Cleve

What Causes Gum Recession

What Causes Gum Recession

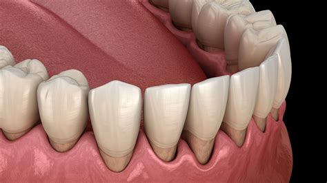
Gum recession is a common dental issue that often develops so gradually that many people do not realize it is happening until they notice their teeth appearing longer or experience sudden sensitivity. Understanding what causes gum recession is the first essential step toward arresting the process and protecting your oral health. When the margin of the gum tissue that surrounds the teeth wears away or pulls back, it exposes more of the tooth, or the tooth's root. This exposure not only impacts the aesthetics of your smile but also creates small gaps, or "pockets," between the teeth and gum line, where disease-causing bacteria can easily hide and thrive. If left untreated, the supporting tissue and bone structures of the teeth can be severely damaged, potentially leading to tooth loss.

The Primary Drivers of Gum Recession

The causes of gum recession are often multifactorial, meaning a combination of habits, genetics, and underlying health conditions usually contributes to the problem. It is rarely the result of just one single factor. To effectively manage this condition, it is necessary to identify which of the following common culprits might be at play in your specific situation.

Aggressive Toothbrushing

While maintaining good oral hygiene is critical, there is such a thing as “too much of a good thing.” Many people believe that scrubbing their teeth vigorously will make them cleaner. However, using a hard-bristled toothbrush or applying excessive pressure during brushing can wear down the protective enamel and cause the gums to recede over time. Using a soft-bristled toothbrush and practicing gentle, circular motions is much more effective and safer for your gum tissue.

Periodontal Disease

Gum disease, or periodontitis, is perhaps the most significant factor leading to tissue loss. Bacterial gum infections destroy the gum tissue and the supporting bone that hold your teeth in place. As the infection progresses, the gums detach from the teeth, causing recession. This is why regular dental check-ups are vital; a professional can detect the early signs of gingivitis before it advances into more destructive forms of periodontal disease.

Genetic Predisposition

Sometimes, the health of your gums is largely dictated by your DNA. Just as some people are prone to certain diseases, some individuals are simply born with thinner or more fragile gum tissue. If your parents or siblings have dealt with gum recession, you may be genetically predisposed to it as well, making it even more important for you to be proactive with your oral care.

Summary of Common Risk Factors

Factor Mechanism of Damage
Poor Oral Hygiene Allows plaque buildup, leading to gum disease.
Aggressive Brushing Mechanically wears away gum tissue and enamel.
Tobacco Use Causes sticky plaque and restricts blood flow to gums.
Hormonal Changes Makes gums more sensitive and susceptible to recession.
Grinding or Clenching Puts excessive force on teeth and supporting structures.

💡 Note: If you notice your teeth feeling sensitive to hot or cold temperatures, this is often one of the first warning signs of receding gums, as the sensitive root surfaces are no longer protected by the gum tissue.

Additional Contributing Factors

Beyond the primary causes mentioned above, there are several other lifestyle and physiological factors that can exacerbate the situation:

  • Tobacco Products: Smoking or chewing tobacco creates sticky plaque on teeth that is difficult to remove, which fosters gum disease and hinders the healing process of gum tissues.
  • Grinding and Clenching (Bruxism): Many people clench or grind their teeth, especially during sleep. This places enormous pressure on the teeth, which can cause the gums to pull away from the teeth over time.
  • Misaligned Teeth: If your teeth do not align correctly (malocclusion), some areas may receive too much force, causing the gums to recede in those specific locations.
  • Hormonal Fluctuations: Changes in female hormones—during puberty, pregnancy, or menopause—can make gums more sensitive and more vulnerable to recession.

Preventing and Managing Gum Recession

Once gum tissue has receded, it does not naturally grow back, which is why prevention is paramount. The best approach involves a combination of daily home care and professional intervention. Regular dental cleanings are essential for removing hardened plaque (tartar) that cannot be cleaned away with a toothbrush or floss alone. If you are experiencing pain, sensitivity, or noticeable changes in your gum line, scheduling an appointment with a dentist or a periodontist is crucial.

Treatments for existing recession may include professional deep cleaning (scaling and root planing), which helps manage the underlying bacterial infection, or surgical interventions such as gum grafting to restore the lost tissue and protect the exposed roots. By identifying the root cause of the recession early, your dental professional can tailor a treatment plan specifically for your needs.

⚠️ Note: Always consult with a dental professional before starting any new, aggressive treatment regimen. Only a dentist can accurately diagnose if you have active periodontal disease requiring specific clinical treatment.

In summary, understanding what causes gum recession is fundamental to maintaining long-term oral health. From the mechanical damage of improper brushing techniques to the systemic impacts of periodontal disease and genetics, multiple factors play a role in the health of your gums. Because gum tissue does not regenerate on its own, it is imperative to adopt gentle brushing habits, maintain rigorous daily hygiene, and keep up with regular professional dental examinations. By addressing these factors early, you can successfully prevent further recession and preserve the health and longevity of your smile for years to come.

Related Terms:

  • my gums are receding quickly
  • can gum recession be reversed
  • why gums start pulling down
  • symptoms of gum recession
  • how to fix receding gums
  • regrow gums before and after