Cleve

When Do Molars Come In

When Do Molars Come In

Watching your child grow is a journey filled with exciting milestones, from their first smile to their first steps. However, few developmental phases are as notoriously difficult for both parents and babies as the emergence of teeth. If you find yourself frequently asking, "When do molars come in?" you are certainly not alone. Understanding the timeline of dental development is crucial for preparing for the discomfort that often accompanies these particular teeth, as molars are significantly larger and more complex than the incisors that appear first.

Understanding the Dental Timeline

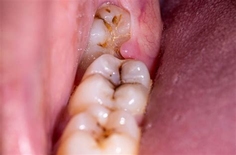
Teething is a unique process for every child. While there are general medical guidelines, it is perfectly normal for babies to deviate slightly from these averages. Molars are the flat, broad teeth located at the back of the mouth, designed for grinding food. Because they are wider and have more surface area, their eruption can sometimes be more painful than the initial, sharper teeth.

Primary teeth, often called "baby teeth," typically arrive in a specific sequence. While the front teeth usually emerge during the first year, the molars take a bit longer to make their appearance.

Also read: Face Fat Plastic Surgery

When Do Molars Come In: The General Schedule

To give you a clearer picture of what to expect, we can categorize molar eruption into two distinct sets. Your child will first experience the arrival of their primary (baby) molars, followed much later by their permanent (adult) molars. Understanding the difference between these two stages is essential for your child's long-term oral health.

Molar Type Estimated Eruption Age
First Primary Molars 13 to 19 months
Second Primary Molars 23 to 33 months
First Permanent Molars 6 to 7 years
Second Permanent Molars 11 to 13 years
Third Molars (Wisdom Teeth) 17 to 21 years

Recognizing the Symptoms of Molar Teething

Because molars are larger than other teeth, the symptoms of their eruption can feel more intense to a toddler. It is important to distinguish between normal teething discomfort and signs of illness. If your child is exhibiting severe distress, a high fever, or prolonged diarrhea, always consult your pediatrician, as these are rarely caused by teething alone.

Common signs that your child’s molars are pushing through include:

  • Excessive Drooling: Increased saliva production is a natural byproduct of teething.
  • Swollen or Tender Gums: You may notice red, puffy areas in the back of the mouth.
  • Irritability: Your child may be more clingy or prone to outbursts due to the discomfort.
  • Chewing on Objects: The pressure of chewing helps alleviate the aching sensation in the gums.
  • Disrupted Sleep Patterns: Many toddlers experience night waking during the days leading up to a molar breaking the gum line.
  • Changes in Appetite: Because the back of the mouth feels tender, your child might be reluctant to eat solid foods temporarily.

💡 Note: While these symptoms are common, if you notice localized bleeding or an abscess in the gum tissue, schedule an appointment with a pediatric dentist as soon as possible.

How to Help Your Toddler During Molar Eruption

When you are navigating the phase where molars are active, your primary goal is to provide relief for your child. There are several safe and effective ways to soothe sore gums without resorting to harsh medications immediately. Consistency and comfort are your best tools during this time.

  • Cold Compresses: A clean, chilled washcloth can be given to your child to chew on. The cold temperature acts as a natural anesthetic for inflamed gums.
  • Rubber Teethers: Look for solid rubber teething toys that can be refrigerated. Avoid liquid-filled teethers that could potentially puncture or leak.
  • Gentle Gum Massage: With a clean finger or a silicone finger brush, apply gentle pressure to the area where the molar is erupting.
  • Cold Foods: If your child is eating solids, offering chilled yogurt, applesauce, or soft, cold fruit can provide a cooling sensation.

The Importance of Oral Hygiene During Teething

Even before the molars fully emerge, it is vital to establish a routine. Once the first tooth appears, you should begin brushing twice a day with a soft-bristled toothbrush and a tiny smear of fluoride toothpaste. As molars are notorious for trapping food particles in their deep grooves, they are highly susceptible to cavities.

When the molars have fully emerged, start teaching your child the importance of reaching those back areas of the mouth. Modeling good behavior is the most effective way to instill long-term habits. You can make brushing fun by playing a two-minute song or using an app designed for toddlers to track their dental hygiene progress.

When to See a Dentist

A common question often follows the query "When do molars come in?" and that is: "When should we see a dentist?" The American Academy of Pediatric Dentistry recommends that children have their first dental visit by their first birthday or within six months of the first tooth erupting. Regular checkups ensure that the molars are coming in correctly and that there is enough space in the jaw for them to erupt without crowding.

Early intervention is key to preventing decay. If you notice dark spots, pits, or constant complaining of pain in the back of the mouth, do not wait for the scheduled checkup. Dental professionals can provide specialized advice on sealants, which are thin protective coatings applied to the chewing surfaces of the molars to prevent cavities in those difficult-to-clean crevices.

Final Thoughts on the Teething Journey

Navigating the arrival of molars requires patience and attentiveness, but remember that this is a temporary stage in your child’s development. By staying informed about the timeline and recognizing the signs of discomfort, you can better support your little one through the transition. Maintaining a focus on gentle, consistent hygiene practices from the moment these teeth appear will ensure your child sets the foundation for a healthy, confident smile that lasts a lifetime. Whether you are dealing with the first set of baby molars or preparing for the arrival of permanent ones in the future, staying proactive and communicative with your dentist will make the process much smoother for everyone involved.

Related Terms:

  • back molars what age
  • 7 year old molars
  • 14 year molars
  • 8 year old molars
  • when do children grow molars
  • first adult molars