Cleve

What Is Arthropathy

What Is Arthropathy

Understanding joint health is essential for maintaining mobility and overall quality of life. Many individuals experience discomfort in their joints without realizing there is a clinical term for their condition. If you have ever found yourself asking, "What is arthropathy?", you are not alone. Simply put, arthropathy is a general medical term used to describe any disease, disorder, or condition that affects the joints of the body. Unlike the specific term "arthritis," which implies inflammation, arthropathy is an umbrella term that encompasses both inflammatory and non-inflammatory joint issues.

Defining Arthropathy and Its Scope

At its core, arthropathy refers to any injury or pathological state that involves the joints. A joint is the point where two or more bones meet, allowing for movement. When these structures are damaged by disease, wear and tear, or injury, the resulting condition is classified as an arthropathy. Because the term is broad, it can range from mild, temporary discomfort to severe, chronic, and debilitating diseases that significantly impair daily function.

The classification of these conditions is typically based on the underlying cause, the location of the joint, and the nature of the symptoms. By understanding the breadth of this term, healthcare providers can better diagnose and create treatment plans tailored to the specific needs of the patient.

Common Types of Arthropathy

To fully grasp what is arthropathy, it is helpful to categorize the various forms. These are generally divided into inflammatory and non-inflammatory conditions. Below are the most frequently encountered types:

  • Osteoarthritis: A non-inflammatory, degenerative joint disease caused by the wear and tear of cartilage.
  • Rheumatoid Arthritis: A chronic inflammatory autoimmune disorder where the immune system attacks the joint lining.
  • Gouty Arthropathy: A form of arthritis caused by the accumulation of uric acid crystals in the joints.
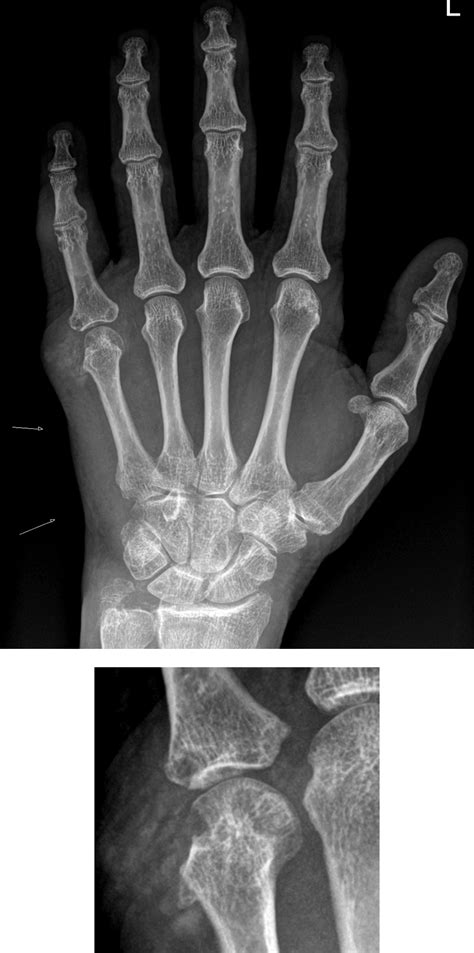
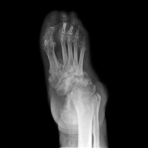
  • Neuropathic Arthropathy (Charcot Joint): A progressive degeneration of a weight-bearing joint, usually resulting from nerve damage.
  • Psoriatic Arthropathy: A type of inflammatory arthritis that occurs in people who have the skin condition psoriasis.

⚠️ Note: If you experience sudden, severe joint pain accompanied by redness, swelling, or fever, seek medical attention immediately, as this could indicate an underlying infection or acute trauma.

Symptoms and Clinical Presentation

Because arthropathy covers such a wide range of conditions, the symptoms can vary significantly. However, there are common red flags that medical professionals look for during a physical examination. Recognizing these early can prevent long-term damage to the joint structure.

Symptom Description
Joint Pain Can be dull, sharp, constant, or intermittent.
Stiffness Most noticeable after periods of inactivity, especially in the morning.
Swelling Fluid accumulation around the joint, often visible or palpable.
Deformity Changes in the alignment of the joint, common in advanced cases.
Loss of Range of Motion Inability to move the joint through its full natural arc.

Diagnostic Approaches

When a patient presents with symptoms, a physician must differentiate between the various forms of the condition to determine the best course of action. The diagnostic process usually involves a combination of clinical evaluations and advanced imaging techniques:

  • Physical Examination: Assessing range of motion, stability, and signs of tenderness.
  • Blood Tests: Checking for inflammatory markers like C-reactive protein (CRP) or specific antibodies.
  • Joint Aspiration: Removing fluid from the joint space to test for crystals or infection.
  • Medical Imaging: X-rays are standard for assessing bone integrity, while MRI scans are superior for identifying soft tissue or cartilage damage.

It is important to remember that because arthropathy is a symptom of an underlying issue, the diagnosis often focuses on finding the root cause rather than just labeling the joint pain itself.

Management and Treatment Strategies

Once a professional has answered the question "What is arthropathy?" for a specific patient, the focus shifts to management. While some forms are irreversible, many can be managed to significantly improve the patient's quality of life. Treatment strategies often involve a multidisciplinary approach.

Lifestyle Modifications: Maintaining a healthy weight reduces the load on weight-bearing joints like the knees and hips. Low-impact exercise, such as swimming or cycling, helps maintain joint flexibility without increasing mechanical stress.

Pharmacological Interventions: Non-steroidal anti-inflammatory drugs (NSAIDs) are frequently used to manage pain and reduce inflammation. In autoimmune cases, disease-modifying antirheumatic drugs (DMARDs) or biologic agents may be prescribed to halt the progression of the disease.

Physical Therapy: Working with a physical therapist can help strengthen the muscles surrounding the joint. Strong muscles act as a support system, reducing the burden on the joint capsule and cartilage.

Surgical Options: In severe cases where conservative treatments fail, surgical intervention—such as arthroscopic cleaning or total joint replacement—might be recommended to restore function.

💡 Note: Always consult with a healthcare professional before starting any new supplement or exercise regimen, as some activities may aggravate specific types of joint damage.

Preventative Measures

While not all forms of arthropathy can be prevented—especially those linked to genetics or systemic disease—there are proactive steps one can take to promote joint longevity. Consistency is key in maintaining musculoskeletal health over the decades. Avoiding repetitive high-impact activities, maintaining proper posture, and ensuring a diet rich in anti-inflammatory nutrients are simple ways to support joint health. Staying hydrated is also crucial, as cartilage relies on fluid content to remain resilient and shock-absorbent.

Ultimately, understanding what is arthropathy allows individuals to become more aware of their physical health and more proactive in seeking help. Whether you are dealing with age-related wear or an inflammatory condition, early intervention remains the gold standard for long-term health outcomes. By working closely with medical experts and adhering to a personalized treatment plan, most people can continue to lead active and fulfilling lives despite their diagnosis. Prioritizing joint health is not just about avoiding pain; it is about preserving the freedom of movement that is so vital to our daily human experience.

Related Terms:

  • what causes arthropathy
  • arthropathy definition
  • arthropathy meaning
  • what is facet arthropathy
  • is arthropathy a chronic condition
  • is arthropathy degenerative