Cleve

What Is Usher Syndrome

What Is Usher Syndrome

When families receive a diagnosis of a genetic condition, the initial journey is often filled with questions and a desire for clarity. A common question that arises in the medical community is, What Is Usher Syndrome? Put simply, this is a rare genetic disorder that primarily affects both hearing and vision. It is characterized by the combination of hearing loss and a progressive eye disorder known as retinitis pigmentosa (RP). Because it impacts two of our most vital senses, understanding the underlying mechanisms of the syndrome is crucial for those navigating the condition or supporting a loved one who does.

Understanding the Core Symptoms of Usher Syndrome

The clinical presentation of the syndrome is distinct, yet it varies from person to person. Because it is a genetic condition, it is typically inherited in an autosomal recessive pattern, meaning both parents must carry the gene mutation to pass it on to their child. The primary symptoms include:

  • Sensorineural Hearing Loss: This type of hearing loss occurs due to issues with the inner ear or the auditory nerve. It is often present from birth or develops in early childhood.
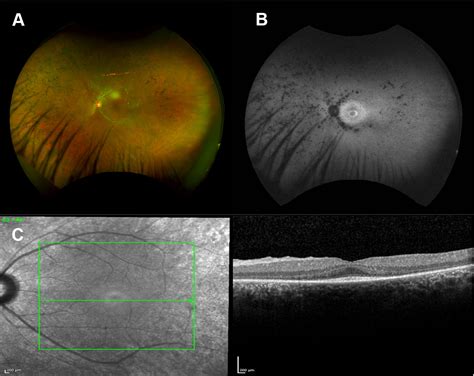
  • Retinitis Pigmentosa (RP): This is a progressive condition that causes the light-sensing cells in the retina to deteriorate. It usually starts with night blindness and progresses to a narrowing of the visual field, often referred to as "tunnel vision."
  • Vestibular Dysfunction: Many individuals with this syndrome experience balance issues, which are managed by the inner ear. This can lead to delays in motor development, such as walking, in younger children.

The Three Main Clinical Types

To better understand What Is Usher Syndrome, medical professionals categorize the condition into three distinct types. These classifications are based on the severity of the hearing loss, the presence of balance issues, and the age at which the vision loss begins to manifest.

Type Hearing Loss Balance Issues Vision Changes
Type I Severe to profound at birth Significant Early childhood (often before age 10)
Type II Moderate to severe at birth Usually normal Late adolescence or early adulthood
Type III Progressive (starts normal/mild) Variable Variable onset in adulthood

💡 Note: While these classifications exist, genetic testing is the most accurate way to confirm the specific type of Usher Syndrome an individual may have, as symptoms can overlap significantly between categories.

Diagnostic Processes and Genetic Testing

Diagnosing this condition requires a multi-disciplinary approach. Typically, it begins with an audiogram to assess hearing capabilities, followed by an ophthalmologic exam to evaluate the retina. Because the vision loss in retinitis pigmentosa is progressive, regular check-ups are essential to monitor changes.

Genetic testing has become a cornerstone in determining the root cause of the syndrome. By identifying specific gene mutations—such as MYO7A or USH2A—doctors can provide a more accurate prognosis and connect families with appropriate genetic counseling. Understanding the genetic profile is not just about the label; it is about empowerment and informed decision-making for future care.

Living with the Condition: Management and Support

While there is currently no cure for the syndrome, there are numerous strategies available to improve the quality of life for those affected. Technology plays a massive role in bridging the gap caused by sensory loss. Hearing aids and cochlear implants are often utilized to manage hearing loss, while orientation and mobility training help individuals navigate their environments safely as vision changes occur.

Communication strategies also evolve over time. For many, learning American Sign Language (ASL) or other tactile communication methods ensures that they stay connected to their community. Social and emotional support is equally vital. Engaging with advocacy groups and peer support networks helps individuals realize that while the diagnosis is life-changing, it does not define their capabilities or limit their potential for a fulfilling life.

Future Outlook and Research

The landscape of research regarding What Is Usher Syndrome is shifting rapidly. Scientists are currently exploring various therapeutic interventions, including gene therapy, which aims to correct or compensate for the mutated genes responsible for the sensory loss. Additionally, stem cell research and neurotrophic factor delivery are being investigated as potential methods to slow the progression of retinal degeneration.

These advancements offer a beacon of hope for the future. As genetic research becomes more sophisticated, the ability to intervene earlier in the disease process becomes a tangible reality rather than just a theoretical possibility. Clinical trials remain a vital part of this progress, and patient participation continues to drive the discovery of new, effective treatments.

Reflecting on the nature of this complex condition, we see that it requires a holistic approach to care. By addressing the physical challenges of hearing and vision loss through early detection, adaptive technology, and supportive therapy, individuals can lead independent and successful lives. The combination of genetic understanding and community support serves as the backbone of navigating this journey. As research continues to accelerate, the focus remains firmly on improving accessibility, enhancing daily living, and fostering a deeper, more inclusive understanding of the condition across the medical field and society at large.

Related Terms:

  • usher syndrome in adults
  • what is usher syndrome nhs
  • what causes usher syndrome
  • usher syndrome types
  • usher syndrome fact sheet
  • what is usher syndrome called