Mayo

White Marks Teeth

White Marks Teeth

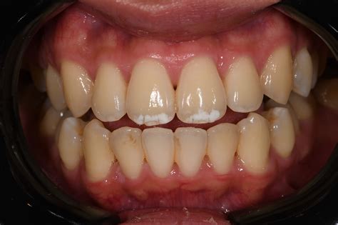
Discovering white marks teeth when you look in the mirror can be a surprising and often concerning experience. While many people strive for a whiter smile, these specific spots often appear as chalky, opaque patches that stand out against the natural, slightly translucent color of your enamel. These blemishes are not just a cosmetic nuisance; they can sometimes serve as an indicator of underlying dental health issues that require attention. Understanding why these spots appear and how to manage them is the first step toward restoring your confidence and maintaining optimal oral hygiene.

Understanding the Causes of White Spots

The appearance of white marks teeth is rarely random. It is usually the result of a process called demineralization, where the minerals—primarily calcium and phosphate—are leached from the surface of your enamel. This leads to the following common causes:

  • Dental Fluorosis: This occurs when a person consumes excessive amounts of fluoride during the years their permanent teeth are still developing under the gums. It typically results in very faint, white, lace-like markings.
  • Enamel Hypoplasia: A condition where the enamel does not form properly due to nutritional deficiencies, illness, or trauma during development, leading to thinner or missing enamel in certain areas.
  • Demineralization (Early Cavities): Often seen around orthodontic brackets, this is the most common cause of white spots. Bacteria in dental plaque produce acids that strip away minerals, creating a chalky white lesion that acts as the precursor to a cavity.
  • Dietary Habits: High consumption of acidic foods, sodas, and sugary snacks can weaken the enamel surface over time, making it susceptible to these localized patches.

Comparing Common Causes

Condition Primary Trigger Appearance
Fluorosis Excessive fluoride intake during development Faint white lines or spots
Demineralization Plaque buildup/Acidic environment Chalky, opaque spots
Enamel Hypoplasia Developmental issues or genetics Grooves, pits, or discolored patches

How to Address White Marks on Teeth

Once you have identified that you have white marks teeth, the strategy for treatment depends largely on the severity and the root cause. If the spots are early-stage demineralization, you might be able to reverse or stabilize the condition through remineralization techniques. If the spots are developmental, such as fluorosis, you may need professional cosmetic interventions.

Here are some effective steps to manage these imperfections:

  • Improve Oral Hygiene: Brush at least twice a day with a high-quality fluoride toothpaste. If you wear braces, consider using interdental brushes to clear away food particles that promote acid buildup.
  • Topical Fluoride Treatments: Using prescribed fluoride varnish or gels can help remineralize the enamel, strengthening the weakened areas and potentially reducing the visibility of the spots.
  • Professional Teeth Whitening: Sometimes, the contrast between the white spot and the rest of the tooth makes it look worse. Professional whitening can help unify the color of your teeth, making the marks less noticeable.
  • Enamel Microabrasion: This is a minimally invasive procedure where a dentist gently removes a very thin layer of enamel to even out the surface and improve the aesthetic appearance.
  • Dental Bonding or Veneers: For deeper or more permanent stains that do not respond to remineralization, cosmetic dentistry options like resin bonding or porcelain veneers offer a way to completely cover the affected area.

⚠️ Note: Always consult with a dental professional before starting any aggressive whitening regimen. If the white spots are caused by structural enamel issues, over-the-counter bleaching kits may increase tooth sensitivity without actually fixing the discoloration.

Prevention Strategies for a Healthy Smile

Maintaining a bright and uniform smile is much easier than fixing dental issues after they have already set in. To prevent future white marks teeth, you should prioritize a routine that supports enamel integrity. This involves balancing your diet and being mindful of your dental hygiene habits.

Consider the following preventative habits:

  • Reduce Acidic Exposure: Limit the intake of soft drinks, citrus juices, and energy drinks. If you do consume them, use a straw to minimize direct contact with your teeth and rinse your mouth with water afterward.
  • Maintain Regular Checkups: Visiting your dentist every six months allows for the early detection of demineralization. Catching these spots early is essential, as they can often be reversed before they become full-blown cavities.
  • Balanced Nutrition: Ensure your diet includes adequate calcium, Vitamin D, and phosphorus, which are vital for maintaining the strength of your tooth enamel throughout your life.
  • Proper Brushing Technique: Avoid aggressive brushing, which can wear down the enamel over time. Use a soft-bristled toothbrush and focus on circular, gentle motions to clean the gum line effectively.

Lifestyle Adjustments for Oral Health

Beyond the basics, your lifestyle choices significantly impact the longevity of your dental health. Smoking or using tobacco products can exacerbate issues with enamel staining and gum health, which can make any underlying tooth imperfections appear more pronounced. Similarly, staying hydrated is crucial. Saliva is your mouth’s natural defense against acid; it neutralizes plaque acids and provides essential minerals that help keep your enamel strong. Drinking plenty of water, especially after meals, helps wash away food debris and encourages the production of protective saliva.

If you have recently had orthodontic treatment removed and noticed white marks teeth, don't panic. These are quite common and are usually the result of plaque accumulation around the metal fixtures. Speak with your orthodontist or general dentist about potential remineralization treatments. Often, these marks become less visible over time as the saliva naturally re-establishes the mineral balance on the tooth surface, provided that you maintain a consistent and rigorous oral hygiene routine moving forward.

💡 Note: For children, it is vital to monitor fluoride intake, especially from toothpaste, to prevent the development of fluorosis. Always ensure children spit out their toothpaste rather than swallowing it to protect their developing enamel.

Taking care of your dental health is an investment in your overall well-being. Identifying the cause of white spots early allows you to address the problem effectively, whether through simple hygiene adjustments or professional guidance. By staying consistent with your brushing, flossing, and regular dental visits, you can effectively manage these marks and work toward achieving a healthy, uniform, and radiant smile. Remember that every small change in your routine contributes to the long-term strength and beauty of your teeth, ensuring they remain protected for years to come.

Related Terms:

  • white spot on tooth overnight
  • hard white spots on teeth
  • white spots on teeth adults
  • bright white spot on tooth
  • white spots on teeth meaning
  • white deposits on teeth