Cleve

Broken Big Toe

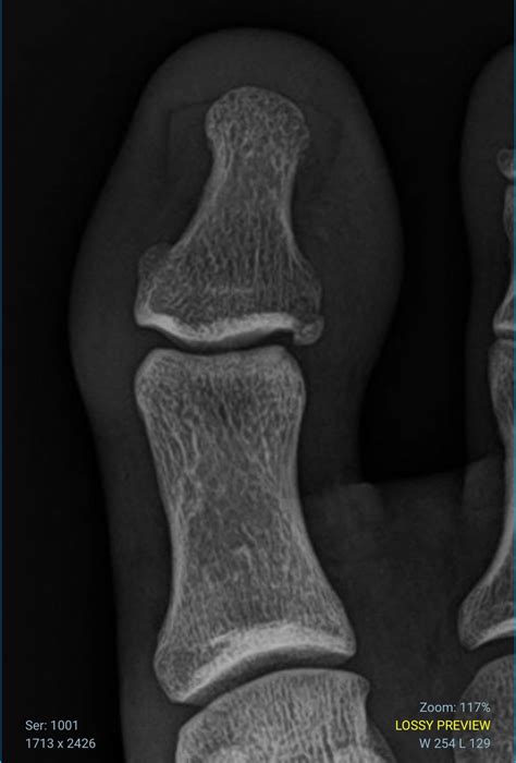
Broken Big Toe

Stubbing your toe is one of the most common household accidents, but when the pain is intense, the swelling is immediate, and you cannot bear weight on your foot, you may be dealing with a broken big toe. Because the big toe plays a critical role in balance, walking, and propelling your body forward, an injury to this area can significantly disrupt your daily life. Understanding how to identify, treat, and recover from this injury is essential to ensuring that your foot heals properly and regains its full function.

Recognizing the Symptoms of a Broken Big Toe

Distinguishing between a badly stubbed toe and a fracture can sometimes be difficult because both present with pain and swelling. However, a broken big toe often involves more severe, localized symptoms. Recognizing these signs early is the first step toward effective management.

  • Immediate and intense pain at the site of the injury.
  • Significant swelling or bruising that may spread to the surrounding foot area.
  • Visible deformity, such as the toe pointing in an unnatural direction or appearing bent.
  • Difficulty or inability to walk or put weight on the affected foot.
  • Numbness or tingling, which may indicate nerve involvement.

While some minor fractures might allow you to limp around, a major fracture of the big toe typically makes walking nearly impossible. If you suspect your toe is broken, it is best to err on the side of caution and consult a healthcare professional for an X-ray to confirm the diagnosis.

Immediate First Aid: What to Do After the Injury

Once you suspect you have a broken big toe, the initial 48 hours are crucial for managing inflammation and reducing pain. Following the RICE protocol is the standard recommendation for most foot injuries until you can see a doctor.

Method Action
Rest Avoid putting weight on the foot. Use crutches if necessary.
Ice Apply an ice pack wrapped in a towel for 15-20 minutes every few hours.
Compression Use a gentle bandage or buddy tape to stabilize the toe.
Elevation Keep your foot elevated above the level of your heart to reduce swelling.

⚠️ Note: Do not apply ice directly to the skin, as this can cause cold burns. Always use a thin cloth barrier between the ice pack and your skin.

Professional Medical Treatment and Diagnosis

Even if you believe the injury is minor, a broken big toe should ideally be evaluated by a podiatrist or a primary care physician. Because the big toe is essential for your gait, an improperly healed fracture can lead to long-term issues like chronic pain, osteoarthritis, or difficulty walking normally in the future.

Your doctor will likely order an X-ray to determine the severity and location of the break. Treatment options will vary based on the findings:

  • Buddy Taping: For stable, non-displaced fractures, the doctor may tape the big toe to the second toe to provide support and immobilization.
  • Splinting or Casting: If the bone is unstable or needs more rigid support, a splint or a walking boot may be required.
  • Specialized Footwear: You may be advised to wear a stiff-soled shoe to limit movement of the toe joint during the healing process.
  • Surgery: In rare cases where the bone is severely displaced or fragmented, or if the break involves the joint surface, surgical intervention with pins or screws may be necessary to realign the bone.

The Recovery Timeline and Rehabilitation

Healing a broken big toe requires patience. While the initial pain may subside within a week or two, the bone takes longer to knit back together. On average, you can expect a recovery period of four to six weeks for the bone to heal, though full return to athletic activities might take longer.

During the recovery phase, it is vital to avoid activities that place excessive pressure on the toe. Your doctor may provide physical therapy exercises designed to restore range of motion in the joint once the bone has stabilized. Following these instructions is critical to preventing stiffness.

💡 Note: If you experience an increase in pain, fever, or if your toe turns blue or cold to the touch, seek immediate medical attention as these may be signs of a complication or infection.

Preventing Future Toe Injuries

While accidents can happen, there are steps you can take to minimize the risk of suffering another broken big toe in the future:

  • Wear Supportive Footwear: Choose shoes with adequate toe protection and sturdy soles, especially when participating in sports or walking on uneven surfaces.
  • Keep Your Home Clutter-Free: Many toe injuries happen at home due to tripping over furniture or household items. Keep walkways clear.
  • Strengthen Your Feet: Engaging in foot-strengthening exercises can improve overall stability and balance, reducing the likelihood of falls.
  • Don't Rush the Healing Process: Returning to high-impact activities before the bone is fully healed significantly increases the risk of re-injury.

Successfully navigating the recovery from a broken big toe comes down to early intervention, patience during the healing phase, and following the specific advice of your healthcare provider. By prioritizing rest, utilizing proper stabilization techniques like buddy taping, and gradually reintroducing activity, you can ensure that your foot regains its strength and health. Staying mindful of your footwear choices and surrounding environment will further protect you from future injuries, allowing you to return to your normal routine with confidence and comfort.

Related Terms:

  • broken vs sprained pinky toe
  • dropped weight on big toe
  • treatment for fractured big toe
  • big toe broken care instructions
  • broken big toe Joint
  • broken big toe Splint