Cleve

Fusing Ankle Bones

Fusing Ankle Bones

Chronic ankle pain and instability can be debilitating, often preventing individuals from participating in daily activities or pursuing an active lifestyle. When conservative treatments such as physical therapy, bracing, or medication fail to provide lasting relief, orthopedic surgeons may recommend a surgical procedure known as arthrodesis. Often referred to as fusing ankle bones, this procedure is designed to permanently join the bones of the ankle joint to eliminate painful motion. By stabilizing the joint, surgeons can significantly improve a patient's quality of life and reduce the persistent agony caused by severe arthritis or long-term joint damage.

Understanding the Procedure of Fusing Ankle Bones

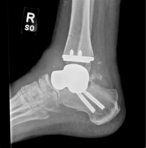
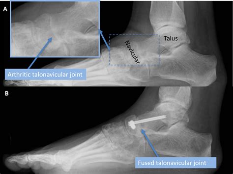
The primary goal of fusing ankle bones is to alleviate pain by stopping the grinding of damaged cartilage surfaces within the ankle joint. Over time, wear and tear, trauma, or underlying conditions like rheumatoid arthritis can cause the protective cartilage to deteriorate, leading to bone-on-bone contact. During the procedure, the surgeon removes the remaining damaged cartilage from the joint surfaces and secures the bones together using hardware like metal screws, plates, or rods. Over several months, the body’s natural healing process bridges these bones with new bone tissue, creating a solid, permanent unit.

While the prospect of losing motion in a joint may seem daunting, the outcomes for patients with end-stage arthritis are often transformative. By eliminating the source of friction and inflammation, patients frequently experience a drastic reduction in pain, allowing them to walk, work, and move with greater comfort than they have felt in years.

Not everyone with ankle pain is a candidate for surgery. Medical professionals typically explore non-surgical interventions first. However, when those efforts reach their limits, fusing ankle bones is considered in specific scenarios:

  • Post-Traumatic Arthritis: A previous fracture or severe injury has resulted in long-term joint degradation.
  • Severe Rheumatoid Arthritis: The joint has been irreversibly damaged by inflammatory processes.
  • Joint Instability: Recurrent ankle sprains or ligament failures have rendered the joint unable to support the body weight correctly.
  • Failed Joint Replacement: In cases where an ankle replacement has worn out or suffered complications, fusion often serves as a reliable "salvage" procedure.

⚠️ Note: Always consult with an orthopedic specialist who specializes in foot and ankle surgery to determine if fusion is the right path based on your specific joint health and activity levels.

Comparison of Surgical Options

When considering ankle surgery, patients often wonder how fusion compares to other alternatives like ankle replacement. The following table highlights the key differences between these approaches to help you understand why fusing ankle bones remains the gold standard for many patients.

Feature Ankle Fusion (Arthrodesis) Ankle Replacement (Arthroplasty)
Primary Goal Pain elimination through stability Pain relief with preserved motion
Longevity Permanent; once fused, it lasts a lifetime May require revision after 10–15 years
Recovery Time Longer; total non-weight bearing period Faster initial recovery
Best For High-impact users, manual laborers Sedentary or older individuals

The Recovery Process

The recovery journey after fusing ankle bones requires patience and commitment. Because the body needs time to grow new bone across the fusion site, the post-operative period is strictly managed.

  1. Immediate Post-Op: The ankle is usually placed in a splint or cast. Strict elevation is required to reduce swelling.
  2. Non-Weight Bearing Phase: For the first 6 to 12 weeks, patients typically cannot put any pressure on the operated foot. This is vital to ensure the hardware holds the bones in the correct position while they fuse.
  3. Transition to Weight Bearing: Once X-rays show signs of successful fusion, the doctor will gradually allow the patient to transition to a walking boot and eventually standard footwear.
  4. Rehabilitation: Physical therapy plays a crucial role in strengthening the muscles around the lower leg and retraining the gait cycle to compensate for the loss of ankle joint motion.

💡 Note: Smoking is strongly discouraged during the recovery phase, as nicotine can significantly impair bone healing and increase the risk of the fusion failing to unite properly.

Living with Fused Bones

A common fear regarding fusing ankle bones is the loss of flexibility. It is important to remember that while the ankle joint itself loses motion, the joints in the mid-foot often compensate over time to maintain a relatively natural walking pattern. Most patients find that they can return to low-impact activities like walking, cycling, and even playing golf once the healing process is complete. While high-impact activities such as running may be restricted to preserve the health of the surrounding joints, the trade-off is almost always a significantly improved quality of life free from chronic, sharp pain.

Modern surgical techniques, including minimally invasive arthroscopic fusion, have made the procedure safer and more accessible than ever. By utilizing smaller incisions, surgeons can achieve the same solid fusion as traditional open surgery while often reducing the risk of complications such as wound healing issues or infections. Choosing the right surgeon and adhering strictly to the post-operative recovery plan are the two most important factors in achieving a successful long-term outcome.

Ultimately, deciding to move forward with this surgery is a major step toward reclaiming your independence. While the recovery phase is demanding, the prospect of permanent pain relief outweighs the temporary restrictions. By focusing on bone health, engaging in dedicated physical therapy, and maintaining a positive outlook during the healing months, patients frequently find that the limitations they once feared are quickly eclipsed by their newfound ability to navigate life without persistent, debilitating joint pain. The combination of medical innovation and careful post-operative management ensures that this procedure remains one of the most reliable ways to restore function to an otherwise compromised lower extremity.

Related Terms:

  • walking with a fused ankle
  • fused ankle problems
  • ankle fusion after 3 months
  • living with a fused ankle
  • ankle bones fused together
  • fusing ankle bones together