Rp

Watershed Brain Infarct

Watershed Brain Infarct

A Watershed Brain Infarct is a specific and critical type of ischemic stroke that occurs in the border zone areas of the brain. Unlike typical strokes that are caused by a blockage in a major artery, these infarctions happen in the "watershed" regions—the most distal areas of blood supply where the territories of two major cerebral arteries meet. Because these areas are the farthest from the heart and rely on the delicate balance of pressure from multiple sources, they are exceptionally vulnerable to drops in systemic blood pressure and reduced blood flow.

Understanding the Mechanics of a Watershed Brain Infarct

To grasp why a Watershed Brain Infarct occurs, it is essential to visualize the brain's vascular architecture. The brain is supplied by several primary arteries, including the internal carotid, middle cerebral, and anterior cerebral arteries. These arteries terminate in tiny vessels that create a supply frontier.

When systemic blood pressure drops—due to severe dehydration, cardiac arrest, or shock—the blood may not reach these distant border zones. This is known as hemodynamic failure. Alternatively, micro-emboli (tiny blood clots) can travel through the bloodstream and get trapped in these small, distant vessels, leading to a Watershed Brain Infarct.

The two primary classifications include:

  • Cortical Watershed Infarct: Located at the borders between the anterior, middle, and posterior cerebral artery territories on the surface of the brain.
  • Internal Watershed Infarct: Located in the white matter deep within the brain, often at the border between the deep and superficial arterial systems.

Risk Factors and Predisposing Conditions

Identifying risk factors early is crucial for prevention. A Watershed Brain Infarct is rarely an isolated event; it is frequently a sign of underlying systemic issues. Key risk factors include:

  • Severe Hypotension: Prolonged low blood pressure during surgery or due to cardiac issues.
  • Carotid Artery Stenosis: Significant narrowing of the carotid arteries, which severely limits the volume of blood reaching the brain.
  • Cardiac Arrhythmias: Conditions like atrial fibrillation can contribute to both low cardiac output and embolic events.
  • Systemic Hypoperfusion: Conditions such as sepsis, severe hemorrhage, or dehydration.

⚠️ Note: If an individual shows signs of sudden confusion, limb weakness, or vision changes, immediate emergency medical attention is required. Time is critical to saving brain tissue.

Clinical Presentation and Diagnostic Methods

The symptoms of a Watershed Brain Infarct often manifest based on the location of the injury. Patients might experience "man-in-the-barrel" syndrome, where the shoulders and upper arms are weaker than the hands and legs. Other signs include cognitive impairment, language difficulties, or visual field deficits.

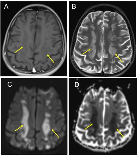
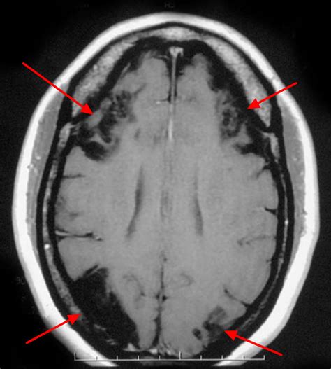
Diagnostic Tool Purpose
MRI (Diffusion-Weighted) The gold standard for visualizing acute ischemic changes.
CT Scan Used primarily to rule out a brain bleed (hemorrhage).
Carotid Doppler Ultrasound To check for blood flow blockages in the neck arteries.
Echocardiogram To examine the heart for potential clot sources.

Treatment Approaches and Recovery

Management focuses on restoring adequate blood flow and treating the underlying cause of the perfusion deficit. Because a Watershed Brain Infarct is often caused by low blood pressure, standard stroke treatments like thrombolytics (clot-busters) must be used with extreme caution, as they might increase the risk of bleeding in already fragile border zones.

Primary treatment strategies include:

  • Blood Pressure Management: Carefully raising blood pressure to ensure adequate brain perfusion while avoiding hypertensive crises.
  • Surgical Intervention: In cases of severe carotid stenosis, procedures such as a carotid endarterectomy may be performed to improve blood flow.
  • Antiplatelet Therapy: Medications to prevent future clotting.
  • Rehabilitation: Physical, occupational, and speech therapy are vital for regaining function lost to the infarct.

💡 Note: Long-term management involves strict control of blood pressure, cholesterol levels, and blood sugar, alongside lifestyle modifications like smoking cessation and heart-healthy dietary changes.

Prevention Strategies

Preventing a Watershed Brain Infarct involves proactive vascular health management. Patients with known arterial narrowing should be monitored closely by a neurologist or vascular surgeon. Ensuring that the cardiovascular system is functioning optimally is the best defense against these border-zone injuries.

Key lifestyle adjustments for risk reduction include:

  • Maintaining a diet low in sodium and saturated fats.
  • Engaging in regular physical activity as approved by a healthcare provider.
  • Adhering strictly to prescribed medications for hypertension or heart conditions.
  • Avoiding dehydration, especially in elderly patients or during extreme heat.

By addressing the circulatory system's overall efficiency, the risk of hemodynamic failure in the brain's border zones is significantly reduced. Frequent check-ups and open communication with medical professionals remain the most effective ways to detect early signs of arterial narrowing or systemic blood pressure issues before they culminate in a serious neurological event.

In summary, a Watershed Brain Infarct serves as a critical indicator that blood flow to the brain is being compromised at its most vulnerable frontiers. Recognizing the symptoms promptly and identifying the underlying cause—whether it be systemic hypotension or arterial stenosis—is the cornerstone of effective treatment. While the recovery process often requires intensive rehabilitation, focusing on both the immediate hemodynamic stabilization and long-term vascular health provides patients with the best chance for recovery and prevents future, more severe neurological damage. Through vigilant monitoring and risk factor management, the clinical outcomes for those affected by these border-zone events can be significantly improved.

Related Terms:

  • watershed stroke treatment reviews
  • watershed infarcts symptoms
  • watershed stroke vs regular
  • what causes watershed stroke
  • acute bilat watershed infarction
  • Watershed Brain