Cleve

X Ray Normal Hand

X Ray Normal Hand

When you visit a medical imaging department after a sudden injury or persistent discomfort, the first step in diagnosing your hand is almost always a diagnostic imaging scan. Seeing an X Ray Normal Hand is often the baseline that radiologists use to compare against potential fractures, dislocations, or soft tissue irregularities. Understanding what a healthy hand looks like on a radiograph can help patients feel more at ease and better understand the information their healthcare provider is sharing. Whether you are dealing with a minor sprain or just curious about anatomy, the standard radiographic projection of the hand provides a wealth of information about the structural integrity of your bones and joints.

Understanding the Anatomy of the Hand

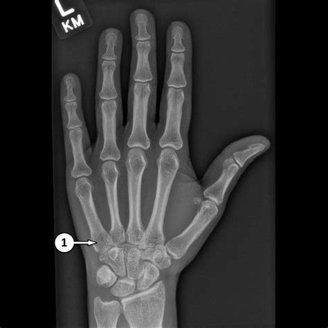
The human hand is a marvel of biological engineering, consisting of 27 individual bones. When a technician captures an X Ray Normal Hand, they are looking for specific structures that demonstrate proper alignment and density. The hand is broadly divided into three main sections, all of which are clearly visible on a standard radiographic projection:

  • Carpals: The eight small, irregular bones that make up the wrist (carpus). These act as a bridge between the forearm bones and the hand.
  • Metacarpals: The five bones that extend through the palm of the hand. These are numbered I through V, starting from the thumb.
  • Phalanges: The bones of the fingers. Each finger consists of three phalanges (proximal, middle, and distal), while the thumb contains only two.

In a healthy, asymptomatic individual, these bones show smooth cortical edges, clear joint spaces, and no evidence of fragmentation. Radiologists examine these components to ensure there are no subtle hairline fractures or signs of chronic degeneration that might be mistaken for normal aging.

What to Expect During the Imaging Procedure

Getting an X Ray Normal Hand is a quick and painless process. You will typically be asked to place your hand flat on the image receptor. The technologist will likely capture the hand in a few different angles, most commonly the posteroanterior (PA), oblique, and lateral views. These multiple angles are crucial because a single view might hide a fracture that overlaps with another bone.

View Purpose
Posteroanterior (PA) Provides a standard overview of the carpal, metacarpal, and phalangeal bones.
Oblique Helps visualize the overlapping bones of the mid-hand and reduces superimposition.
Lateral Essential for assessing the alignment of the joints and identifying displaced fractures.

💡 Note: Remove all jewelry, such as rings or watches, from the hand and wrist area before the procedure to prevent artifacts from appearing on the final image.

Interpreting the Radiographic Findings

When a physician analyzes an X Ray Normal Hand, they follow a systematic checklist to ensure nothing is overlooked. A "normal" report does not just mean "no broken bones"; it implies that the anatomy falls within the expected physiological range. The assessment typically involves evaluating the following criteria:

  • Joint Space Symmetry: Ensuring that the cartilage-covered spaces between bones remain uniform and show no narrowing, which could indicate arthritis.
  • Trabecular Pattern: Examining the internal, lattice-like structure of the bone. A normal X-ray shows a consistent, dense pattern without any dark spots or abnormal lesions.
  • Alignment: Checking that the bones are not tilted, rotated, or shifted in a way that suggests ligamentous injury.
  • Soft Tissue Shadows: While X-rays are primarily for bones, a skilled professional also checks the surrounding soft tissues for swelling or shadows that could suggest a hidden injury or foreign body.

Common Indicators of an Abnormal Hand X-Ray

While you may be hoping for an X Ray Normal Hand, it is helpful to know what doctors look for when they suspect pathology. Identifying these issues early is vital for preventing long-term damage to the hand's complex mechanical system. Deviations from the norm might include:

  • Fractures: A break in the continuity of the bone, ranging from subtle stress fractures to comminuted breaks.
  • Dislocations: Occurring when the bones of a joint are pushed out of their normal position, often requiring immediate reduction.
  • Osteoarthritis: Characterized by the loss of joint space and the presence of osteophytes, or bone spurs.
  • Bone Cysts or Tumors: Rare findings that appear as lucencies or dark, irregularly shaped areas within the bone structure.

💡 Note: If you experience persistent pain or swelling despite a normal radiographic report, consult with your healthcare provider about secondary imaging, such as an MRI or ultrasound, which are better suited for evaluating tendons and ligaments.

Importance of Professional Interpretation

The interpretation of medical imaging is a highly specialized skill. Even if you look at your own X Ray Normal Hand and see what appears to be a clear image, small nuances—such as a sesamoid bone variation or an accessory ossicle—can easily be misidentified by an untrained eye. Radiologists and orthopedic specialists have years of training to distinguish between anatomical variants, which are normal differences in bone shape, and actual pathological conditions.

By trusting the expertise of a professional, you ensure that your treatment plan, if one is needed, is based on accurate diagnostics. If your results come back clean, it provides peace of mind that your structural foundation remains intact, allowing you to focus on other potential causes of pain, such as muscle strain or nerve irritation, which do not show up on a standard radiographic scan.

Ultimately, obtaining an X-ray is the gold standard for ruling out serious structural damage to the hand. Whether the findings confirm a completely healthy hand or reveal a need for further investigation, the information gained is essential for your recovery journey. Always remember to discuss the findings with your primary care physician or orthopedist to align the radiographic report with your physical symptoms. Maintaining good bone health through proper nutrition and activity can help ensure that future examinations continue to show strong, healthy, and aligned structures in your hands for years to come.

Related Terms:

  • hand anatomy xray radiology
  • normal lateral xray hand
  • normal finger x ray
  • normal hand x ray image
  • normal hand lateral view
  • normal hand xray left