Rp

Pineal Gland Cyst

Pineal Gland Cyst

Discovering that you or a loved one has a Pineal Gland Cyst can be an unsettling experience, often triggered by a routine MRI or CT scan conducted for entirely unrelated reasons, such as persistent headaches or dizziness. It is important to begin with a sense of reassurance: in the vast majority of cases, these cysts are benign, incidental findings that do not require aggressive medical intervention. Understanding what these fluid-filled sacs are, how they are diagnosed, and when they might actually warrant medical attention is the first step toward alleviating unnecessary anxiety.

Understanding the Pineal Gland

To grasp what a Pineal Gland Cyst is, one must first understand the anatomy involved. The pineal gland is a tiny, pinecone-shaped endocrine gland located deep within the center of the brain. Despite its small size, it plays a vital role in our biological clock by secreting the hormone melatonin, which regulates our sleep-wake cycles (circadian rhythms) in response to light and darkness.

Because of its deep location and specialized function, the pineal gland is protected by surrounding brain structures. When a cyst forms within this gland, it is essentially a collection of fluid surrounded by a thin wall. These are relatively common occurrences, frequently discovered during brain imaging, and most people live their entire lives without ever knowing they have one.

Common Symptoms Associated with Pineal Gland Cysts

While most Pineal Gland Cysts are asymptomatic, meaning they do not produce any noticeable signs, larger cysts can occasionally cause symptoms if they exert pressure on surrounding brain tissues or obstruct the flow of cerebrospinal fluid (CSF). It is crucial to note that symptoms attributed to these cysts are often actually caused by other, more common conditions. However, if a cyst is large enough to cause concern, patients may report the following:

  • Persistent Headaches: Often felt in the back of the head or behind the eyes.
  • Visual Disturbances: Difficulty with upward gaze or double vision.
  • Dizziness and Vertigo: A sense of unsteadiness or spinning.
  • Nausea or Vomiting: This can occur if the cyst causes increased intracranial pressure.
  • Sleep Disturbances: Due to the gland's role in melatonin production, though this is less common.

⚠️ Note: If you experience sudden, severe, or worsening neurological symptoms, such as significant changes in vision, severe headaches, or loss of balance, seek medical evaluation promptly to rule out other more serious conditions.

Diagnosing and Monitoring

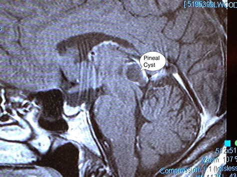
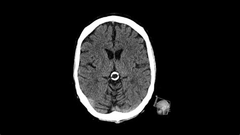
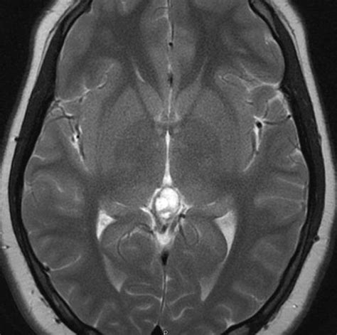
In most instances, a Pineal Gland Cyst is discovered incidentally. Once identified, neuroradiologists evaluate the cyst using magnetic resonance imaging (MRI). The imaging helps determine the size, appearance, and whether the cyst is putting pressure on critical brain structures.

Feature Typical Findings
Size Most are smaller than 1 cm (often classified as "incidentaloma").
Appearance Smooth, thin-walled, and fluid-filled.
Growth Typically stable; they rarely grow or change over time.
Management Observation via follow-up MRI is the standard approach for small cysts.

If the radiologist notes that the cyst has "benign features," the medical recommendation is usually a wait-and-see approach. This means your doctor may schedule a follow-up MRI in six to twelve months to ensure the cyst has not changed in size or shape. This proactive monitoring provides peace of mind while avoiding unnecessary procedures.

Treatment Considerations

Because the vast majority of these cysts are benign and asymptomatic, they do not require treatment. Surgery is reserved only for rare cases where a Pineal Gland Cyst is demonstrably causing significant, debilitating symptoms, or if imaging suggests that the mass is not a simple cyst but perhaps a tumor that requires biopsy or removal.

If surgery is deemed necessary, it is performed by specialized neurosurgeons. However, given the deep location of the pineal gland, neurosurgeons carefully weigh the risks and benefits of any intervention, ensuring that surgery is only performed when it is absolutely necessary to resolve severe symptoms or obstruction of CSF flow.

💡 Note: Always consult with a neurologist or neurosurgeon to interpret your specific imaging results, as individual anatomy and medical history dictate the best course of action.

Living with a Pineal Gland Cyst

Receiving this diagnosis does not usually require a change in lifestyle. Most individuals with a small, incidental Pineal Gland Cyst can continue their daily activities, exercise, and work without restriction. The most important step is to maintain open communication with your healthcare provider. If you were referred for imaging due to headaches, it is highly likely that your headaches are related to other factors, such as tension, stress, or migraines, rather than the cyst itself.

Focusing on overall brain health—getting adequate sleep, managing stress, and maintaining a healthy diet—is beneficial for everyone, regardless of whether a cyst has been identified. Regular follow-up appointments as recommended by your physician are the most effective way to ensure that your health remains stable and to address any lingering concerns you may have.

Ultimately, a Pineal Gland Cyst is often an innocent bystander in your brain. While the term “cyst in the brain” can sound frightening, medical professionals frequently classify these as benign findings that require little more than routine observation. By understanding that these structures are typically stable and non-threatening, you can move forward with confidence, knowing that your health is being monitored appropriately. Always rely on the expertise of your medical team to provide personalized guidance based on your specific diagnostic imaging and health profile, allowing you to manage this finding with clarity and peace of mind.

Related Terms:

  • pituitary gland cyst
  • pineal gland cyst mri
  • pineal gland cyst surgery
  • pineal gland cyst radiology
  • pineal gland cyst ct
  • pineal cyst size chart