Cleve

Veneer Treatment Teeth

Veneer Treatment Teeth

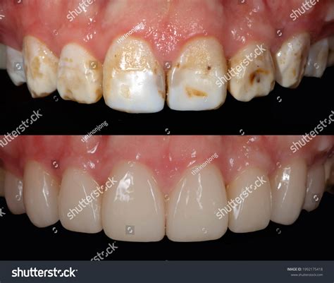
Achieving a radiant, camera-ready smile is a goal for many, and veneer treatment teeth procedures have become the gold standard in modern cosmetic dentistry. Whether you are looking to hide stubborn discoloration, correct minor misalignments, or restore chipped teeth, veneers offer a versatile and long-lasting solution. By placing a thin, custom-made shell over the front surface of your teeth, dentists can completely transform the appearance of your smile, providing a natural look that boosts confidence significantly. Understanding the nuances of this treatment is the first step toward deciding if it is the right path for your dental health goals.

What Exactly Are Dental Veneers?

Dental veneers are ultra-thin layers of restorative material, typically crafted from porcelain or composite resin. They are custom-designed to fit over the front surface of your teeth, effectively masking imperfections. Porcelain veneers are particularly favored for their durability and ability to mimic the light-reflecting properties of natural tooth enamel, making them nearly indistinguishable from your own teeth.

The primary reasons patients seek out veneer treatment teeth services include:

Also read: Cost Of Face Plastic Surgery
  • Discoloration: Covering deep stains that cannot be removed by traditional teeth whitening.
  • Chips and Cracks: Repairing minor structural damage to improve both aesthetics and strength.
  • Gaps (Diastema): Closing unwanted spaces between front teeth for a more uniform look.
  • Misalignment: Providing the appearance of straighter teeth without the need for prolonged orthodontic treatment.

The Comparison: Porcelain vs. Composite Veneers

When you consult with your dentist, you will likely discuss the material options available. Each has distinct advantages that suit different lifestyle needs and budgets. The following table provides a quick reference to help you distinguish between the two primary types:

Feature Porcelain Veneers Composite Veneers
Durability High; resistant to staining and wear. Moderate; prone to staining over time.
Application Requires lab fabrication and two visits. Directly applied and shaped by the dentist.
Lifespan 10 to 15+ years. 5 to 7 years.
Cost Higher investment. More budget-friendly.

The Step-by-Step Procedure for Veneers

The process of getting veneer treatment teeth is systematic, ensuring that each veneer fits perfectly and lasts for years. Typically, the procedure follows these essential steps:

  1. Diagnosis and Treatment Planning: You will discuss your goals and expectations. The dentist will examine your teeth to ensure you are a good candidate and may take X-rays or impressions.
  2. Preparation: A small amount of enamel (usually less than 1mm) is removed from the tooth surface to accommodate the thickness of the veneer.
  3. Impressions: An impression of your teeth is made, which is sent to a dental laboratory where your custom veneers are crafted.
  4. Bonding: Once the veneers are ready, the dentist cleans and etches the tooth surface, applies a specialized bonding cement, and uses a curing light to secure the veneer firmly in place.

⚠️ Note: Maintaining good oral hygiene is critical after the procedure. Even though veneers do not decay, the underlying tooth structure is still susceptible to cavities if plaque is allowed to accumulate at the gum line.

Maintaining Your New Smile

Once your veneer treatment teeth are finalized, caring for them is relatively straightforward. Because they are designed to be durable, they do not require any special, complex routines. However, following these best practices will extend the life of your investment:

  • Brush and Floss Daily: Treat your veneers like natural teeth; consistent hygiene prevents gum disease, which is essential for keeping veneers secure.
  • Avoid Excessive Force: Refrain from using your teeth as tools to open packages or biting down on hard objects like ice or pens, which could cause the material to chip.
  • Manage Bruxism: If you grind your teeth at night, ask your dentist about a custom mouthguard to prevent premature wear.
  • Routine Check-ups: Schedule regular professional cleanings so your dentist can monitor the bond and health of your gums.

Candidates for Veneer Treatment

Not every patient is an immediate candidate for veneers. The ideal patient typically has healthy teeth and gums but is unhappy with the cosmetic appearance of their smile. Your dentist will evaluate your bite alignment and the current health of your enamel. If you suffer from significant tooth decay or gum disease, those issues must be addressed before proceeding with any cosmetic enhancement.

Furthermore, those who have severe teeth grinding issues may need to take extra precautions. While veneers are strong, they are not invincible. However, for the vast majority of people, this treatment offers a transformative experience that restores not just the appearance of teeth, but the confidence to smile freely in social and professional settings.

Choosing to move forward with this cosmetic procedure is a significant decision that requires a professional consultation. By identifying the specific concerns you want to address, you and your dentist can create a tailored plan that meets your aesthetic vision. From the initial consultation to the final reveal, the journey toward a perfect smile is characterized by precision and care. As long as you maintain a high standard of oral health and visit your dental professional for routine exams, your veneers can continue to enhance your facial aesthetics for many years to come. Ultimately, this treatment remains one of the most effective ways to achieve a harmonious, bright, and polished appearance that leaves a lasting positive impression.

Related Terms:

  • how do tooth veneers work
  • dental veneers for front teeth
  • what are veneers on teeth
  • how do dental veneers work
  • teeth veneers cost
  • veneers for teeth procedure