Cleve

What Do Fillings Look Like

What Do Fillings Look Like

Walking into a dental office for a cavity repair can often bring about a sense of curiosity, especially regarding the final aesthetic result. A common question patients ask their dentists is, "What do fillings look like?" Understanding the appearance of modern dental fillings can help ease anxiety and set realistic expectations for your upcoming procedure. Today, dental technology has advanced significantly, moving far beyond the days when a metal-filled mouth was the only option. Depending on the location of the cavity and your personal aesthetic preferences, your dentist can use a variety of materials, each resulting in a unique final look.

Types of Dental Filling Materials and Their Appearance

Dental professional working on a tooth filling

When you ask what do fillings look like, the answer depends entirely on the material chosen for your specific tooth. Some materials are designed to be completely invisible, while others are chosen for their durability, regardless of their visibility. Here are the primary types of fillings you might encounter:

  • Composite Resin: These are the most popular choice for front teeth because they are designed to match the natural shade of your teeth. They blend in so well that it is often impossible to tell where the filling ends and the tooth begins.
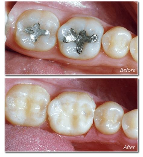
  • Amalgam (Silver Fillings): These are traditional fillings made from a mixture of metals. They are distinctively dark silver or grey in color. Because of their metallic appearance, they are usually reserved for back teeth that are not visible when you talk or laugh.
  • Ceramic (Porcelain): Often used for inlays or onlays, these fillings are custom-made in a lab. They are highly resistant to staining and mimic the translucency of natural tooth enamel perfectly.
  • Glass Ionomer: These fillings release fluoride and are often used for children or for fillings below the gum line. They have a slightly matte, tooth-colored appearance but are generally less translucent than composite resin.

A Comparison of Filling Aesthetics

To better understand how these materials differ in appearance, consider the following breakdown of characteristics:

Material Type Visual Appearance Common Usage
Composite Resin Natural, matches tooth color Front and back teeth
Amalgam Dark silver/metallic Back molars
Ceramic High-end, translucent, match color Restorations
Glass Ionomer Matte, tooth-colored Non-load bearing areas

Why Filling Appearance Matters

For many patients, the visual impact of a filling is just as important as the structural integrity of the tooth. If you are getting a cavity treated in a highly visible area, such as a canine or a front incisor, you will likely opt for composite resin or porcelain. These materials provide a seamless finish, ensuring that your smile remains bright and consistent.

However, if you have a deep cavity in a rear molar, your dentist might suggest an amalgam filling or a gold inlay. While these may not be aesthetically "invisible," they are often favored for their extreme durability and resistance to wear, especially in areas of the mouth that handle the majority of chewing pressure. Understanding the trade-off between aesthetics and longevity is key to making an informed decision.

💡 Note: While composite resins are aesthetically superior, they may be prone to staining over time if you consume high amounts of coffee, tea, or tobacco, similar to how natural teeth darken.

The Procedure: How Your Filling Is Crafted

The process of placing a filling also dictates the final result. For a composite filling, the dentist applies the material in thin layers, hardening each one with a special blue-light source. This "sculpting" process allows the dentist to shape the filling to match the natural contours and grooves of your tooth.

Because the material is tooth-colored, the final result looks like a natural, healthy tooth. If you have been worried about the question of what do fillings look like, rest assured that in modern dentistry, the goal is almost always to restore the tooth to its original, healthy appearance. In most cases, if you look in a mirror immediately after the procedure, you will struggle to pinpoint exactly which tooth was treated.

Caring for Your New Fillings

Once your filling is in place, maintaining its appearance requires consistent oral hygiene habits. Regardless of whether you have a metal or a white filling, the health of the surrounding tooth structure is paramount. Keep these tips in mind:

  • Brush and floss daily: This prevents new decay from forming around the edges of your filling (a process known as recurrent decay).
  • Limit staining foods: If you choose white fillings, try to rinse with water after drinking coffee or wine to preserve the shade match.
  • Schedule regular checkups: Your dentist will monitor the edges of your fillings during every visit to ensure they remain sealed and intact.

💡 Note: If you notice a sudden change in the color of your filling, such as a dark spot appearing near the margin, consult your dentist promptly, as this could indicate a leakage or a new cavity underneath.

What to Expect During Your Visit

If you are still anxious about the visual outcome, have an open discussion with your dentist before they begin. Ask them, "Based on the location of my cavity, what do fillings look like for this specific tooth?" Your provider can show you shade guides—small samples of color-matched materials—so you can see exactly how the composite will blend with your natural teeth. This collaborative approach ensures that you are satisfied not only with the function of the repair but with the cosmetic result as well.

Ultimately, the evolution of dental materials has made it easier than ever to maintain a natural-looking smile even after restorative work. Whether you require a traditional metal filling for structural strength or a modern composite resin for a nearly invisible finish, the primary objective remains the same: restoring your dental health. By selecting the right material for your needs and maintaining excellent hygiene, you can enjoy a durable, discreet repair that blends seamlessly with your natural teeth. Having a clear understanding of your options ensures that your dental health journey is free of unwanted surprises and centered on achieving the best possible aesthetic outcome.

Related Terms:

  • dental filling pictures
  • fillings before and after
  • how do teeth fillings work
  • types of tooth filling
  • getting fillings in teeth
  • why do teeth need fillings