Cleve

What Is Root Filling

What Is Root Filling

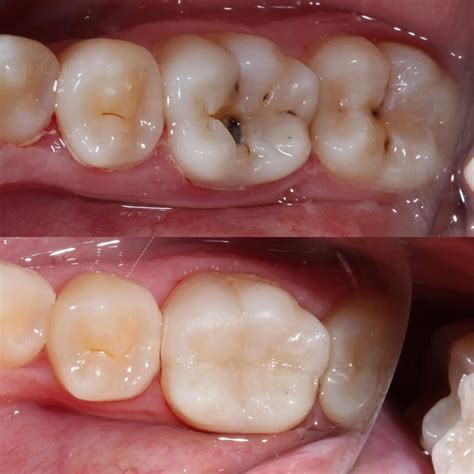
When you experience persistent tooth pain, sensitivity to hot or cold, or discomfort while chewing, your dentist might suggest a specific procedure to save your natural tooth. Many patients often ask, "What is root filling?" and feel a sense of apprehension. In reality, a root canal treatment—often referred to as a root filling—is a standard dental procedure designed to eliminate bacteria from an infected root canal, prevent reinfection, and save the natural tooth. By understanding the process, you can move past the common myths and approach your dental health with confidence.

Understanding the Need for a Root Filling

To grasp the answer to "What is root filling?", you must first understand the anatomy of a tooth. Beneath the hard white enamel and the layer called dentin is a soft tissue known as the pulp. This pulp contains blood vessels, nerves, and connective tissue, which play a vital role in the growth and development of the tooth during childhood. Once a tooth is fully mature, it can survive without the pulp because it is nourished by the tissues surrounding it.

A root filling becomes necessary when the pulp becomes inflamed or infected. This can occur due to a variety of reasons:

  • Deep decay or cavities that reach the nerve chamber.
  • Repeated dental procedures on the same tooth.
  • Large, cracked, or chipped teeth that expose the inner pulp.
  • Trauma or injury to the tooth, even if there is no visible crack.

If this inflammation or infection is left untreated, it can cause severe pain, lead to an abscess, or result in the complete loss of the tooth. The primary goal of a root filling is to clean out the infected area and seal it, allowing the tooth to remain functional in your mouth.

The Procedure: What Happens During a Root Filling?

Many patients are surprised to learn that a root canal is a methodical, sterile process that is no more painful than getting a standard filling. Here is a breakdown of what happens during the appointment:

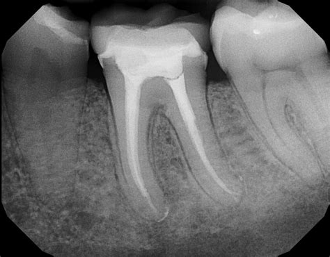
  1. Diagnosis and X-rays: Your dentist will take X-rays to see the shape of the root canals and determine if there are signs of infection in the surrounding bone.
  2. Anesthesia: Local anesthesia is administered to numb the tooth and the surrounding area, ensuring you remain comfortable throughout.
  3. Accessing the Pulp: A small access hole is drilled into the crown of the tooth to reach the pulp chamber.
  4. Cleaning and Shaping: Using specialized dental files, the infected pulp and bacteria are removed. The canals are then shaped to be filled.
  5. Disinfection: The canals are cleaned with antimicrobial solutions to ensure all bacteria are eliminated.
  6. Filling the Canal: The cleaned canals are filled with a biocompatible material, usually a rubber-like substance called gutta-percha, and sealed with an adhesive cement.
  7. Restoration: Finally, the access hole is filled with a temporary or permanent filling. A crown is often recommended afterward to protect the tooth.

⚠️ Note: You might experience some mild sensitivity or discomfort for a few days after the procedure as the tissue around the tooth heals. Over-the-counter pain medication is usually sufficient to manage this.

Comparison of Treatment Options

When deciding whether to opt for a root filling versus an extraction, consider the long-term impact on your dental health. The following table highlights why saving a natural tooth is generally preferred.

Feature Root Canal/Filling Tooth Extraction
Preservation Saves natural tooth structure Results in tooth loss
Aesthetics Maintains natural smile Requires a bridge or implant
Function Normal chewing ability May require replacement
Cost-Effectiveness Generally less expensive than implants High cost for replacements

Caring for Your Treated Tooth

Once you have successfully undergone the procedure, it is important to treat the tooth with care. Even though the nerve has been removed, the tooth structure remains. Because the tooth can become brittle over time without the internal blood supply, your dentist may suggest a dental crown to provide structural support and prevent fracturing. Good oral hygiene—including daily brushing and flossing—is essential to prevent secondary decay. Regular dental check-ups are also vital to ensure the tooth remains healthy and the seal stays intact.

💡 Note: Avoid biting down on extremely hard foods (like ice or hard candies) with the treated tooth until it has been fully restored with a permanent crown, as this can cause the tooth to crack.

Signs That You Might Need Intervention

If you are still wondering "What is root filling?" because you aren't sure if you need one, look for these specific warning signs. Early intervention is key to saving your tooth. Common indicators include:

  • Persistent toothache that may radiate to your jaw or ear.
  • Extreme sensitivity to hot or cold temperatures that lingers after the stimulus is removed.
  • Swelling or tenderness in the gums surrounding a specific tooth.
  • A pimple-like bump on the gums (an abscess).
  • Darkening or discoloration of the tooth.

If you notice any of these symptoms, schedule an appointment with your dentist as soon as possible. Ignoring these signs can lead to the spread of infection, which could affect your jawbone or overall health.

Choosing to undergo a root filling is a proactive step toward maintaining your long-term oral health. By removing the source of infection and preserving your natural tooth, you avoid the complications associated with tooth loss, such as shifting teeth or the need for expensive dental replacements. While the procedure often carries an unfair reputation for being uncomfortable, modern dental technology and local anesthesia have made it a efficient and painless experience for most patients. By prioritizing regular check-ups and addressing dental pain early, you can enjoy a healthy, functional smile for years to come. Remember that your dentist is your best resource for personalized advice, so do not hesitate to discuss any concerns you have about the health of your teeth and the necessity of treatment.

Related Terms:

  • root filling dental
  • dental root filling procedure
  • root filling molar
  • root filled tooth
  • root cavity filling
  • root filling premolar