Cleve

Wisdom Teeth Growing In

Wisdom Teeth Growing In

Discovering that you are experiencing wisdom teeth growing in can be a source of significant anxiety and physical discomfort. As the final set of molars to emerge, typically during the late teens or early twenties, these teeth often lack the necessary space in the jaw to erupt properly. This biological mismatch frequently leads to complications, making it essential to recognize the early warning signs and understand how to manage the process effectively. Whether you are dealing with mild sensitivity or persistent pain, being informed about what to expect is the first step toward maintaining your oral health.

Signs and Symptoms of Wisdom Teeth Development

The journey of wisdom teeth growing in is rarely symptom-free. Because your jaw may be too small to accommodate these extra molars, they often become “impacted,” meaning they are trapped beneath the gum line or against existing teeth. Recognizing these symptoms early can help you seek professional dental care before the situation escalates into a severe infection.

  • Persistent Pain: A dull ache or sharp, radiating pain at the very back of the mouth, near the jaw joints.
  • Swelling and Tenderness: The gum tissue around the area often becomes red, puffy, and sore to the touch.
  • Jaw Stiffness: You may find it difficult to open your mouth fully or notice discomfort when chewing.
  • Bad Breath or Unpleasant Taste: Impacted teeth can create pockets where bacteria hide, leading to persistent halitosis.
  • Headaches or Earaches: The pressure from emerging teeth can sometimes cause referred pain in surrounding areas of the face.

Common Complications Associated with Wisdom Teeth

When teeth do not emerge in an ideal position, they can cause a cascade of dental problems. It is crucial to monitor the progress of your wisdom teeth growing in to avoid long-term structural issues with your smile.

Complication Description
Pericoronitis An infection of the gum tissue surrounding the crown of a partially erupted tooth.
Crowding The pressure from wisdom teeth can push adjacent teeth out of alignment.
Cysts or Tumors Fluid-filled sacs can develop around an impacted tooth, potentially damaging the jawbone.
Cavities Due to their location, these teeth are extremely difficult to clean, leading to decay.

Managing Discomfort at Home

While you wait for your dental appointment, there are several conservative measures you can take to alleviate the discomfort caused by wisdom teeth growing in. These steps focus on reducing inflammation and keeping the area clean to prevent infection.

  • Saltwater Rinses: Mix a half-teaspoon of salt in warm water and rinse gently. This helps reduce bacteria and soothe inflamed gums.
  • Cold Compresses: Apply an ice pack to the outside of your cheek for 15-minute intervals to reduce swelling and numb the area.
  • Over-the-Counter Pain Relief: Anti-inflammatory medications, such as ibuprofen, are often effective in managing the swelling and pain associated with tooth eruption.
  • Soft Food Diet: Stick to yogurt, smoothies, soups, and mashed vegetables to avoid irritating the sensitive gum tissue during chewing.

⚠️ Note: If you experience a fever, swelling that extends to your neck or under your eyes, or difficulty swallowing, contact an emergency dentist immediately, as these may be signs of a systemic infection.

Professional Assessment and Treatment Options

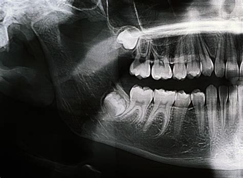
Once you suspect that your wisdom teeth are causing issues, a professional evaluation is non-negotiable. Dentists typically use panoramic X-rays to view the orientation and proximity of the teeth to your nerves and sinuses. If the teeth are impacted or causing damage to neighboring structures, extraction is usually the recommended course of action.

The extraction process has become highly refined over the years. Modern surgical techniques, combined with advancements in anesthesia and sedation, ensure that patients experience minimal discomfort. Recovery typically lasts a few days, during which time it is vital to follow post-operative instructions—such as avoiding straws, vigorous rinsing, and smoking—to prevent the occurrence of “dry socket,” a condition where the blood clot protecting the surgical site is dislodged.

The Importance of Ongoing Oral Hygiene

Even if you aren’t currently in pain, maintaining a rigorous hygiene routine is essential when you feel your wisdom teeth growing in. Use an extra-soft toothbrush to gently clean the hard-to-reach areas at the back of the mouth. If you have difficulty reaching these spots, consider using an interdental brush or a water flosser to dislodge food particles that may be trapped in the gum folds. Routine dental check-ups remain the most effective tool in your arsenal, as they allow your dentist to track the movement of these teeth before they become a major health concern.

💡 Note: Always consult with your dental provider before starting any new pain management regimen, especially if you have existing health conditions or are taking other medications.

Understanding the process of wisdom teeth growing in empowers you to take control of your oral health rather than falling victim to sudden pain. By identifying early symptoms, maintaining diligent hygiene, and consulting with a professional when necessary, you can mitigate the complications associated with these final molars. Whether your teeth emerge without incident or require surgical removal, the key to a healthy mouth is proactive care and consistent communication with your dental team. Prioritizing these steps will help ensure that the transition into adulthood remains focused on your overall well-being and a healthy, pain-free smile.

Related Terms:

  • wisdom teeth growing in symptoms
  • wisdom teeth growing sideways
  • wisdom teeth growing in pain
  • impacted wisdom teeth
  • Wisdom Teeth Coming In
  • Wisdom Tooth Growing Pain