Cleve

Wbc Laboratory Test

Wbc Laboratory Test

When you visit a healthcare provider for a routine check-up or when you are feeling unwell, one of the most common diagnostic procedures recommended is a Wbc Laboratory Test. Also known as a white blood cell count, this diagnostic tool is a fundamental component of a Complete Blood Count (CBC). White blood cells, or leukocytes, serve as the primary defense mechanism of your immune system. By analyzing their quantity and composition, doctors can gain invaluable insights into your health, identifying everything from simple infections to complex autoimmune conditions and even blood disorders.

Understanding the Wbc Laboratory Test

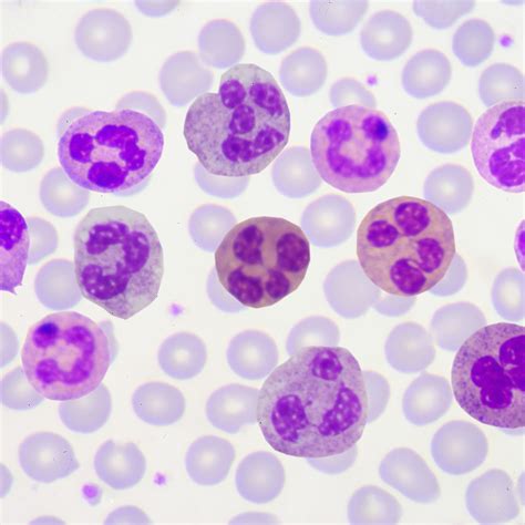
The Wbc Laboratory Test measures the number of white blood cells in your bloodstream. These cells are produced in the bone marrow and travel through the circulatory system, ready to fight off invaders like bacteria, viruses, and fungi. When your body is under stress or fighting an illness, your bone marrow may increase the production of these cells, causing your count to fluctuate. A standard lab report often provides both a total count and a differential count, which breaks down the different types of white blood cells, such as neutrophils, lymphocytes, monocytes, eosinophils, and basophils.

Why Is This Test Performed?

Physicians order a Wbc Laboratory Test for a wide variety of clinical reasons. It is rarely used to diagnose a specific disease on its own but rather acts as a “red flag” system that prompts further investigation. Common reasons for testing include:

  • Identifying Infections: An elevated count often points to an active bacterial or viral infection.
  • Monitoring Inflammation: Chronic inflammatory conditions often cause shifts in white blood cell levels.
  • Assessing Immune System Function: Patients with compromised immune systems need regular monitoring to ensure their body can protect itself.
  • Evaluating Medications: Some drugs, such as chemotherapy or certain psychiatric medications, can suppress bone marrow activity and lower white blood cell counts.
  • Diagnosing Blood Disorders: Conditions like leukemia or lymphoma can be detected or monitored through abnormalities in leukocyte levels.

Interpreting Your Results

Understanding the numbers found on your lab report is essential, although you should always discuss these results with your healthcare provider. Generally, a normal range for an adult is between 4,500 and 11,000 cells per microliter of blood. However, individual laboratories may have slightly different reference ranges based on their testing equipment.

Condition Definition Potential Causes
Leukocytosis High WBC count Infection, stress, inflammation, or bone marrow disease.
Leukopenia Low WBC count Autoimmune disorders, chemotherapy, or vitamin deficiencies.

⚠️ Note: Always remember that a single abnormal result does not necessarily indicate a serious health problem. Factors such as pregnancy, intense exercise, or even smoking can temporarily affect your white blood cell count.

Preparing for Your Blood Test

One of the significant advantages of a Wbc Laboratory Test is that it usually requires very little preparation. In most cases, you do not need to fast or stop taking your regular medications unless specifically instructed by your doctor. However, it is always helpful to stay hydrated, as this makes it easier for the phlebotomist to draw your blood. Be sure to inform your doctor about any supplements or over-the-counter drugs you are taking, as these can occasionally skew the results.

What Happens During the Procedure?

The process is straightforward and typically takes less than five minutes. A healthcare professional will clean a site on your arm—usually the inside of the elbow—and insert a small needle into a vein. A small amount of blood is collected into a vial. Once the sample is secured, the laboratory technician uses automated analyzers to count the cells. The turnaround time for these results is usually quick, often available within 24 to 48 hours.

The Clinical Significance of the Differential Count

Beyond the total count, the differential part of the Wbc Laboratory Test is where the real diagnostic detail lies. Different white blood cells respond to different threats:

  • Neutrophils: Usually the first responders to bacterial infections.
  • Lymphocytes: Primarily responsible for fighting viruses and regulating the immune response.
  • Monocytes: Help clear away dead or damaged tissue.
  • Eosinophils: Often respond to allergic reactions or parasitic infections.
  • Basophils: Involved in allergic responses and inflammatory reactions.

If your doctor notices that one specific type of cell is significantly elevated or depressed, it helps them narrow down whether the cause is an infection, an allergy, or a more chronic medical issue.

Addressing Abnormal Counts

If your test results come back outside the normal range, do not panic. It is common for counts to fluctuate based on minor stressors. If a count is significantly high or low, your doctor will likely suggest a follow-up test to see if the levels normalize. If the abnormality persists, they may order further diagnostic tests, such as a peripheral blood smear, a bone marrow biopsy, or specialized blood chemistry panels to pinpoint the underlying cause.

💡 Note: Patients undergoing chemotherapy are at higher risk for low white blood cell counts, a condition known as neutropenia. If you fall into this category, strictly follow your oncology team’s instructions regarding temperature monitoring and infection prevention.

Final Thoughts

The Wbc Laboratory Test remains a cornerstone of modern medicine due to its simplicity, speed, and diagnostic power. By providing a snapshot of your immune system’s activity, it allows doctors to monitor your health, track the progress of treatments, and detect potential illnesses before they become more severe. While numbers on a lab report might seem intimidating, they are simply tools that enable personalized care. Always prioritize clear communication with your physician, who can provide the necessary context for your results based on your unique medical history and physical symptoms. By staying informed and maintaining regular check-ups, you take a proactive step toward long-term health and wellness.

Related Terms:

  • lab test results wbc
  • wbc 13.48 lab result meaning
  • lab work what is wbc
  • what is wbc in labwork
  • blood test what is wbc
  • what is wbc lab results