Cleve

What Is Composite Bonding

What Is Composite Bonding

If you have ever found yourself staring into the mirror wishing you could fix a small chip, a gap, or a slight discoloration in your smile without undergoing invasive surgery, you have likely come across a popular cosmetic dentistry procedure. What is composite bonding, and why is it currently taking the world of aesthetic dentistry by storm? At its core, composite bonding is a versatile, non-invasive, and cost-effective treatment designed to improve the appearance of teeth using a tooth-colored resin material. By meticulously applying, shaping, and hardening this material, dentists can mask imperfections, reconstruct lost tooth structure, and provide patients with a renewed sense of confidence.

Understanding the Basics of Composite Bonding

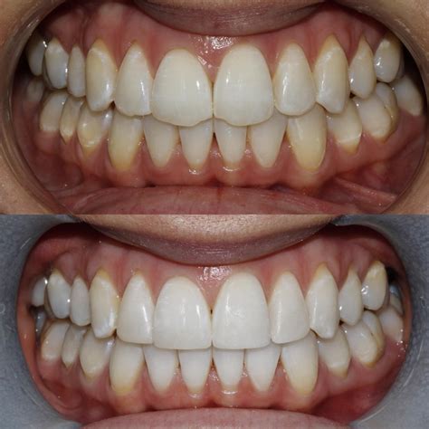
Composite bonding procedure overview

Composite bonding, often referred to as dental bonding, involves the application of a specialized composite resin—a durable plastic material—to the surface of your teeth. Unlike veneers, which often require removing a significant portion of the natural enamel, bonding is minimally invasive. Most patients find that they do not even require anesthesia, as the process is generally pain-free and preserves the natural integrity of the tooth.

The material used is a blend of plastic and glass particles that can be color-matched to your existing teeth, making the result appear completely natural. Because it is highly malleable before it sets, your dentist acts essentially like an artist, sculpting the material to fill gaps, elongate shorter teeth, or change the shape of an uneven smile.

Common Applications of Dental Bonding

Patients often seek out this treatment to address a wide variety of cosmetic concerns. Because the resin bonds directly to the tooth structure, it provides structural support as well as an aesthetic upgrade. Some of the most common reasons to choose this procedure include:

  • Repairing Chipped or Cracked Teeth: Even a minor chip can make a smile feel imperfect; bonding fills these voids seamlessly.
  • Closing Diastema: If you have unwanted gaps between your teeth, bonding can widen the edges to close those spaces.
  • Discoloration Masking: For stains that do not respond to professional whitening treatments, composite resin provides a bright, uniform cover.
  • Reshaping Teeth: Teeth that are naturally uneven or look too short can be elongated or rounded off to create a more harmonious smile line.
  • Protecting Exposed Roots: If gum recession has left your roots exposed, bonding can cover these areas to reduce sensitivity and protect the tooth.

The Step-by-Step Procedure

Understanding what is composite bonding also means understanding the ease of the process. The entire appointment usually lasts between 30 to 60 minutes per tooth, depending on the complexity of the repair.

  1. Preparation: Your dentist will use a shade guide to select the resin color that best matches your natural teeth.
  2. Etching: The surface of the tooth is slightly roughened and a conditioning liquid is applied. This creates a microscopic texture that allows the bonding material to adhere securely.
  3. Application: The dentist applies the putty-like composite resin, molding and smoothing it until it achieves the desired shape.
  4. Curing: A high-intensity blue light is used to harden the material. Once cured, the dentist may further trim and polish the tooth to ensure a perfect fit with your bite.

💡 Note: While bonding is very durable, the resin is not quite as strong as natural tooth enamel. Avoid using your bonded teeth as tools to open packages or biting down on hard objects like ice to prevent chipping.

Comparing Cosmetic Dental Options

To help you decide if this is the right path for your smile, the following table compares composite bonding with other popular aesthetic dental treatments.

Feature Composite Bonding Porcelain Veneers Dental Crowns
Invasiveness Very Low Moderate High
Cost Affordable High Highest
Appointment Time Single Visit Multiple Visits Multiple Visits
Longevity 3–7 years 10–15 years 15+ years

Maintaining Your Bonded Smile

Once your procedure is finished, maintaining the results is straightforward. The resin is susceptible to staining, just like natural enamel, so it is vital to stay consistent with your oral hygiene routine. Brushing twice daily and flossing are non-negotiable. Furthermore, limiting your intake of coffee, red wine, and tobacco products will significantly extend the life and brilliance of your bonding work.

⚠️ Note: Regular dental check-ups are essential. A dentist can polish your bonded teeth during your routine cleanings, which helps maintain their luster and prevents the resin from becoming dull over time.

Is This Procedure Right for You?

The beauty of this treatment lies in its accessibility. If you are looking for a subtle enhancement or a quick fix for a minor aesthetic flaw, composite bonding is an excellent choice. However, it is important to consult with a dental professional to determine if you are an ideal candidate. Individuals with severe tooth decay or significant structural damage might require more comprehensive treatments like crowns or bridges. During a consultation, your dentist will examine your bite and the health of your enamel to ensure that bonding provides the longevity and aesthetic appeal you desire.

Ultimately, composite bonding stands out as a bridge between simple restorative care and complex cosmetic surgery. By understanding what is composite bonding, you can take an informed step toward improving your oral health and aesthetics. With its ability to instantly transform small imperfections into a polished, natural-looking smile, it remains a favorite for patients seeking quick, effective, and minimally invasive results. As you weigh your options, remember that the success of the procedure relies on both the skill of your dental provider and your commitment to daily maintenance. Choosing this path offers a realistic and highly personalized way to enhance the smile you share with the world every day.

Related Terms:

  • composite bonding pros and cons
  • how strong is composite bonding
  • what is composite bonding teeth
  • composite bonding procedure
  • how does composite bonding work
  • what does composite bonding do