Cleve

Wrist Bone Sticking Out

Wrist Bone Sticking Out

Have you ever glanced down at your arm, rotated your hand, and suddenly felt a moment of alarm because you noticed a wrist bone sticking out more than usual? While it is easy to jump to the conclusion that you have suffered a fracture or a severe dislocation, the reality is often much more nuanced. The anatomy of the human wrist is a complex collection of bones, tendons, and ligaments that change prominence depending on your hand position, physical activity, and even individual physiology. Understanding why this protrusion occurs is the first step toward determining whether it is a harmless anatomical feature or a signal that you need to seek professional medical advice.

Understanding the Anatomy of the Wrist

The wrist is not a single joint but a complex of several small bones called carpals, which connect the forearm bones—the radius and the ulna—to the hand. The bump you see is most commonly the ulnar styloid process, which is the bony protrusion at the end of the ulna (the bone on the side of your pinky finger). In many people, this structure is naturally prominent, especially when the hand is turned palm-down or tilted toward the side.

Factors that influence the visibility of these bones include:

  • Individual Anatomy: Some individuals naturally have a lower percentage of body fat or a skeletal structure that makes bony landmarks more visible.
  • Range of Motion: When you rotate your forearm (pronation and supination), the ulna and radius move around each other, which can make the ulnar head seem to "pop out."
  • Soft Tissue Volume: A decrease in muscle mass or a change in soft tissue thickness can make the underlying bones appear more pronounced.

Common Causes for a Protruding Wrist Bone

While often normal, a wrist bone sticking out can sometimes indicate an underlying issue. It is important to differentiate between a static anatomical feature and a new, sudden protrusion. Below is a table detailing common causes and their primary characteristics:

Condition Characteristics Typical Symptom
Normal Anatomy Visible at all times or during movement. No pain or limited mobility.
Ganglion Cyst Soft, fluid-filled lump near the joint. Fluctuating size, occasional ache.
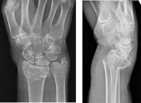
Distal Radius Fracture Sudden onset after trauma. Sharp pain, severe swelling, bruising.
DRUJ Instability Bone shifts during rotation. Clicking, popping sensation, instability.
Arthritis Bone spurs or joint swelling. Stiffness, dull ache, morning pain.

⚠️ Note: If the protrusion appeared suddenly following a fall or impact, avoid moving the wrist and apply an ice pack wrapped in a cloth before seeking immediate care to prevent further tissue damage.

Differentiating Between Harmless Protrusions and Injury

Distinguishing between a benign anatomical quirk and a medical issue comes down to context and symptoms. If the bone has been in that position for years and causes no discomfort, it is highly likely to be a normal part of your skeletal structure. However, you should pay close attention if you notice the following "red flag" symptoms:

  • Persistent Pain: Any chronic or sharp pain around the wrist joint is a sign that something is mechanically incorrect.
  • Swelling and Bruising: These are classic signs of inflammation or acute injury.
  • Numbness or Tingling: This often suggests that the protrusion is putting pressure on the nerves passing through the carpal tunnel.
  • Limited Range of Motion: If you cannot rotate your wrist fully without pain or a "locking" sensation, consult a specialist.

When to See a Doctor

If you notice your wrist bone sticking out and it is accompanied by functional limitations, it is time to consult an orthopedist or a physical therapist. A medical professional will typically perform a physical examination to check for stability and may order diagnostic imaging, such as an X-ray, to rule out fractures, ligament tears, or severe arthritis.

Do not attempt to push or "snap" the bone back into place if you feel a protrusion. Forcing movement on an injured joint can lead to permanent ligament damage or displaced bone fragments. Instead, immobilize the area with a brace or a soft wrap until you can be evaluated by a healthcare professional.

💡 Note: Documenting when you first noticed the bump and any specific activities that trigger pain can provide your doctor with valuable information for a quicker, more accurate diagnosis.

Managing Mild Wrist Discomfort

If your doctor confirms that the protrusion is not a serious injury but rather a result of minor inflammation or repetitive strain, they might suggest conservative management strategies. These techniques are designed to reduce inflammation and stabilize the wrist without the need for invasive procedures.

  • Wrist Bracing: Using a neutral wrist splint during sleep or repetitive tasks can help reduce strain on the joint.
  • Ergonomic Adjustments: Ensure your workspace is set up so that your wrists are in a neutral position while typing or using a mouse.
  • Targeted Stretching: Gentle wrist flexor and extensor stretches can improve flexibility and blood flow to the area.
  • Anti-inflammatory Measures: Applying topical gels or utilizing cold therapy after heavy activity can soothe the area around the bony prominence.

Ultimately, the prominence of your wrist bones is usually a standard variation of human biology. While the visual impact of a wrist bone sticking out can be concerning, it is rarely a cause for alarm when no pain or functional impairment is present. By monitoring your symptoms and listening to your body, you can distinguish between a natural anatomical landmark and a condition that requires medical intervention. If you ever feel unsure, professional guidance from an orthopedic specialist provides the best path to peace of mind and, if necessary, an effective treatment plan to maintain your wrist health for years to come.

Related Terms:

  • small lump on wrist bone
  • wrist bone that protrudes
  • small bone protruding from wrist
  • bony prominences of the wrist
  • bone on wrist looks raised
  • bone spur on wrist pictures