Cleve

Walking Pneumonia Contagious

Walking Pneumonia Contagious

It often starts with a nagging cough, a scratchy throat, and a lingering sense of fatigue that just won’t dissipate. Many people assume they are simply battling a common cold or a mild case of seasonal allergies, but sometimes, these symptoms indicate something more persistent: walking pneumonia. Unlike severe cases of pneumonia that land patients in the hospital, this milder form allows individuals to continue their daily routines, which leads many to wonder: is walking pneumonia contagious? Understanding the transmission, symptoms, and management of this condition is crucial, especially when you are balancing work, school, and social obligations.

What Exactly Is Walking Pneumonia?

Walking pneumonia, medically referred to as atypical pneumonia, is a mild form of pneumonia caused primarily by the bacterium Mycoplasma pneumoniae. Unlike typical pneumonia, which can be caused by various bacteria or viruses and often results in sudden, severe illness, walking pneumonia tends to develop slowly. The symptoms are generally milder, meaning most people do not feel sick enough to stay home in bed—hence the term "walking."

While it is generally not life-threatening, it can be incredibly draining and may lead to complications if left untreated. Recognizing that walking pneumonia is contagious is the first step toward preventing the spread of the infection to family members, coworkers, and friends.

Is Walking Pneumonia Contagious?

The short answer is yes, walking pneumonia is contagious. The bacteria responsible for this infection are spread through respiratory droplets. When an infected person coughs, sneezes, or even talks closely with others, they release microscopic droplets into the air that contain the bacteria. If you inhale these droplets, or if they land on surfaces that you later touch before touching your mouth, nose, or eyes, you can contract the infection.

Because the symptoms of walking pneumonia are often mistaken for a common cold, many infected individuals do not realize they are sick and continue to interact with others. This makes the transmission of Mycoplasma pneumoniae quite efficient in crowded environments, such as:

  • Schools and classrooms
  • Office buildings
  • Public transportation
  • Dormitories or military barracks
  • Daycare centers

💡 Note: While walking pneumonia is contagious, it is generally considered less contagious than influenza or other respiratory viruses. Close, prolonged contact is usually necessary for transmission to occur.

Common Symptoms to Watch For

Since the symptoms can be vague, it is helpful to know what to look for. The incubation period—the time between catching the bacteria and showing symptoms—is typically between one to three weeks. Common indicators include:

  • A persistent, dry cough that may last for weeks
  • Low-grade fever and chills
  • Headaches and muscle aches
  • Sore throat
  • General malaise or extreme tiredness
  • Mild chest pain when breathing deeply

If you find that your "cold" symptoms are not improving after a week or two, it is vital to consult a healthcare provider. While you may feel capable of "walking" through your day, you could be spreading the infection to others around you.

Comparing Typical and Atypical Pneumonia

Understanding the differences between these two conditions helps in identifying when to seek help. The table below outlines the primary distinctions:

Feature Typical Pneumonia Walking (Atypical) Pneumonia
Onset Sudden and severe Gradual and mild
Primary Cause Streptococcus pneumoniae Mycoplasma pneumoniae
Severity High; often requires hospitalization Low; often managed at home
Primary Symptom High fever, productive cough Dry, hacking cough, fatigue

How to Prevent the Spread

Because walking pneumonia is contagious, hygiene practices are your best defense. If you suspect you have contracted the infection, you should take proactive steps to protect those in your immediate circle:

  • Practice Respiratory Hygiene: Cover your nose and mouth with a tissue or your upper sleeve when coughing or sneezing.
  • Frequent Hand Washing: Use soap and water for at least 20 seconds, especially after coughing, sneezing, or blowing your nose.
  • Limit Contact: Avoid close contact with high-risk individuals, such as the elderly, young children, or those with compromised immune systems.
  • Stay Home: Even if you feel like you can function, staying home until the fever subsides or your cough improves significantly is the most responsible way to stop the chain of transmission.
  • Sanitize Surfaces: Regularly clean frequently touched surfaces like doorknobs, keyboards, and mobile devices.

💡 Note: Antibiotics, such as macrolides, are typically prescribed for walking pneumonia to shorten the duration of the illness and reduce the risk of spreading the bacteria to others.

When to See a Doctor

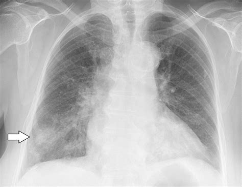
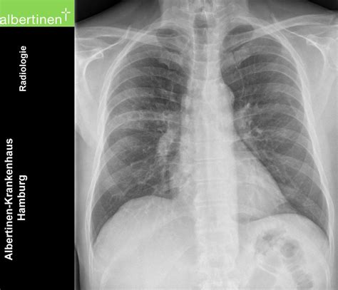
Although the condition is mild, it should not be ignored. You should seek medical attention if you experience difficulty breathing, a persistent high fever, or if your cough worsens significantly. A healthcare provider can perform a physical examination, listen to your lungs, and potentially order a chest X-ray or a lab test to confirm the diagnosis. Early intervention can help manage symptoms more effectively and reduce the time you remain infectious to others.

Managing your health responsibly is the best approach to handling this respiratory illness. By understanding that walking pneumonia is contagious and taking simple, effective steps to contain the spread of the bacteria, you protect not only yourself but also the people around you. Remember that even when you feel capable of maintaining your daily schedule, listening to your body and allowing for proper rest is essential for a full recovery. If you suspect you have been exposed or are currently suffering from these symptoms, prioritize hygiene, consult a medical professional, and give yourself the time needed to heal before returning to your regular social interactions.