of the most classic examples of an anatomical variation that is more significant in terms of diagnostic interpretation than clinical management. By recognizing the distinct imaging signature—the combination of the fissure line and the teardrop-shaped azygos vein—clinicians can confidently distinguish this benign variant from potential pulmonary pathology. While it may rarely impact surgical approaches or complicate the interpretation of localized chest disease, its presence generally poses no risk to the patient’s overall health. Ultimately, maintaining awareness of such variants ensures that medical practice remains precise, avoiding unnecessary concern or diagnostic workup for a feature that is simply a unique aspect of an individual’s pulmonary architecture.

Related Terms:

  • prominent azygos vein
  • accessory azygos
  • azygos lobe chest x ray
  • is an azygos fissure dangerous
  • azygos vein anomaly
  • azygos vein model